INTRODUCTION
Hypotrichosis with juvenile macular dystrophy (HJMD), OMIM(1), is a rare autosomal recessive disorder characterized by hypotrichosis at birth, limited hair growth throughout life, and progressive degeneration of the retina leading to blindness, potentially at an early age(2), and is caused by a mutation in the cadherin 3 (CDH3) gene, resulting in abnormal expression of P-cadherin. Mutations in CDH3 are associated with ectodermal dysplasia, ectrodactyly, and macular dystrophy(3).
CASE REPORT
An 11-year-old boy of Iranian descent was born to parents who were first cousins (Figure 1). The patient was full term with no gestational complications and was born via elective cesarean section. His birth weight was 5 pounds 8 ounces. There was a family history of two 20-year-old maternal-side female cousins with HJMD (Figure 1). The proband's maternal grandfather had a color vision deficiency.
The proband was born with a missing left index fingernail and sparse scalp hair (Figure 2). The hair follicles were examined dermatopathologically, and no abnormalities were found. There were no other dermatologic conditions, except for mild eczema. The patient had multiple food allergies but no drug allergies. The patient's mother reported some developmental delays initially, but at the time of examination, the subject had reached an appropriate developmental level. He had delayed primary teeth maturation.
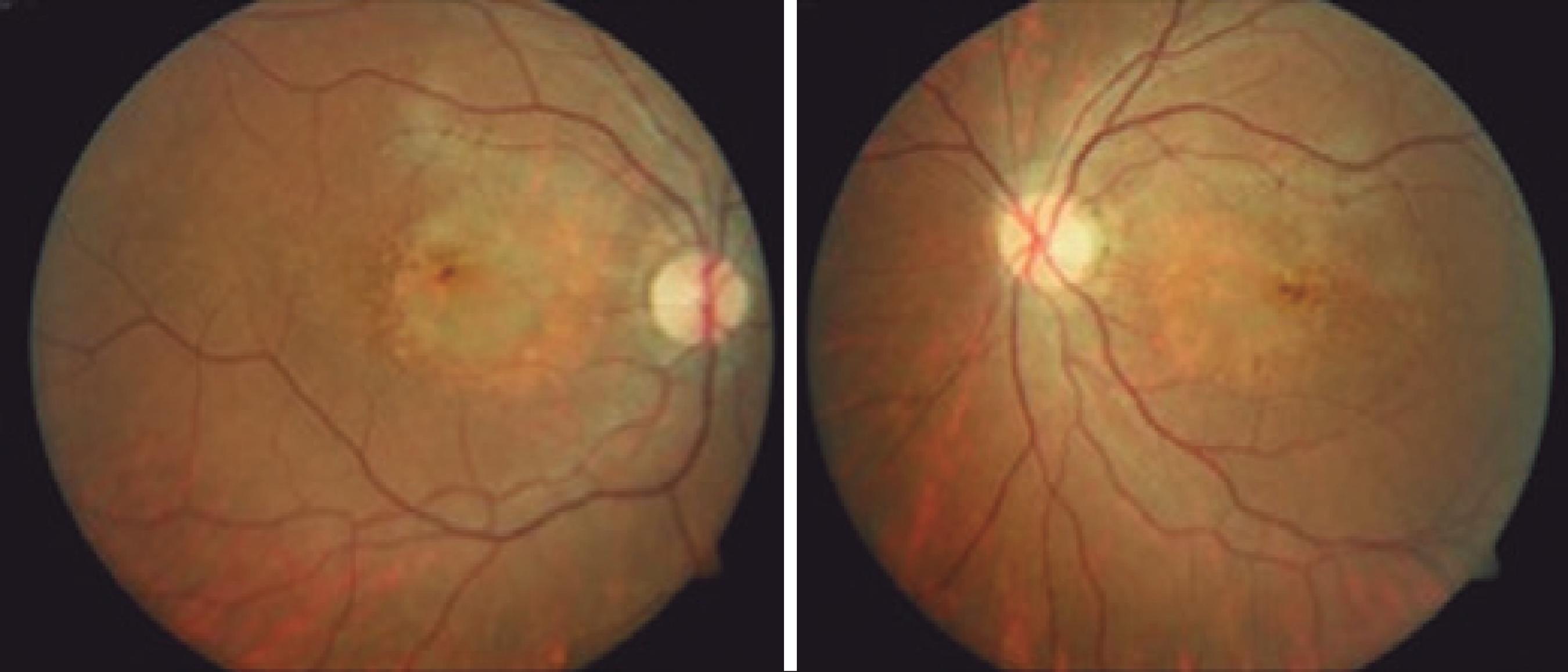
The proband began wearing glasses at 5 years of age when his teachers referred him for eye care because of trouble seeing the board. His visual acuity at the age of 8 years was 20/40 +2 for both eyes, which was stable for 2 years. The dilated fundus examination at that time showed stable, primarily macular pigmentary, changes (Figure 3).
Electroretinography (ERG; Espion; Diagnosys LLC) was performed at the age of 9 years and showed decreased a and b wave amplitudes for the rod-, mixed rod-cone-, cone-, and flicker-mediated responses for both eyes. Another ERG was performed 6 months later and showed decreased rod-mediated responses for OD and borderline responses for the OS. The mixed rod-cone-mediated responses were borderline for both eyes, and the cone and flicker responses for both eyes were diminished. An ERG performed 1 year later showed no downward progression of the responses compared with the previous year. Goldmann visual field testing demonstrated full peripheral isopters and a marginally enlarged blind spot in both eyes. Optical coherence tomography (OCT; Stratus; Carl Zeiss Meditec) testing demonstrated mild macular region attenuation (Figure 4). Both tests were conducted at the age of 9 years.

Figure 4 Optical coherence tomography demonstrating a mild decrease in macular thickness bilaterally.
Sanger sequencing was performed to specifically screen for a mutation in the CDH3 gene, which encodes for the P-cadherin protein. A homozygous in-frame nonsense mutation was found in exon 6 (640A>T), resulting in the substitution of a lysine for a premature stop codon, thus leading to the synthesis of a truncated protein unable to fulfill its physiologic functions.
DISCUSSION
Several authors have described different families with this condition found in remote areas of the Middle East(2,4-7). All the families studied by these authors shared mutations in the CDH3 gene. Symptom severity varies for each individual, but all share common features of sparse scalp hair with limited growth throughout life and retinal degeneration.
Naqvi et al.(4) studied a family from a remote region of Pakistan. The family was consanguineous, with six affected members delineated in an autosomal recessive state. All affected individuals had sparse scalp hair. Their finger and toenails, teeth, and skin were normal, with normal growth. The affected individuals had progressive vision loss starting at 12-20 years of age. Fundus examination revealed pigmentary abnormalities of the posterior pole as in the patient in our study. Both ERG and fundus inspections were consistent with macular dystrophy(4).
Jelani et al.(2) studied another large consanguineous pedigree from Pakistan with nine affected individuals. They were born with sparse scalp hair but otherwise normal integumentary and teeth. Examination showed degeneration of the macular pigmented epithelium. ERG testing of two of the affected individuals showed severe retinal dysfunction(2). Despite a different genotype (IVS10-1 G→T), the phenotype was similar to that in the present report.
Sprecher et al.(5) studied four large consanguineous families from Israel, with 11 affected individuals. At birth, they had seemingly normal hair growth but developed alopecia at 3 months of age. Scalp skin biopsies were taken and showed "reduced ratio of terminal versus vellus hair follicles." They observed "distinct structural aberrations of the hair shaft." Progressive macular degeneration started between 3 and 21 years of age. Electrophysiological evaluation was also conducted and showed anomalies consistent with impaired macular function(5). The authors identified a homozygous deletion in exon 8 (981delG) of the CDH3 gene in all families, identifying cadherin molecule pathogenesis resulting in a human hair and retinal disorder for the first time. In the present study, the age of onset was 8 years, and mild macular region attenuation on OCT was observed at 9 years.
Indelman et al. reported, in four members with HJMD of a consanguineous family, a homozygous missense mutation (R503H) resulting in a single amino acid substitution at position 503 of the P-cadherin sequence. The affected individuals were born with sparse scalp hair. Retinal degeneration manifested in all of the affected individuals with decreased visual acuity during the first decade of life(6). These clinical findings were similar to those of the patient in the current study.
Leibu et al. evaluated retinal function in 16 patients with HJMD. Fundus examination showed pigmentary abnormalities with atrophic changes extending to regions beyond the macula. ERG revealed subnormal responses in light- and dark-adapted tests. The electrooculography responses were normal. Pattern-reversal visual evoked potential showed abnormal waveforms even in patients with relatively good visual acuity. The flash demonstrated abnormal waveform architecture but subnormal amplitudes. Follow-up visual acuity and ERG testing indicated a slowly progressive retinal disorder affecting cone and rod-mediated vision; therefore, the authors suggested that hypotrichosis with cone-rod dystrophy would be a more appropriate name for this syndrome(7).
Genetic reports of rare diseases such as HJMD are important for prevalence estimation and to heighten awareness. Recent successes in stem cell and genetic therapies for ocular diseases suggest that the retinal aspects of this disorder may potentially be treatable(8,9).



English PDF
Print
Send this article by email
How to cite this article
Submit a comment
Mendeley
Scielo
Pocket
Share on Linkedin

