Dear Editors:
We would like to add some new information regarding the patient described in the paper entitled, "Surgical treatment of acquired restrictive strabismus in infancy: case report", published in Arquivos Brasileiros de Oftamologia in 2009(1). We stated that the diagnosis in the reported case was unclear despite extensive investigations.
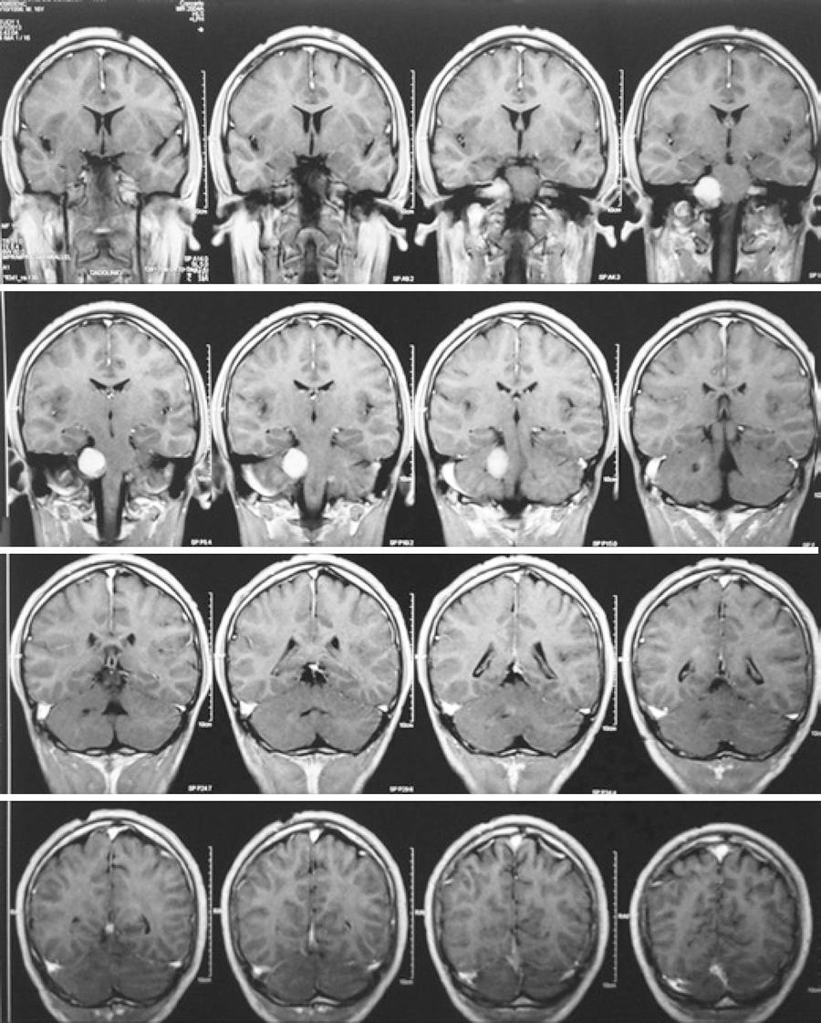
After surgical treatment of acquired restrictive strabismus, the child described remained stable with no other symptoms for approximately 7 years. By the age of 14 years, he developed left hand palsy and skin tumors. One year later, he started experiencing the beginnings of a hearing loss. Magnetic resonance imaging (MRI) of the brain revealed bilateral tumors indicative of vestibular schwannoma (Figure 1).

Figure 1 Magnetic resonance imaging with gadolinium demonstrating bilateral vestibular schwannomas with size predominance on the right side.
Subsequently, the patient was referred to the Neurofibromatosis Reference Center of the Universidade Federal de Minas Gerais for further evaluation. Diagnosis of neurofibromatosis type 2 (NF2) was then established according to MRI demonstrating bilateral vestibular schwannomas associated with cutaneous schwannomas.
NF2 is a dominant, autosomal disease characterized by bilateral vestibular schwannomas with multiple nervous system and skin tumors and is often associated with ocular abnormalities. Although classically considered a disease of adults, the initial signs and symptoms of NF2 may be evident in childhood and often goes unrecognized(2). Diagnosis is difficult in the majority of cases because of its rarity. Initial manifestations of NF2 differ between children and adults. The first sign of disease severity in patients with early-onset NF2 predominantly comprise ocular presentations and weakness in lower motor neuron extremities as opposed to impairment of the eighth nerve in cases of late disease onset(3).
Approximately 50% of NF2 patients present with strabismus, typically associated with tumors and palsies of cranial nerves III, IV, and VI(4). Although restrictive strabismus is not commonly reported in patients with NF2, it is possible that it was associated with early onset of NF2 in our patient.
English PDF
Print
Send this article by email
How to cite this article
Submit a comment
Mendeley
Scielo
Pocket
Share on Linkedin

