Arq. Bras. Oftalmol. 2008; 71 (6): 10.1590/S0004-27492008000600024
Total: 2280
Camila Melo Gadelha Pereira Diniz1; Luiz Antonio Vieira1; Moacyr Pezati Rigueiro3; Mônica Vasconcelos4; Denise de Freitas5
DOI: 10.1590/S0004-27492008000600024
RESUMO
Descrevemos um caso de ceratoconjuntivite cicatricial bilateral em uma paciente portadora de líquen plano e apresentamos revisão da literatura mundial sobre esse assunto. Cicatrização conjuntival, com formação de simbléfaro, olho seco, infiltração corneana, neovascularização e afinamento foram os sinais observados. Diagnóstico foi baseado nos achados clínicos e biópsia, após exclusão das causas típicas de ceratoconjuntivite cicatricial.
Descritores: Líquen plano; Líquen plano; Líquen plano; Cicatriz; Conjuntivite; Ceratite; Ceratoconjuntivite
ABSTRACT
To describe a case of bilateral cicatrizing keratoconjunctivitis in a patient with lichen planus and review the literature. Conjunctiva cicatrization with symblepharon formation, dry eye, corneal infiltration and neovascularization and thinning were the most observed prominent signs. Diagnosis was based on clinical findings and biopsy, after exclusion of typical causes of cicatricial keratoconjuntivitis.
Keywords: Lichen planus; Lichen planus; Lichen planus; Cicatrix; Conjunctivitis; Keratitis; Keratoconjunctivitis
INTRODUÇÃO
Líquen plano (LP) é uma doença inflamatória que pode envolver pele, incluindo unhas e couro cabeludo, ou mucosas. Etiopatogenia do LP inclui fatores genéticos e imunológicos(1). O processo imunológico resulta da imunorreatividade dos linfócitos T, provocada pela modificação dos antígenos de superfície dos queratinócitos(2). Algumas drogas podem provocar reação "lichen planus-like", incluindo tetraciclina, cloroquina, quinacrina e hidroclorotiazida(3).
As lesões cutâneas do LP consistem em pápulas eritematosas. As lesões em mucosas, principalmente oral e genital, podem ser reticulares, em placa, papulares, atróficas e bolhosas. LP pode se apresentar com envolvimento ocular, mais comumente com lesões papulares eritematosas em pálpebras(4-5). Raramente, LP afeta a conjuntiva, com inflamação conjuntival(6-8), formação de simbléfaro e encurtamento do fórnice. LP também tem sido associado à ceratite(6,9-11).
O diagnóstico do LP é clínico com base nas características das lesões; estudo histopatológico auxilia no diagnóstico e é geralmente aconselhável. Diagnóstico diferencial inclui outras desordens pápulo-escamosas(1). Quando envolvimento ocular está presente, especialmente na conjuntiva, penfigóide ocular, pênfigo paraneoplásico com características liquenóides e lupus eritematoso discóide devem ser afastados(8).
O manejo do LP permanece ainda um desafio; não havendo tratamento definitivo que resulte em longo tempo de remissão. Corticosteroides, retinóides, griseofulvina, ciclosporina, azatioprina, ciclofosfamida, dapsona, psoraleno e radiação ultravioleta A (PUVA), radioterapia, drogas antimaláricas têm sido usados no controle desta afecção(1).
RELATO DO CASO
MRM, 56 anos, feminina, branca, natural e procedente de São Paulo percebeu sensação de olho seco aos 40 anos de idade, a partir daí sucederam vários episódios de alteração da superfície ocular que cediam com corticosteróides, lágrima artificial e lente de contato terapêutica.
Após vários episódios semelhantes, a paciente apresentou-se com queixa de dor e hiperemia ocular. O exame oftalmológico revelou acuidade visual de movimento de mão (MM) no olho direito e conta dedos (CD) a 50 cm no olho esquerdo. A pressão intra-ocular estava dentro dos limites normais. À inspeção, a pele periorbitária apresentava-se ressecada e as pálpebras, hiperemiadas e edemaciadas. Conjuntiva palpebral demonstrava fibrose subepitelial, encurtamento do fórnice e formação de simbléfaro em ambos os olhos. Ambas as córneas apresentavam neovascularização 360°. Havia um defeito epitelial corneano, com infiltrado de aspecto infeccioso com 60% de afinamento no olho direito. No olho esquerdo, foi observado um defeito epitelial ainda maior, também com um importante infiltrado de aspecto infeccioso com 60% de afinamento (Figura 1). A câmara anterior estava formada, sem reação. O exame fundoscópico era normal.

À investigação sistêmica, a paciente referia história de doença pruriginosa, em uso oral de corticosteróide. Exame da mucosa oral e couro cabeludo mostrava cicatrizes lineares e circulares.
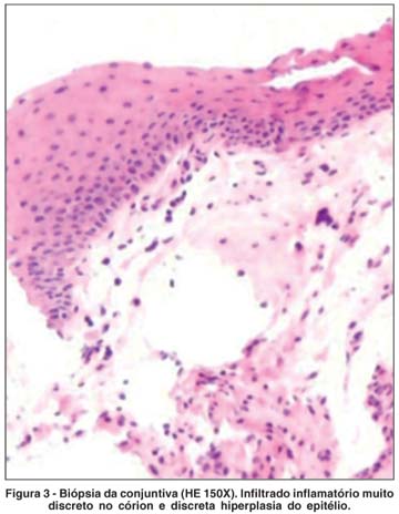
Foi solicitada avaliação dermatológica que sugeriu diagnóstico de LP. A biópsia das lesões de couro cabeludo (Figura 2) e mucosa oral confirmaram tal diagnóstico. Foi realizada biópsia conjuntival (Figura 3) com imunofluorescência direta (Figura 4), que revelou achados compatíveis com LP. Os fragmentos para análise histológica foram fixados em formol a 10% e processados para inclusão em parafina. Os cortes histológicos na espessura de 5 micrômetros foram corados com hematoxilina-eosina (HE). Os fragmentos para imunofluorescência (IF) foram imediatamente colocados em soro fisiológico gelado e em seguida congelados em criostato para realização dos cortes histológicos na espessura de 5 micrômetros, que foram incubados com os seguintes anticorpos (todos marca Dako) diluídos em solução salina tamponada (tampão PBS pH 7,4) com Azul de Evans 0,06%.



Ig A diluído 1:20
Ig G diluído 1:150
Ig M diluído 1:20
C1q diluído 1:20
C3 diluído 1:50
Fibrinogênio diluído 1:50
Após a incubação com os anticorpos específicos incuba-se cada lâmina com o anticorpo conjugado FITC (marca Biomeda). Finalmente lavam-se as lâminas em tampão PBS e montam-se com lamínula e glicerina tamponada. Os cortes foram examinados em microscópio de fluorescência Zeiss modelo HBO50.
Exames sorológicos, parasitológico das fezes e teste da tuberculina foram negativos, excluindo outras causas de ceratite.
Raspados corneanos foram realizados e a cultura revelou Enterobacter aerogenes no olho direito e Staphylococcus aureus e Staphylococcus coagulase negativo no olho esquerdo.
A paciente recebeu antibióticos fortes sem preservativos de 1/1 h (tobramicina e cefazolina) no olho esquerdo e gatifloxacino 0,5% 3/3 h no olho direito, com diminuição da dose de acordo com a melhora clínica do infiltrado, o que ocorreu após uma semana de tratamento. Lágrima artificial sem preservativo foi prescrita para ambos os olhos.
Após resolução da infecção, persistiu afinamento corneano de 60% em ambos os olhos. Doxaciclina e acetilcisteína 10% sem preservativo foram introduzidos. Iniciou-se, então, imunossupressão sistêmica com ciclosporina 100 mg/dia e regressão da corticoterapia. A paciente recusou transplante de membrana amniótica para controle dos defeitos epiteliais e/ou afinamento corneano.
Encontra-se atualmente e por mais de um ano com controle total da superfície ocular, sem defeitos epiteliais, em uso de lágrimas artificiais e imunossupressão sistêmica.
RESULTADOS
Há poucos relatos, na literatura mundial, da associação do LP e acometimento ocular e destes, havia apenas 4 com ceratite associada(6,9-11). As características clínicas desses pacientes são mostradas na tabela 1.
DISCUSSÃO
O envolvimento ocular no LP não é típico; sendo muito raro, este trata-se do primeiro relato no Brasil ou América Latina; foi primeiramente descrito por Gaucher e Druelle(12) como linhas esbranquiçadas em conjuntiva tarsal. Recentemente, há relatos de acometimento palpebral, com pápulas eritematosas(4-5), bem como conjuntiva bulbar com inflamação e cicatrização(11-12) e, mais raramente, córnea, com defeito epitelial, neovascularização e afinamento(6,9-11).
É controverso se o envolvimento corneano resulta diretamente do líquen plano, das alterações cicatriciais da conjuntiva e anormalidades correlacionadas do filme lacrimal ou combinação de ambos. Luhr(4), em 1924, descreveu um caso de paciente com lesões palpebrais e quadro de inflamação conjuntival com linhas esbranquiçadas em conjuntiva tarsal associado a ceratite ponteada peri-limbar com o diagnóstico dermatológico de líquen plano. Em 1948, Goldsmith(7), fez a descrição de um caso de líquen plano atípico (associado ao uso de quinacrina) que apresentou ceratite aguda, provavelmente secundária à doença cutânea, acompanhada de irite, porém sem acometimento conjuntival. Hutnik(5) descreveu um quadro de conjuntivite cicatricial associada a defeitos epiteliais, com infiltrado e sem vascularização em um paciente com biópsia compatível com líquen plano. Rhee(6) descreveu um paciente com história de úlceras recorrentes e olho seco que apresentava sinais de cicatrização conjuntival e ceratouveíte com cultura negativa, e história de doença de pele pruriginosa, há 15 anos, diagnosticada clinicamente como LP.
O diagnóstico do LP é realizado através de uma anamnese adequada, aspecto clínico das lesões dermatológicas ou das mucosas, sempre confirmado pela biópsia; diferenciando-se de outras lesões pápulo-escamosas e reações liquenóides ou "líquen-like", relacionadas ao uso de medicações ou metais como ouro e mercúrio. Alguns diagnósticos diferenciais como membrana mucosa penfigóide, pênfigo paraneoplásico com características liquenóides e lúpus eritemetoso discóide devem ser considerados, quando houver envolvimento ocular, especialmente da conjuntiva(8). Avaliação sorológica e imunofluorescência direta (ID) são importantes para distinguir estas entidades. Outras causas de ceratoconjuntivites cicatriciais (síndrome de Stevens-Johnson, conjuntivites virais, tracoma, queimadura química, conjuntivite atópica, acne rosácea e trauma) também devem ser investigadas e podem ser excluídas pela anamnese e exame clínico adequados. No presente caso, a biópsia de pele confirmou a suspeita clínica de LP e a anamnese excluiu a possibilidade de reação liquenóide. A biópsia de conjuntiva bulbar afastou penfigóide (ID não demonstrou imunoglobulinas na membrana basal).
As características histopatológicas do LP na conjuntiva são menos documentadas do que as da pele. Neumann(13) sugeriu que as características principais seriam espessamento e duplicação da lâmina basal subepitelial e ausência de imunoglobulinas e C3 na zona da membrana basal. Um achado interessante do presente caso, também relatado em estudo anterior(10), foi a ausência de imunoglobulinas associada à presença de depósito de fibrinogênio na membrana basal à ID, associação esta que apesar de inespecífica, poderá constituir dado importante para o diagnóstico de envolvimento ocular pelo LP.
O manejo terapêutico do LP é difícil, dado o seu caráter de doença inflamatória recorrente. Nossa paciente apresentava alterações oculares, inclusive corneanas, provavelmente resultantes da doença, porém complicadas por infecção bacteriana. Após controle da infecção, iniciamos imunossupressão sistêmica com ciclosporina. A paciente apresentava 16 anos de história da doença ocular, o que poderia justificar o insucesso do tratamento em termos de prognóstico visual. Porém, alguns casos descritos obtiveram boa resposta no tratamento(5-6) demonstrados na tabela.
CONCLUSÃO
Líquen plano pode apresentar-se com envolvimento ocular, constituindo uma das causas de conjuntivites cicatriciais auto-imunes, tais como lúpus, sarcoidose e penfigóide cicatricial. O diagnóstico é clínico, mas deve ser confirmado pela biópsia. O curso e prognóstico permanecem indefinidos. O tratamento deve ser baseado em imunossupressão.
REFERÊNCIAS
1. Boyd AS, Neldner KH. Lichen planus. J Am Acad Dermatol. 1991;25(4):593-619. Comment in: J Am Acad Dermatol. 1992;27(4):647. J Am Acad Dermatol. 1994;30(4):671.
2. Femiano F, Cozzolino F, Gaeta GM, De Luca P, Perfetto B, Baroni A. Recent advances on the pathogenesis of oral lichen planus (OLP). The adhesion molecules. Minerva Stomatol. 1999;48(4):151-9.
3. Tierney LM, McPhee SJ, Papadakis MA. Current medical diagnosis & treatment 2003. 42nd ed. New York: Lange Medical Books/McGraw-Hill; 2003. p.127-8.
4. Luhr AF. Lichen planus of the conjunctiva. Am J Ophthalmol. 1924;7:456-7.
5. Hutnik CM, Probst LE, Burt WL, Hooper PL, Tokarewicz AC, Heathcote JG. Progressive, refractory keratoconjunctivitis associated with lichen planus. Can J Ophthalmol. 1995;30(4):211-4.
6. Rhee MK, Mootha VV. Bilateral keratoconjunctivitis associated with lichen planus. Cornea. 2004;23(1):100-5.
7. Goldsmith J. Deep keratitis associated with atypical lichen planus; report of a case. Arch Ophthalmol. 1948;40(2):138-46.
8. Pakravan M, Klesert TR, Arpek EK. Isolated lichen planus of the conjunctiva. Br J Ophthalmol. 2006;90(10):1325-6.
9. Itin PH, Buechner SA, Rufli T. Lichen planus of the eyelids. Dermatology. 1995;191(4):350-1.
10. Eisen D. The evaluation of cutaneous, genital, scalp, nail, esophageal, and ocular involvement in patients with oral lichen planus. Oral Surg Oral Med Oral Pathol Oral Radiol Endod. 1999;88(4):431-6.
11. Thorne JE, Jabs DA, Nikolskaia OV, Mimouni D, Anhalt GJ, Nousari HC. Lichen planus and cicatrizing conjunctivitis: characterization of five cases. Am J Ophthalmol. 2003;136(2):239-43.
12. Gaucher E, Druelle P. Lichen planus avec lesions dês ongles et localisation sur la conjonction palpebrale. Bull Soc Franc Derm Syph. 1904;15:33.
13. Neumann R, Dutt CJ, Foster CS. Immunohistopathologic features and therapy of conjunctival lichen planus. Am J Ophthalmol. 1993;115(4): 494-500.
Endereço do autor correspondente:
Camila Melo Gadelha P. Diniz
Rua Borges Lagoa, 1.209 - Apto. 712
São Paulo (SP) CEP 04038-033
E-mail: [email protected]
Recebido para publicação em 02.07.2007
Última versão recebida em 27.07.2008
Aprovação em 11.08.2008
Trabalho realizado na Universidade Federal de São Paulo - UNIFESP - São Paulo (SP) - Brasil.
How to cite this article: