INTRODUCTION
Chromomycosis is a fungal infection that affects the epidermis, dermis, and subcutaneous tissue and is caused by dematiaceous fungal species that turn black on staining. The characteristic skin lesions can be present separately or together; they are verrucous and ulcerative and may also exhibit dyschromia. The most commonly observed fungi are Fonsecaea pedrosoi, Phialophora verrucosa, and, more rarely, Rhinocladiella aquaspersae. We report the case of a 50-year-old male patient who was a rural worker and had been treated without success for three decades. Despite treatment considered appropriate by infectologists and dermatologists, facial lesions progressed and caused severe cicatricial retraction. As the infection evolved, the left upper eyelid developed cicatricial ectropion.
CASE REPORT
A 50-year-old male agricultural zone worker living in Anapolis, Goias (Brazil), where he was born, had a history of a trauma of the right shoulder caused by a plant 30 years before his admission to this service. The wound did not heal spontaneously and expanded slowly and continuously.
The patient did not seek treatment early in the disease evolution; he simply made use of unspecified ointments and alternative treatments. Ten years after the appearance of the wound, the patient received dermatological treatment for ring worm because it was already causing anatomical deformity and functional limitations, but the treatment was only partially successful. Because of emotional and financial aspects, the patient abandoned medical supervision and returned to seek treatment only when his condition worsened.
The patient was referred to the Tropical Diseases Hospital of the Federal University of Goias, and the dermatology team made the diagnosis of chromomycosis caused by the fungus Fonsecaea pedrosoi(1), which was confirmed by histopathological analysis (Figures 1A and 1B). Treatment was then initiated with oral itraconazole, which is considered the drug of choice given the extensive clinical experience with this drug(2).

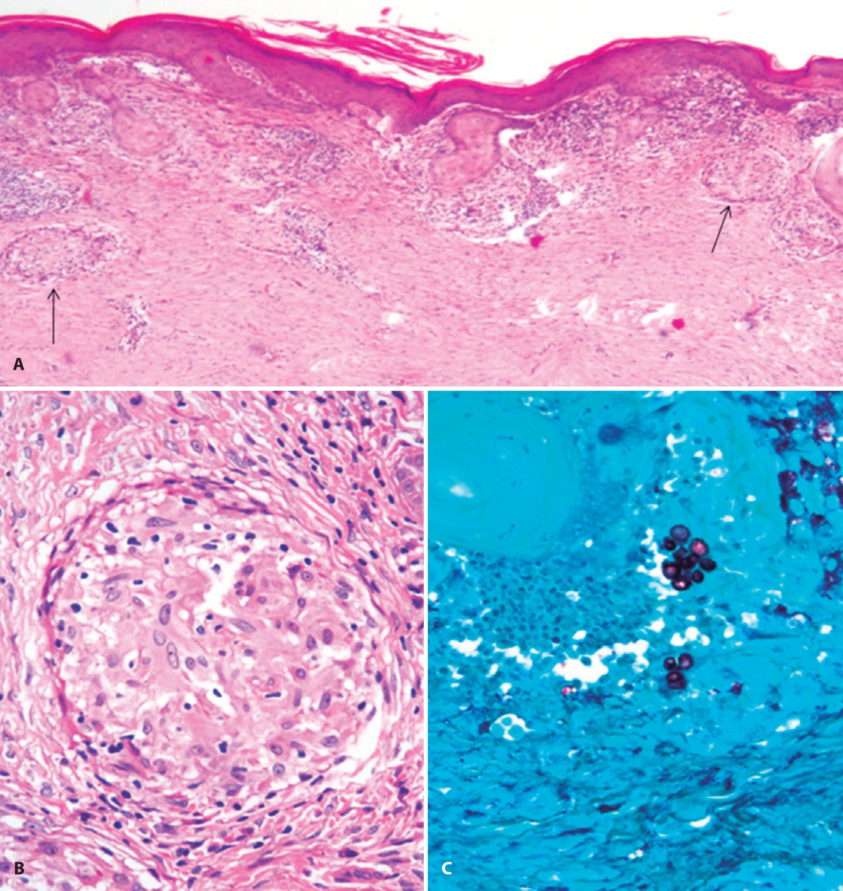
Figure 1 Anatomo-pathological biopsy performed in the face in the right temporal region of the patient. A) Skin, magnification at 4×; stained with hematoxylin and eosin (HE). Skin showing mild acanthosis, orthokeratosis, and a focus of parakeratosis, with mild perivascular lymphoplasmocytic inflammatory infiltration of the interstitial spaces, both superficial and deep, with well-formed granuloma. B) Detail of well-formed granuloma formed by epithelioid cells stained with HE and shown at 40× magnification. C) Special staining with Grocott's silver showing the presence of structures called chromoblastomycetes.
Treatment with different antifungals was tried on several occasions (Itraconazole®, Amphotericin®, Terbinafine®) with only partial success because the treatment was limited by renal toxicity, which also prevented the use of higher doses of Amphotericin B®, a useful alternative therapy in some cases. Currently the patient is being treated with 500-mg terbinafine® once a day.
When admitted to the ophthalmology service, the patient's lesion had spread to his face and periorbital zone (Figure 2A). The severe cicatricial ectropion was treated with a skin graft combined with a tarsal strip procedure on the lower eyelids of both eyes; the cicatricial retraction in the upper eyelid of the left eye was also treated with a skin graft. The skin grafts were fixed with tie-over sutures, which were removed after 5 days. The surgical treatment performed by the oculoplastic department of the hospital was performed to reduce corneal exposure and eye dryness, which had caused significant visual loss in the left eye as well as a risk of eye perforation (Visual acuity: right eye, 20/25; left eye, hand motion).

Figure 2 Preoperative and postoperative aspects showing severe ectropion leading to corneal exposure. A and B) Ectropion secondary to corneal exposition leading to corneal ulcer requiring conjunctival covering. C) Postoperative appearance after 60 days. D) Postoperative appearance with skin grafts visible after 6 months.
Because the amount of skin to be grafted was large, we obtained skin from the patient's own abdomen. There was no rejection of the transplanted tissue, and the patient has developed a good postoperative appearance (Figure 2B).
Treatment of cicatricial ectropion secondary to chromomycosis can be performed with a skin graft from the patient. For best results, the disease must be cured or under clinical control at the time of surgery. In the case of the patient above, an immediate intervention was needed because of the imminent risk of perforation of the left eye.
DISCUSSION
Chromoblastomycosis is a chronic subcutaneous mycosis that typically involves the lower extremities, and most human infections are caused by traumatic implantation. The vast majority of causative microorganisms have melanized cell walls caused by dematiaceous fungi, which belong to four genera of saprophytic fungi: Phialophora, Fonsecaea, Rhinocladiella, and Cladophialophora. Fonsecaea pedrosoi is the organism most commonly isolated from the chronic cutaneous mycosis and is relatively resistant to medical therapy(3).
Chromomycosis occurs more frequently in countries with tropical and subtropical climates(4). The fungus is hosted naturally in plants; it is inoculated in human skin after trauma occurring in a region of healthy skin. The disease is most common in rural workers and in most cases affects the lower limbs(5). The etiological agent that is most commonly isolated is the species Fonsecaea pedrosoi(6). The disease that affects patients in tropical regions had its first medical description in Brazil in 1914(2); a few years later, anatomo- pathological description was made by Pedroso and Gomes. Since then, the disease has been studied and researched, but treatment remains challenging because of the great resistance of the fungus to current therapeutic options(7).
Treatment of rare cases in which the face is affected should involve a dermatologist and an ophthalmologist because early intervention may be necessary to prevent loss of vision secondary to cicatricial ectropion.
English PDF
Print
Send this article by email
How to cite this article
Submit a comment
Mendeley
Scielo
Pocket
Share on Linkedin

