Jacinto Barbosa Lay Chaves1; Marcus Sabry Azar Batista2; Ronie Leo Piske3; Kaile de Araújo Cunha4; Kelson James Silva Almeida5
DOI: 10.1590/S0004-27492007000400022
RESUMO
Descrevemos um paciente de 16 anos que após traumatismo crânio-encefálico leve evoluiu com dor ocular, hematoma palpebral unilateral e proptose do olho esquerdo. Tomografia computadorizada de órbitas evidenciou hematoma subperiosteal em órbita esquerda. Foi realizada drenagem cirúrgica da coleção. O hematoma subperiosteal de órbita, apesar de raro, deve ser incluído como etiologia de proptose ocular e seu diagnóstico deve ser precoce a fim de evitar a morbidade associada.
Descritores: Hematoma; Hemorragia; Trauma crânio-cerebral; Exoftalmia; Doenças orbitárias; Relatos de casos
ABSTRACT
We describe a sixteen years old male patient that suffered a craniocerebral trauma and presented at the emergency room, with ocular pain, palpebral hematoma and left eye proptosis. Orbital computed tomography showed left subperiosteal orbital hematoma. A surgical drainage was performed. Subperiosteal hematoma of the orbit is a rare cause of proptosis; its early diagnosis must be made in order to avoid possible complications.
Keywords: Hematoma; Hemorrhage; Craniocerebral trauma; Exophthalmos; Orbital diseases; Case reports
INTRODUÇÃO
As lesões hemorrágicas orbitárias podem ser classificadas em hemorragias intra-orbitárias e hematomas subperiosteais(1). O hematoma subperiosteal da órbita é uma entidade clínica infreqüente, mas uma importante causa de exoftalmia unilateral(2). Geralmente resulta da ruptura de vasos sangüíneos e formação de hematoma entre o osso e o periósteo separado(3).
É uma rara complicação do traumatismo crânio-encefálico muito embora também possa ocorrer espontaneamente ou ser decorrente de uma doença sistêmica que favoreça sangramentos; de uma elevação súbita da pressão venosa craniana ou de uma sinusite paranasal(1,4).
O presente artigo visa apresentar as características clínicas e radiológicas de um caso de hematoma subperiosteal da órbita. O objetivo é favorecer o rápido reconhecimento da entidade, para que a intervenção seja mais precoce, a fim de reduzir a incidência de complicações.
RELATO DO CASO
Descrevemos um paciente, 16 anos, do gênero masculino, que procurou o serviço de emergência em outubro de 2003 após sofrer traumatismo crânio-encefálico (TCE) em atividade esportiva. Queixava-se de intensa dor ocular e "inchaço" no olho esquerdo que apareceram e evoluíram rapidamente.
Ao exame, observou-se hematoma na pálpebra superior esquerda e proptose do olho esquerdo (Figura 1A). O fundo de olho mostrava-se normal. Havia evidente limitação da movimentação ocular do olho esquerdo no plano vertical.
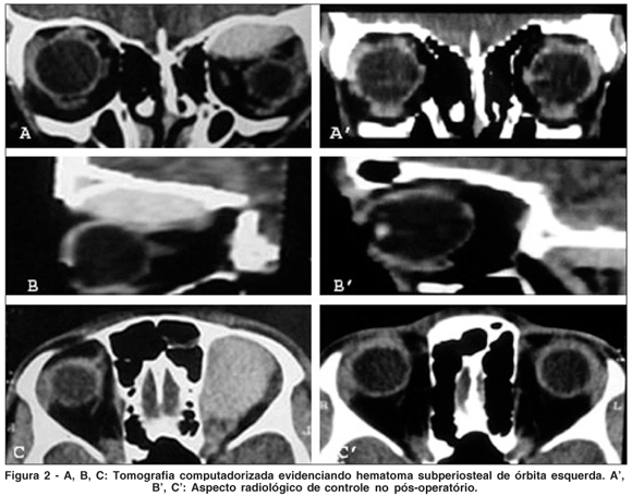
Submetido à tomografia computadorizada (TC) de crânio e órbita (Figura 2), foi evidenciada uma lesão hiperdensa de aspecto biconvexo no teto orbitário esquerdo. Realizou-se então orbitotomia que permitiu acesso à coleção sangüínea coagulada, sem pontos sangrantes ativos (Figura 1B). Procedeu-se à drenagem do hematoma subperiosteal orbital (HSPO). O paciente recuperou-se totalmente do quadro clínico descrito após a intervenção cirúrgica. Durante seguimento ambulatorial foi realizada TC de controle que se mostrou normal.

DISCUSSÃO
Os HSPO são raros e geralmente ocorrem logo após TCE, muito embora possam decorrer meses ou anos para o seu aparecimento; o trauma pode ser mínimo ou não haver história bem definida de trauma(4). Acometem quase exclusivamente crianças e adultos jovens, localizando-se principalmente no teto orbitário em sua porção de osso frontal(4-5).
O osso frontal forma a maior concavidade da superfície orbitária. O seu periósteo, principalmente em crianças e adultos jovens, não estaria firmemente aderido, exceto nas linhas de sutura, fator que predispõe ao surgimento potencial de hematomas nessa região, nessa faixa etária. Sabe-se que a adesão entre periósteo e osso aumenta com a idade(4-5).
A patogênese do HSPO decorre de um sangramento localizado no espaço subperiosteal da órbita por trauma ou secundária à transmissão de um aumento de pressão na rede venosa adjacente(2). Nos casos de sinusite associada, a flebite na mucosa do seio paranasal pode se estender para as veias peri-orbitárias, resultando em ruptura subseqüente desses vasos(6-7).
Há diversas causas implicadas no surgimento do HSPO. Dentre elas podemos citar: trauma(2,4,6,8-10), congestão venosa (tosse grave, manobra de Valsava, trabalho de parto)(1,11), discrasias sangüíneas (anemia falciforme, b-talassemia, leucemia, coagulopatias)(5,10,12), sinusite para-nasal crônica(6-7), HSPO associado a hematoma extradural e subdural(11,13-14), idiopática (HSPO espontâneo, o qual geralmente acomete indivíduos mais idosos da faixa etária 43 a 81 anos). Acredita-se que alguns distúrbios vasculares associados à idade, como arteriosclerose, microaneurismas e instabilidade vasomotora, possam ser causas de HSPO espontâneo(1-2).
O quadro clínico (Tabela 1) caracteriza-se geralmente por início súbito de exoftalmia proeminente, dor ocular intensa, deslocamento ínfero-lateral do globo ocular, dificuldade na movimentação da musculatura ocular extrínseca e alterações da acuidade visual podendo evoluir até a cegueira. O exame oftalmológico evidencia diversos sinais, sendo os principais: aumento da pressão intra-ocular, papiledema e congestão venosa, hemorragia sub-retinal(2-4,15).

O diagnóstico precoce é importante, pois, diante do quadro clínico e com características radiológicas específicas, o cirurgião pode descomprimir precocemente a órbita, evitando seqüelas graves tais como cegueira, atrofia do nervo óptico, estrabismo secundário, ou até mesmo exoftalmia persistente devido à fibrose e calcificação do hematoma(4). Para melhor avaliação pré-cirúrgica, pode ser necessária a realização de arteriografia, TC de órbita ou ressonância nuclear magnética (RNM).
A arteriografia demonstra uma massa avascular supra-orbitária com estreitamento e deslocamento inferior da artéria oftálmica ipsilateral(2). A ausência de anomalias venosas orbitárias ajuda a distinguir pacientes com HSPO traumático daqueles com hemorragia orbitária espontânea. A arteriografia também é útil no diagnóstico diferencial de fístula carótido-cavernosa(4).
A TC de órbita com reconstruções sagitais e coronais permite o delineamento preciso do tamanho e extensão do HSPO. Possui as seguintes vantagens: a) define nitidamente uma massa não captante de contraste, hiperdensa, biconvexa com ampla base de implantação principalmente na porção superior do teto orbitário; b) permite a observação do HSPO em relação às outras estruturas vizinhas: tecidos moles, músculos conais, nervo óptico e globo ocular, e ainda mostra deslocamento inferior do conteúdo orbitário; c) demonstra estreitamento do nervo óptico(2,4).
RNM é o exame de imagem ideal por ter capacidade de identificar sangue e produtos hemorrágicos em todos os estágios de degradação(16). Demonstra uma massa extraconal biconvexa localizada na parte superior da órbita com diferentes graus de intensidade de sinal em T1 e T2, dependente do estado de degradação dos componentes sangüíneos(2).
Conforme mencionado, as lesões hemorrágicas orbitárias podem ser classificadas em intra-orbitárias e subperiosteais. Aquelas são mais comuns e determinam achados como: equimose e/ou edema palpebral, deslocamento axial do globo ocular, hemorragia conjuntival difusa, motilidade ocular restrita e variados graus de disfunção visual. Estas se caracterizam por proptose, deslocamento ínfero-lateral do globo ocular, ausência de equimose palpebral, dificuldade na movimentação da musculatura ocular extrínseca e variados graus de disfunção visual(5).
O diagnóstico diferencial das lesões hemorrágicas orbitárias pode ser difícil pela sua relativa raridade e apresentação inespecífica. Incluem um grupo heterogêneo de condições idiopáticas ou causadas por traumas, cirurgias, tumores ou mal-formações vasculares pré-existentes(16). Os principais diagnósticos diferenciais são: linfangiomas císticos, hematoma traumático, varizes hemorrágicas, granuloma de colesterol, tumores orbitários, depósito de hemossiderina pós-cirúrgico, mal-formações arteriovenosas, fístula carótido-cavernosa(5,16-17).
O tratamento do HSPO depende da gravidade da compressão orbitária e da natureza da doença associada(2,7,15,17). Há relatos de regressão espontânea(16). No entanto, o tratamento deve ser conduzido da seguinte forma:
Há três modalidades cirúrgicas principais: aspiração por agulha, orbitotomia infraciliar e craniotomia com acesso ao teto orbitário pela fossa craniana anterior. Apesar de a aspiração por agulha do HSPO ser tecnicamente mais simples, a orbitotomia apresenta vantagens uma vez que permite a remoção completa do coágulo, a correção de uma possível fratura nos ossos da órbita, hemostasia de vasos sangrantes reduzindo o risco de novas hemorragias e permite colocação de dreno. Já craniotomia é tão efetiva quanto à orbitotomia, possuindo a desvantagem de ser mais invasiva(2).
O HSPO deve ser incluído como diagnóstico diferencial das causas de proptose ocular. Sua identificação precoce possibilita a intervenção precoce e um prognóstico mais favorável.
REFERÊNCIAS
1. Wolter JR, Leenhouts JA, Coulthard SW. Clinical picture and management of subperiosteal hematoma of the orbit. J Pediatr Ophthalmol. 1976;13(3):136-8.
2. Gillum WN, Anderson RL. Reversible visual loss in subperiosteal hematoma of the orbit. Ophthalmic Surg. 1981;12(3):203-9.
3. Matsumoto S, Yamamoto T, Ban S, Motozaki T, Sato S, Shingu T, et al. Spontaneous subperiosteal hematoma of the orbit - case report. Neurol Med Chir (Tokyo). 1994;34(1):27-9.
4. Seigel RS, Williams AG, Hutchison JW, Wolter JR, Carlow TJ, Rogers DE. Subperiosteal hematomas of the orbit: angiographic and computed tomographic diagnosis. Radiology.1982;143(3):711-4.
5. Woo KI, Kim YD. Subperiosteal hematoma of the orbit associated with sinusitis. Korean J Ophthalmol. 1997;11(2):118-22.
6. Tonami H, Kuginuki Y, Okimura T, Yamamoto I, Kawakami S, Sasaki K. MRI of subperiosteal hematoma of the orbit. J Comput Assist Tomogr. 1994; 18(4):549-51.
7. Landa MS, Landa EH, Levine MR. Subperiosteal hematoma of the orbit: case presentation. Ophthal Plast Reconstr Sur. 1998;14(3):189-92.
8. Polito E, Leccisotti A. Diagnosis and treatment of orbital hemorrhagic lesions. Ann Ophthalmol. 1994;26(3):85-93.
9. Aguas J, Conde C, Fructuoso GG, Mondelo FJ, Ferrer E. Giant cephalhematoma in a 15-year-old boy. Unilateral amaurosis as the main complication. Surg Neurol. 1995;43(4):363-6.
10. Aoki H, Tanaka Y, Niki Y, Kamada K, Fujita T. Intraorbital subperiosteal hematoma due to paranasal mucocele - case report. Neurol Med Chir (Tokyo). 1997;37(8):627-9.
11. Curran EL, Fleming JC, Rice K, Wang WC. Orbital compression syndrome in sickle cell disease. Ophthalmology. 1997;104(10):1610-5.
12. Marback EF, Marback PMF, Marback RL, Sampaio CM, Sé DCS. Síndrome de compressão orbitária relacionada à anemia falciforme. Arq Bras Oftalmol. 1999;62(5):631-4.
13. Iwata A, Matsumoto T, Mase M, Yamada K. Chronic, traumatic intraconal hematic cyst of the orbit removed through the fronto-orbital approach - case report. Neurol Med Chir (Tokyo). 2000;40(2):106-9.
14. Atalla ML, McNab AA, Sullivan TJ, Sloan B. Nontraumatic subperiosteal orbital hemorrhage. Ophthalmology. 2001;108(1):183-9. Review.
15. Rojas MC, Eliason JA, Fredrick DR. Needle aspiration of a traumatic subperiosteal haematoma of the orbit. Br J Ophthalmol. 2002;86(5):593-4.
16. Sabet SJ, Tarbet KJ, Lemke BN, Smith ME, Albert DM. Subperiosteal hematoma of the orbit with osteoneogenesis. Arch Ophthalmol. 2001;119(2):301-3.
17. Amlashi SF, Riffaud L, Guyomard JL, Brassier G, Morandi X. [Post-traumatic exophthalmos caused by a subperiosteal hematoma of the orbit]. Neurochirurgie. 2003;49(2-3 Pt 1):107-9. French.
Endereço para correspondência:
Kelson James Silva Almeida
Rua Clodoaldo Freitas, 854
Teresina (PI) - CEP 64000-360.
E-mail: [email protected]
Recebido para publicação em 01.10.2006
Última versão recebida em 17.12.2006
Aprovação em 15.01.2007
Trabalho realizado na Universidade Federal do Piauí - UFPI - Teresina (PI) - Brasil.