Editorial
Visualizações

Arq. Bras. Oftalmol. 2010; 73 (6): 10.1590/S0004-27492010000600016

Total: 1952

Necrose de canto medial associado a hanseníase virchowiana: relato de caso

Leiser Franco1; Giulianna Limongi de Souza Carvalho1; Haroldo Maciel Carneiro2; Sebastião Alves Pinto3; Roberto Murillo Limongi de Souza Carvalho4

DOI: 10.1590/S0004-27492010000600016

RESUMO

O caso em relato aborda uma etiologia rara para necrose de canto medial da pálpebra com comprometimento do sistema canalicular em uma paciente em tratamento para hanseníase virchowiana. O exame histopatológico da lesão necrótica evidenciou reação inflamatória granulomatosa com acúmulo de histiócitos e presença de bacilos álcool-ácido resistentes. Após tratamento medicamentoso a paciente apresentou uma evolução favorável com recuperação espontânea da arquitetura do canto medial, porém com destruição total do sistema canalicular.

Descritores: Necrose; Hanseníase virchowiana; Relatos de casos

ABSTRACT

In the present case we deal with a medial eyelid necrosis and injury of the canalicular system in a patient in treatment for lepromatous leprosy. Histology of the necrotic lesion showed granulomatous inflammatory reaction with accumulation of histiocytes and presence of alcohol-acid resistant bacilli. After medical treatment, the patient had a spontaneous recovery of the medial canthus architecture but with complete destruction of the canalicular system.

Keywords: Necrosis; Leprosy, lepromatous; Case reports


 

 

INTRODUÇÃO

Na literatura oftalmológica encontramos registros de necrose palpebral por diversas causas como traumas, infecções ou cirurgias. Quando a etiologia é infecciosa há necessidade de abordagem diferenciada, pois, na maioria das vezes é preciso o tratamento do processo agudo para posterior reparo cirúrgico das prováveis sequelas.

O caso em relato aborda uma etiologia rara para necrose de canto medial da pálpebra com comprometimento do sistema canalicular que apresentou uma evolução favorável em seu acompanhamento. Até onde sabemos, ainda não foram descritos casos semelhantes na literatura oftalmológica brasileira.

 

RELATO DE CASO

Paciente de 52 anos, feminino, procedente de Goiânia-GO com queixa de hipermia conjuntival e ardor no olho esquerdo (OE) há vinte dias que evoluiu com lesão purulenta em canto medial deste olho envolvendo as pálpebras superior e inferior. Ao exame oftalmológico não apresentava alterações na acuidade visual e o globo ocular estava calmo. Não verificamos nenhuma alteração na biomicroscopia ou no exame de fundo de olho. A ectoscopia revelava lesão ulcerada no canto medial com aspecto necrótico e presença de material purulento rígido e aderido à lesão (Figura 1 A). A paciente relatava estar em tratamento para hanseníase há quatro meses com esquema tríplice (dapsona 100 mg, rifampicina 300 mg e colfasimina 100 mg). Na ocasião realizamos a colheita de material nas bordas da lesão e solicitamos os seguintes exames: bacterioscopia, Gram, citologia e cultura em meios de ágar-sangue e ágar-Sabourad. Indicamos o uso oral de ciprofloxacina 1g/dia e colírio de gatifloxacina 0,3% 1/1 hora.

 


 

Após alguns dias o paciente retorna com resultado bacterioscópico, Gram e citologia inconclusivos e não houve crescimento de germes na cultura.

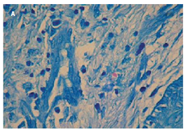
O material para exame histopatológico foi obtido através da retirada de pequeno fragmento (3x3x2 mm) da borda temporal da lesão necrótica do canto medial, e evidenciou reação inflamatória granulomatosa com acúmulo de histiócitos. Ao Fite-Faraco: presença de bacilos álcool-ácido resistentes (2+/3+) Figura 2 A) em globias compatível com hanseníase virchowiana (Figura 2 B).

 


 

Após 60 dias de tratamento apresentou regeneração importante das pálpebras do ponto de vista estético, com melhora dos sintomas irritativos; no entanto, queixava-se de lacrimejamento (Figura 1 B). Ao exame verificamos estenose total dos canalículos superior e inferior. Foi então proposta a reconstrução canalicular através da conjutivodacriocistorrinostomia com tubo de Lester Jones.

 

DISCUSSÃO

A hanseníase é uma doença infecto-contagiosa, endêmica em certas áreas subdesenvolvidas, causada pelo Mycobacterium leprae, parasita intracitoplasmático do macrófago, atingindo preferencialmente pele e/ou nervos periféricos. Existe uma correlação bem nítida entre as formas clínicas da doença e o grau de imunidade específica do paciente; sendo assim, encontramos duas formas polares: a tuberculóide onde o indivíduo consegue desenvolver defesas contra o microrganismo apresentando um quadro benigno e a virchowiana, quando o sistema imunológico não consegue conter a multiplicação do M. leprae, apresentando a forma multibacilar com quadro clínico mais exuberante(1-2). De acordo com a literatura, os pacientes hansenianos apresentam as seguintes alterações oculares: atrofia parcial da íris, ceratite, diminuição da força do músculo orbicular, lagoftalmo, madarose, nódulo iriano, neurite supraorbitária, diminuição da sensibilidade da córnea e xeroftalmia(3).

As alterações palpebrais na hanseníase de longa duração já foram descritas tais como madarose parcial de cílios e supercílio e ptose ciliar(4).

O nosso caso mostra uma paciente com diagnóstico de hanseníase virchowiana sem lesões cutâneas, diagnosticada por apresentar espessamento neural e alteração da sensibilidade na região inervada e presença de M. leprae no exame baciloscópico, que evoluiu com uma lesão necrótica do canto medial das pálpebras superior e inferior do olho esquerdo. A presença de bacilos ácido-álcool resistentes já foi demonstrada na conjuntiva, vítreo e retina de olhos enucleados(5), porém a presença de bacilos verificada em material colhido em topografia do sistema canalicular provocando a estenose total do mesmo, como relatamos neste caso, ainda não foi descrita na literatura nacional.

A hanseníase virchowiana pode apresentar algumas variedades: forma a difusa e a histióide. Na forma difusa pode ocorrer um quadro raro de ulcerações cutâneas provocadas por processo de vasculite, também conhecido por "fenômeno de Lúcio"(6). Entendemos que esta paciente possa ter apresentado um quadro singular de vasculite localizada no canto medial do olho esquerdo que evoluiu com necrose desta área. Apesar disso, a paciente apresentou recuperação espontânea com aspecto estético satisfatório do canto medial do olho esquerdo.

 

REFERÊNCIAS

1. Barros JM. Aspectos clínicos do comprometimento ocular na lepra. São Paulo: Melhoramentos; 1939.         

2. Barros JM. As complicações oculares da lepra. Rev Bras Leprol. 1945;14:103-5.         

3. Costa MS, Gallo MEN, Nery JAC, Bechimol E. Avaliação oftalmológica em hanseníase multibacilar. Arq Bras Oftalmol. 1999;62(6):701-3.         

4. Guimarães FC, Cohen JM, Cruz AAV. Alterações palpebrais na hanseníase de longa duração. Arq Bras Oftalmol. 1996;59(4):379.         

5. Oréfice F, Miranda D, Boratto LM. Encontro de bacilos da doença de Hansen na conjuntiva, corpo vítreo e retina em um olho enucleado de paciente portador da forma Virchowiana. Arq Bras Oftalmol. 1990;53(1):17-9.         

6. Rea TH, Ridley DS. Lucio's phenomenon: a comparative histological study. Int J Lepr Other Mycobact Dis. 1979;47(2):161-6.         

 

 

Endereço para correspondência:
Leiser Franco de Moraes Filho
Rua 227-A, nº 234
Apto. 1.001 - Setor Universitário
Goiânia (GO) - CEP 74610-155
E-mail: [email protected]

Recebido para publicação em 13.06.2009
Última versão recebida em 08.03.2010
Aprovação em 26.03.2010

 

 

Study carried out at Department of Plastic and Ocular Surgery, Ophthalmology Reference Center, Hospital das Clínicas, Universidade Federal de Goiás - UFG - Goiânia (GO), Brazil.


Read in English Print PDF Portuguese
Open Access
Share

How to cite this article:

Franco L, Carvalho GLS, Carneiro HM, Pinto SA, Carvalho RMLS. Necrose de canto medial associado a hanseníase virchowiana: relato de caso. Arq. Bras. Oftalmol. 2010;73(6):539-540. 10.1590/S0004-27492010000600016
Export citation