INTRODUCTION
Sinusitis is a common disease and is typically managed without complications. In some cases, infection can spread to the orbit. If left untreated, several complications of orbital cellulitis can manifest including blindness, meningitis, and even death(1). Kanra et al. reported that orbital cellulitis was caused by sinusitis in 43% of cases(2). Other etiologies were dacryocystitis, orbital foreign body, periocular trauma, history of surgery, odontogenic infection, endophthalmitis, orbital tumors, and local skin inflammation(2,3). Before the antibiotic era, 20% of patients with periorbital cellulitis had permanent loss of vision, and 17% died(1). Nowadays, the vision loss has improved (3 to 11%) and mortality rates have declined (1 to 2.5%)(4). Because of the urgent situation in orbital infections, a multidisciplinary approach is needed.
The orbital septum originates from the periosteum and, arising from the anterior extension of the periosteum from the orbital margins into the eyelids, separates the superficial portion of eye (preseptal region) from the deeper orbital structures (postseptal region)(5).
Chandler et al. described orbital complications as five stages(1): preseptal cellulitis (stage I), orbital cellulitis (stage II), subperiosteal abscess (stage III), orbital abscess (stage IV), and cavernous sinus thrombosis (stage V). However, identifying the stages in children with swollen and/or painful eyes can be more ambiguous. To simplify the classification criteria, complications of the orbital septum including preseptal cellulitis and postseptal infections have been proposed(6). When sinusitis is the primary cause, infection usually spreads from the ethmoid sinuses; however, infection can also spread through the floor of the frontal sinus or the roof of the maxillary antrum(7-9). The orbital complications may be a result of extension of the infection through bony defects, osteitic bone destruction, or through thrombophlebitis of the communicating veins(10).
In this study, we have discussed the clinical approaches for ophthalmology and otorhinolaryngology, and their use in treating and managing orbital complications of sinusitis. We also completed a literature review.
METHODS
We retrospectively reviewed the medical files of 51 patients who had been followed at Dicle University Medical School Department of Otorhinolaryngology and Opthalmology with a diagnosis of orbital inflammation secondary to acute sinusitis from January 2008 to January 2014. The study protocol was approved by the ethics committee. The records were evaluated for age, gender, type of orbital complication, symptoms, predisposing factors, imaging studies, medical and surgical management, culture results, and follow-up information. The diagnosis of acute sinusitis with orbital complications was based on clinical symptoms and signs as well as laboratory tests and imaging. Sinusitis was defined by the presence of sinus opacification or air-fluid levels using computerized tomography (CT) imaging. Ophthalmologic and otorhinolaryngologic examinations and CT scans were obtained on all patients. The patients were grouped according to the basic classifications of preseptal and postseptal cellulitis. Patients with evidence of a subperiosteal mass were treated with surgery (endoscopic sinus and/or external surgery) or medical therapy. In addition, patients with systemic diseases and/or edema or erythema arising from an etiology other than sinusitis were excluded from the study.
SPSS version 15.0 software (Statistical Analysis, The Statistical Package for Social Sciences Inc, Chicago, IL) was used for the statistical analysis. Descriptive statistics were used for the data, chi-square test was used for the comparison of categorical variables, and the Mann-Whitney U test was used to compare the numeric values. The results were considered significant if the p value was less than 0.05.
RESULTS
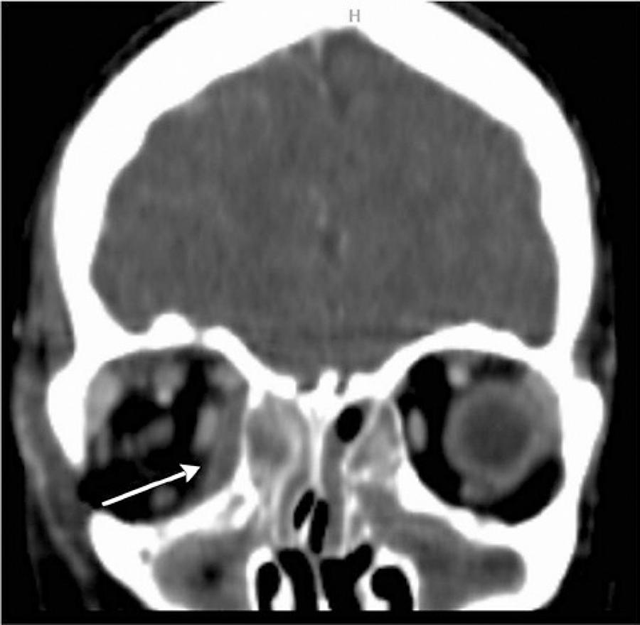
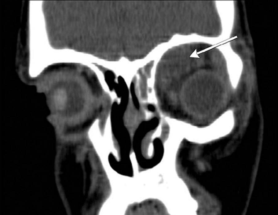
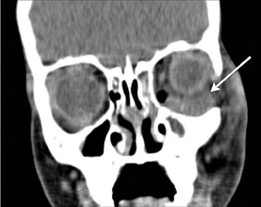
Fifty-one patients met the criteria for the study and had available medical records (29 male, 22 female). Thirty patients were treated on the otorhinolaryngology service and twenty-one patients were treated on the opthalmology service. The age range was 1 to 63 years (mean, 19.92 ± 17.98). Approximately 70% patients (n=36) were younger than 18 years of age. Thirty-two (62.7%) were diagnosed with preseptal cellulitis and 19 (37.3%) were diagnosed with postseptal cellulitis. After detailed evaluations, 15 were diagnosed with a subperiosteal abscess (SPA) and 4 with orbital cellulitis. No one had an intraorbital abscess or a cavernous sinus thrombosis. The age and gender was similar for the two groups. SPA was localized as medial (n=8) (Figure 1), superiomedial (n=4) (Figure 2), inferior (n=1) (Figure 3), and inferiomedial (n=1) (Figure 4). In the postseptal cellulitis group, bilateral pansinusitis was found in 5, unilateral pansinusitis in 6, unilateral maxillary, ethmoid, and frontal sinusitis in 5, unilateral maxillary and ethmoid sinusitis in 2, and unilateral maxillary sinusitis in 1. In the preseptal cellulitis group, bilateral pansinusitis was present in 9, unilateral pansinusitis in 10, unilateral maxillary, ethmoid, and frontal sinusitis in 4, unilateral maxillary, ethmoid sinusitis in 5, and unilateral ethmoid sinusitis in 4 patients. Five patients with medial SPA were treated with endoscopic sinus surgery, one patient with inferior SPA was treated with external surgery, and six patients with other localizations were treated with combination of endoscopic sinus surgery and external surgery. The seasonal distribution of this pathology is shown in figure 5.
The right side was involved in 27 patients and left side was involved in 24. All patients presented with periorbital erythema and edema. In postseptal cellulitis group, 13 (68.4%) patients had additional proptosis, 17 (89.4%) had limited eye movements, 15 (78.9%), and 15 (78.9%) had visual loss (under 8/10). The average length of hospitalization was 8.94 ± 3.93 (range 4 to 20 d) for all patients. The mean duration of symptoms before admission was 5.69 ± 3.19 days (range, 2 to 15 d). The length of hospitalization and duration of symptoms were similar in both groups. Visual acuity was between 1/10 to 10/10 (mean 7/10) and statistically significant for both the preseptal and postseptal celulitis groups (p<0.001). In the preseptal group, only one patient had a visual acuity less than 8/10. This patient was 63 years old and was suffering from visual loss associated with macular degeneration. All patients received intravenous antibiotics beginning on the first day of admission. The most common antibiotics used were ceftriaxone (84.3%), ornidazol (68.6%), clindamycin (13.7%), vancomycin (5.8%), meropenem (3.9%), and gentamicin (3.9%).
Multiple antibiotics were used in 72.5% of patients. Purulent material was analyzed from 9 patients and blood cultures were analyzed from 12 patients. Cultures were inoculated and bacterial growth was not observed. Patients were discharged on oral antibiotic treatment to be completed in the 2 weeks following the office visit. Other findings are presented in table 1.
Table 1 Clinical and laboratory findings. Mann-Whitney U test had been used for comparing data
| Preseptal cellulitis | Postseptal cellulitis | P value | |||
|---|---|---|---|---|---|
| Range | Mean ± SD | Range | Mean ± SD | ||
| Duration of symptom (day) | 2-15 | 5.97 ± 3.69 | 2-10 | 5.21 ± 02.09 | 0.836 |
| Duration of hospitalization (day) | 4-20 | 8.28 ± 3.83 | 5-18 | 10.05 ± 3.93 | 0.113 |
| Temprature (celciusº) | 36.7-39 | 37.17 ± 0.47 | 36.6-39.5 | 37.28 ± 0.74 | 0.839 |
| Sedimentation | 4-90 | 21.56 ± 19.98 | 2-72 | 23.79 ± 19.98 | 0.777 |
| WBC (K/uL) | 5.7-43 | 13.10 ± 7.39 | 9.8-26.8 | 14.4 ± 4.57 | 0.059 |
| Age (year) | 1-63 | 20.59 ± 18.22 | 2-62 | 18.79 ± 18.01 | 0.992 |
| Visual acuity | 5-10/10 | 9.4 ± 0.11/10 | 1-10/10 | 4.6 ± 0.34/10 | 0.000 |
WBC= white blood cell; SD= standard deviation.
DİSCUSSİON
The cause of 74% of orbital infections is sinusitis(11). Infections mostly originate from ethmoid sinuses; however, other sinuses may also be involved(12). In the presence of ethmoiditis, the infection spreads to the orbital region through the bony dehiscences, neurovascular foramina, or by septic thrombophlebitis of ophthalmic venous system(12). In our series, most of the infected sinuses were the ethmoid sinus (98%).
If left untreated, complications of orbital infections can cause blindness, meningitis, brain abscess, and death(1). Visual loss may be secondary to the elevation of the intraorbital pressure resulting in retinal ischemia or optic neuritis due to the spread of infection(3).
Medial SPA is the most common postseptal orbital complication of sinusitis(13). In our study, medial SPA was observed in 53.4% of the cases.
Patients with preseptal or orbital cellulitis present with similar symptoms, like periorbital swelling and fever. In preseptal cellulitis, the patients have intact extraocular movements and proptosis yet, visual loss is not seen. Conversely, orbital cellulitis is pronounced by decreased extraocular movements, proptosis, and loss of vision(14-16). The distinction between preseptal cellulitis and orbital involvement is important and can not be shown with clinical examination alone. Rahbar et al. presented three cases of a SPA (15.7%) with periorbital cellulitis, without any proptosis, restriction of gaze, or vision changes(17). All of the patients in our study had eyelid edema and erythema. Other ophthalmologic manifestations included protosis (33.4%), visual loss less than 8/10 (31.3%), and limited ocular motility (29.4%).
The length of hospital stay in preseptal infections and postseptal infections was similar (8.28 and 10.05 d). A similar result was reported by Souliere et al. and Liu et al.(18-19).
Streptococcus species are more frequently seen in preseptal and orbital cellulitis(20). In an analysis of 30 patients with orbital SPA, the predominant pathogens were S. pneumoniae, S pyogenes, and H. influenza(21). Anaerobic organisms are generally associated with chronic sinusitis(22). In our studies, purulent material from 9 patients, and blood cultures from 12 patients were analyzed but no bacterial growth was seen. The reason may be due to the use of antibiotics before the sample cultures were taken.
According to Howe et al., a CT scan was necessary if an evaluation of the eye was not possible because of gross edema. In addition, patients with proptosis, ophthalmoplegia, impaired visual acuity, or central symptoms may require a CT scan(23). But in some cases of an SPA, there will be no proptosis, restriction of gaze, or vision changes(17). Therefore, close follow-up will be needed in all patients with orbital infections. We routinely obtained CT scans of all patients.
The combination of ampicillin-sulbactam or ceftriaxone-metranidazole is the advised antibiotic therapy for preseptal and orbital cellulitis(24). Other suggested initial intravenous antibiotics for orbital cellulitis are ampicillin(25), cefuroxime(16), ampicillin and nafcillin(26), ampicillin and methicillin(25), ampicillin and chloramphenicol(11), vancomycin and chloramphenicol(15), cloxacillin and chloramphenicol(15), or imipenem and vancomycin(27). Multiple antibiotics were used in 72.5% of our patients and the most common combination was ceftriaxone and metronidazole.
According to Oxford et al., the criteria for medical management of medial SPA were the absence of vision loss, a normal pupillary reflex, no retinal pathologies, no restricted directions of gaze, intraocular pressure <20 mmHg, proptosis of 5 mm or less, and width of 4 mm or less on CT(28). In our study, 3 of 15 (20%) subperiosteal abscesses (SPA) were treated with antibiotics, while others were treated with surgery. The indication for surgery in our patients was visual loss (under 4/10), and unresponsive towards antibioterapy for 48 hours.
Historically, the classic external approach for SPA is the external ethmoidectomy via a Lynch incision(29). In 1993, Manning reported drainage via an intranasal, endoscopic approach(13). Since then, many studies have confirmed the endoscopic approach as the most used method for the management of SPA(29). In medial or medial-inferior SPA, a transnasal endoscopic approach is possible, but in superior orbital abscess an external incision is required(3). In our study, five patients with medial SPAs were treated with endoscopic sinus surgery, one patient with an inferior SPA was treated with external surgery, and six patients with other localizations were treated with a combination of endoscopic sinus surgery and external surgery.
In the study of Devrim et al., they found an relationship between seasonal distrubition and the orbital complication of sinusitis but we did not find any relationship(30).
CONCLUSION
The orbital complication of the acute sinusitis requires an intensive follow-up and multidisciplinary approach by a pediatrician, otolaryngologist, and ophthalmologist to avoid undesirable complications. The clinical findings in patients with preseptal cellulitis or orbital cellulitis/abscess do not always correlate with each other. Therefore a contrast-enhanced paranasal sinus CT scan can be useful to detect the extent of the infection through the orbit. An initial trial of IV antibiotics can be appropriate when close monitoring is possible. Loss of visual acuity (under 8/10) and non-medial abscess appear to be indicators for surgical treatment. Surgery may also indicated when there is no improvement within 48 hours of IV treatment. In medial or mediale inferior SPA, a transnasal approach is possible, but in superior and inferior orbital abscesses, an external approach is required.




English PDF
Print
Send this article by email
How to cite this article
Submit a comment
Mendeley
Scielo
Pocket
Share on Linkedin

