Open Access Peer-Reviewed
Editorial

Melanoma de corpo ciliar e coróide: relato de caso

Choroidal and ciliary body melanoma: case report

Aline Amaral Fulgêncio da Cunha1; Nara Helena Teixeira Rodrigues2; Grazziella Acácio e Almeida2; Bruno Carvalho Picanço2; João Agostini Netto3

DOI: 10.1590/S0004-27492010000200020

RESUMO

Melanomas oculares correspondem a 5% de todos os melanomas e 85% deles têm origem no trato uveal. Melanoma uveal é o tumor maligno intraocular primário mais comum no adulto. Relatamos neste artigo um caso de melanoma uveal em paciente, sexo feminino, 31 anos, com quadro de fotopsia, hiperemia e baixa da acuidade visual no olho esquerdo com evolução de quatro meses. Apresentava ao exame oftalmológico acuidade visual menor que 20/400, grande massa tumoral na região nasal retroiriana, com deslocamento anterior do cristalino, estreitamento da câmara anterior e descolamento seroso da retina. A ecografia sugeriu tratar-se de grande massa tumoral suspeita de melanoma de coróide com invasão do corpo ciliar. A confirmação diagnóstica foi possível por meio do exame anatomopatológico.

Descritores: Neoplasias uveais; Melanoma; Enucleação ocular; Análise de sobrevida; Relatos de casos

ABSTRACT

Ocular melanomas correspond to 5% of all melanomas and 85% of them have its origin in the uveal tract. Uveal melanoma is the most commom primary intraocular malignant tumor in the adult. In this article, a case of uveal melanoma in a 31 year-old female patient, with photopsia, hyperemia and low visual acuity in the left eye with evolution of 4 months is presented. In the ophthalmologic examination, visual acuity was lower than 20/400, a large tumoral mass was noted at the nasal region behind the iris with anterior lens displacement, anterior chamber narrowing and serous retinal detachment. The ocular echography suggested a large tumoral mass as a choroidal melanoma extending to the ciliary body. The confirmation diagnosis was possible through the histopathologic examination.

Keywords: Uveal neoplasms; Melanoma; Eye enucleation; Survival analysis; Case reports


 

 

INTRODUÇÃO

Os melanomas oculares e de estruturas anexas correspondem a aproximadamente 5% de todos os melanomas e 85% têm origem no trato uveal. O melanoma uveal é o tumor maligno intraocular primário mais comum no adulto. Sua incidência é de aproximadamente 4,3 casos por milhão, acometendo mais frequentemente homens a partir de 50 anos de idade. O diagnóstico é feito por exame clínico e exames auxiliares como ecografia modo B e estudo anatomopatológico. A etiologia do melanoma uveal permanece obscura. Um dos fatores de risco já estabelecido é ser da raça branca e há uma discussão quanto à existência de predisposição genética. Diferente dos melanomas cutâneos, a exposição solar como fator de risco ainda é controversa. Está bem documentada a capacidade de causar metástases hematogênicas (principalmente para o fígado). Os tratamentos adotados para melanoma uveal envolvem enucleação, ressecção local e aplicação de placa radioativa episcleral. A sobrevida em 5 anos após enucleação varia de 16% a 53%, dependendo do tamanho do tumor e 90% das mortes relacionadas ao tumor ocorrem nos primeiros 15 anos(1).

 

RELATO DO CASO

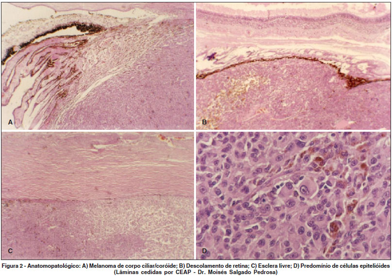
Paciente MSQ, 31 anos, sexo feminino, compareceu ao serviço de urgência com queixa de fotopsias no olho esquerdo há seis meses e queda progressiva da visão nesse olho há aproximadamente quatro meses. Ao exame oftalmológico a acuidade visual do olho direito era 1,0 (20/20) e no olho esquerdo movimento de mãos, sem melhora com correção. À biomicroscopia do olho esquerdo observava-se grande massa tumoral na região posterior e nasal da íris causando estreitamento significativo da câmara anterior e deslocamento do cristalino, com vasos sentinelas na região inferior (Figura 1A). Olho direito sem alterações. Ao exame fundoscópico do olho esquerdo havia descolamento seroso de retina sugestivo de massa tumoral coroidal (Figura 1B). Solicitado exame de ecografia ocular, modo B/A que evidenciou grande lesão, de aspecto sólido, com ecos internos de baixa e média refletividade, associados à presença de ângulo kappa (ângulo produzido entre o maior e menor ''pico'' interno do tumor) e descolamento da retina perilesional sugerindo melanoma do corpo ciliar e coróide. Realizada enucleação como medida propedêutica e terapêutica. O anatamopatológico (Figura 2 ) confirmou a suspeita de melanoma de coróide/corpo ciliar de localização inferior, com dimensões de 18,0 mm de base (maior eixo) e 10,0 mm de altura, com predomínio de células epitelióides (70%) e extensas áreas de necrose. Ausência de comprometimento do nervo óptico e extensão extraocular. Não foram encontradas lesões metastáticas ao rastreamento sistêmico. Paciente encontra-se atualmente em acompanhamento no Serviço de Oncologia.

 

DISCUSSÃO

A incidência do melanoma da coróide é de 4,9 casos por milhão em homens e 3,7 casos por milhão em mulheres(1) e a média de idade no momento do diagnóstico é de 53 anos(2). O melanoma maligno da úvea ocorre preferencialmente na raça branca e sexo masculino. A paciente do relato de caso é de cor parda, sexo feminino e jovem, fatores que contrastam com a média.

Alguns fatores, apesar de controversos, podem se relacionar com a etiologia desse tumor como: fatores ambientais (exposição aos raios ultravioleta), hormonais, genéticos e lesões predisponentes (melanoses congênitas e nevos)(2).

O diagnóstico do melanoma uveal é feito por meio da história clínica do paciente, exame oftalmológico e exames auxiliares, como a ultrassonografia. Pequenas lesões podem ser assintomáticas e as maiores podem causar baixa de visão, metamorfopsia, perda de campo visual, fotopsia e raramente dor ocular. A biomicroscopia pode mostrar sinais que sugerem a presença de tumor intraocular: vasos episclerais dilatados (vasos sentinelas) os quais podem revelar a localização do tumor, anteriorização do diafragma iriano, subluxação do cristalino, catarata setorial e mancha pigmentada episcleral representando infiltração escleral. À fundoscopia, a maioria dos tumores pequenos e médios apresentam-se como um espessamento circunscrito nodular e elevado da coróide, com formato arredondado ou cupuliforme. Com o crescimento, muitos tumores podem romper a membrana de Bruch, assumindo um aspecto característico: formato em cogumelo. Pode ainda haver descolamento de retina não regmatogênico associado, fato que ocorreu na paciente em questão. A ultrassonografia mostra com precisão tamanho, localização e extensão da lesão. No modo A: alto pico inicial, refletividade interna com amplitude decrescente média/baixa, denominado ângulo kappa e alto eco na base da lesão que correspondente à esclera. No modo B observa-se um padrão em massa coroidea com vazio acústico e escavação coroidea junto às margens da lesão. A tomografia computadorizada e a ressonância nuclear magnética são exames subsidiários importantes na detecção de extensões extraoculares ou tumores orbitários provocando identação ocular. A biopsia intraocular é motivo de controvérsia. Sua indicação se restringe aos casos em que o diagnóstico não foi possível pelos métodos não invasivos. A paciente em questão não necessitou de biópsia por apresentar ao ultrassom grande massa tumoral.

O melanoma da úvea representa um tumor com importante agressividade, em que o diagnóstico precoce pode modificar o prognóstico de vida do portador. O estudo histológico do tumor apresenta importância prognóstica, sendo o tipo celular epitelióide o de pior prognóstico. Tumores grandes, com alta atividade mitótica, infiltração escleral e necrose tumoral, características presentes na paciente, pioram o prognóstico. Outros fatores de pior prognóstico são: infiltração linfocitária, presença de células na margem do nervo óptico e disseminação orbitária(3).

Na escolha da terapêutica mais adequada deve-se considerar a clínica do paciente com o intuito de controlar o tumor sem colocar em risco a saúde do paciente. Algumas opções terapêuticas estão indicadas para diferentes situações: observação periódica, fotocoagulação, radioterapia, braquiterapia, ressecção cirúrgica localizada, enucleação e exenteração. Todos com efeito apenas local, raramente alterando a sobrevida. O principal fator determinante na escolha do tratamento é o tamanho da lesão tumoral. Geralmente, tumores com 2-3 mm de espessura e sem sinais de atividade podem ser seguidos com observação periódica; tumores médios com espessura de 3-5 mm podem ser tratados com braquiterapia, ressecção localizada ou até enucleação. Tumores grandes com espessura entre 5-10 mm podem ser tratados com braquiterapia ou enucleação e para aqueles ainda maiores, com espessura entre 10-15 mm já se indica enucleação. A exenteração está restrita para o tratamento de melanomas com extenso comprometimento orbitário ou para recorrência após enucleação(2). A irradiação prévia à enucleação não modifica a sobrevida do paciente segundo ''The Collaborative Ocular Melanoma Study''(COMS)(4). No caso relatado a escolha foi pela enucleação devido à dimensão do tumor ao ultrassom (base maior que 10,7 mm). Estudos da mortalidade indicam que os avanços nos métodos de tratamento de melanoma uveal primário não levaram a um aumento significativo da sobrevida. Geralmente, na ocasião do diagnóstico do melanoma ocular, os pacientes não apresentam metástases sistêmicas detectáveis. Cerca de 20% dos pacientes enucleados desenvolvem doença metastática, de 24 a 36 meses após enucleação do globo ocular(5). Dessa forma, o seguimento oftalmológico e sistêmico após a enucleação é imprescindível.

 

REFERÊNCIAS

1. Singh AD, Bergman L, Seregard S. Uveal melanoma: epidemiologic aspects. Ophthalmol Clin North Am. 2005;18(1):75-84, viii. Review.         

2. Abujamra S, Ávila M, Barsante C, Farah ME, Gonçalves JOR, Lavinsky J, et al. Retina e vítreo: clínica e cirurgia. São Paulo: Roca; 2000.         

3. Abreu G. Ultrassonografia ocular: atlas & texto. 3ª ed. Rio de Janeiro: Cultura Médica; 2002.         

4. Hawkins BS; Collaborative Ocular Melanoma Study Group. The collaborative Ocular Melanoma Study(COMS) randomized trial of pre-enucleation radiation of large choroidal melanoma: IV. Ten-year mortality findings and prognostic factors. COMS report number 24. Am J Ophthalmol. 2004;138(6): 936-51.         

5. Lavinsky J, coordenador. Doenças prevalentes da retina e vítreo. Rio de Janeiro: Cultura Médica; 2002.         

 

 

Endereço para correspondência:
Aline Amaral Fulgêncio da Cunha
Rua Odilon Braga, 735, Apto. 101 -Belo Horizonte (MG)
CEP 30310-390
E-mail: [email protected]

Recebido para publicação em 07.10.2007
Última versão recebida em 22.09.2009
Aprovação em 04.11.2009

 

 

Trabalho realizado na Clínica de Olhos da Santa Casa de Belo Horizonte/Faculdade de Ciências Médicas de Minas Gerais - FCMMG - Belo Horizonte (MG) - Brasil.
Nota Editorial: Depois de concluída a análise do artigo sob sigilo editorial e com a anuência da Dra. Martha Maria Motono Chojniak sobre a divulgação de seu nome como revisor, agradecemos sua participação neste processo.


Dimension

© 2025 - All rights reserved - Conselho Brasileiro de Oftalmologia