INTRODUCTION
Levator palpebrae superioris muscle resection (LPSr) is a well-established procedure used to repair congenital ptosis. Superficial keratopathy is common after large (supra-maximal) resections and is characterized by reduced spontaneous blink and downward lid saccade amplitudes(1). Overcorrection and post-operative inverted Bell's phenomenon(2) add to the risk of corneal exposure. However, these ocular surface complications are usually transitory and reversible(1). Patients may also suffer dryness of the eyes after LPSr due to inadvertent lacrimal gland removal. Here, we present two cases of lacrimal gland removal after LPSr with permanent severe keratoconjunctivitis sicca.
CASE REPORT
CASE 1
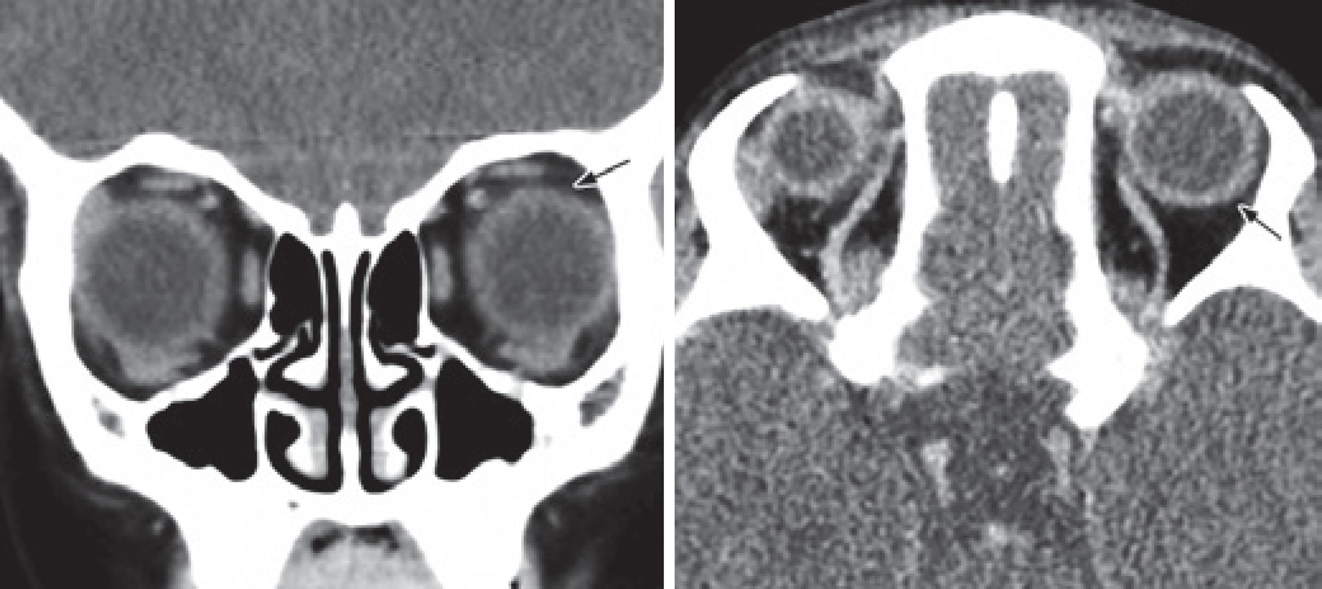
A one-year-old female child was referred to the oculoplastic clinic for severe congenital ptosis surgery of the left eye. On examination, the lid crease was absent, margin reflex distance (MRD1) was 0, and LPS function was poor (less than <5 mm). Eye motility was normal, and Bell's sign was positive. The ocular surface was normal. The patient underwent levator resection surgery, which was described as maximal. Post-operatively, she had good lid height and contour, but the parents noticed she had no tears from her left eye when she cried. Lubricants were prescribed, and she was lost and not followed up. Two years later, she presented with a margin reflex distance of 2.5 mm OU and severe superficial punctate keratitis in the left eye. Computed tomography indicated the absence of the left lacrimal gland (Figure 1).
CASE 2
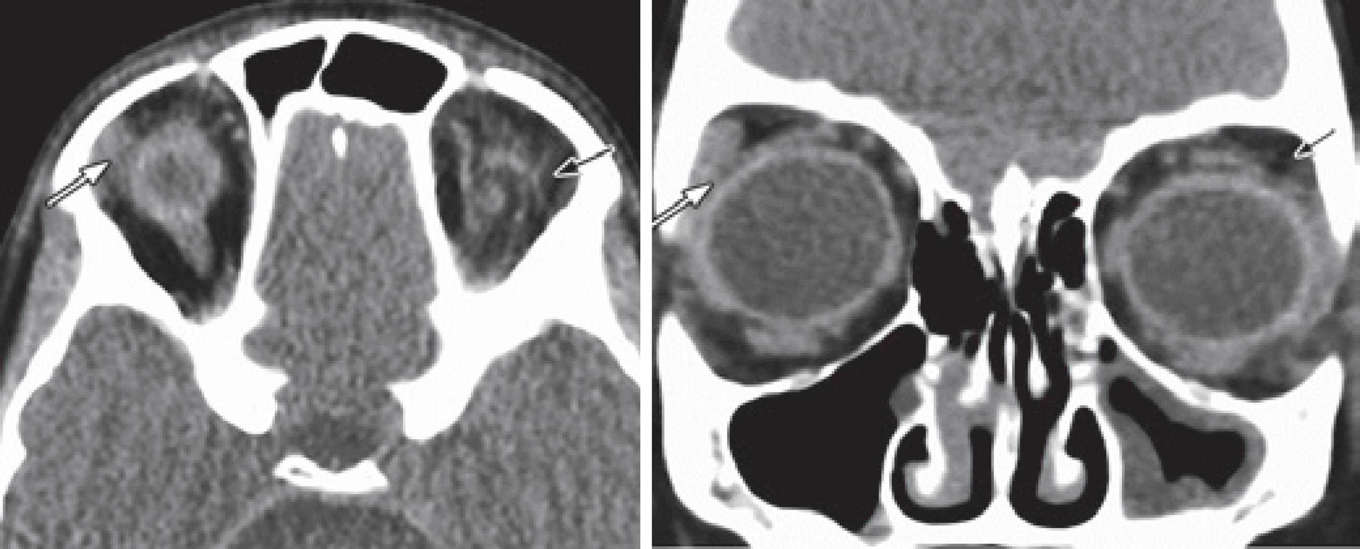
A seven years and eight month old male with congenital upper lid ptosis of the left eye had undergone levator resection two years before revision of overcorrection and lower punctal occlusion. On examination his visual acuity was 20/20 in the right eye and 20/40 in the left eye. MRD1 was 4 mm the right eye and 1 mm in left eye. LPS function was 6 mm in the left eye. Biomicroscopy showed diffuse punctate keratopathy in the left eye despite a long-term non-resorbable plug (SmartPlug; Medennium Inc., Irvine, CA, USA) inserted on the lower lacrimal punctum. Computed tomography imaging indicated the absence of the left lacrimal gland (Figure 2). The parents were not satisfied with the cosmetic appearance of the child and requested revision of the ptosis surgery. During this third procedure, absence of the orbital lobe of the lacrimal gland was noted in association with scar tissue in the lacrimal fossa. The remnants of the levator were identified and re-advanced successfully. Dry eye was treated with frequent instillation of artificial tears and insertion of a punctal plug in the upper lid.
DISCUSSION
Large LPSr involves an aggressive and delicate aponeurosis/muscle dissection beyond Whitnall's ligament. Several complications have been related to this dissection including upper fornix prolapse(2), superior rectus(3), and superior oblique(4-6) injuries. As the surgeon dissects the LPS aponeurosis and Müller's muscle from the conjunctiva in the cephalad direction, the lateral horn of the levator aponeurosis is routinely severed in order to access the retro-Whitnall portion of the muscle. Accidental trauma or removal of the lacrimal gland during this maneuver is a complication that has been recognized since the late 1950s(4). To the best of our knowledge there are no reports that include radiological documentation of the lacrimal gland removal during ptosis surgery. We believe that this serious complication is the result of an incorrect identification of the location of the lacrimal gland. If the septum is not completely opened and the surgeon incises the aponeurosis too laterally, there is a significant chance of removing large portions of both lobes of the lacrimal gland. Another possibility is failure to identify the lacrimal gland during extensive removal of prolapsed pre-aponeurotic fat. Although the contribution of the main lacrimal gland to basic lacrimal secretion remains a controversial topic(7), the findings of the present cases concur with early observations that the lacrimal gland excision has long-term deleterious effects on the ocular surface.
The authors recommend that surgeons be aware of this possible complication in order to avoid severe and permanent dryness related to ptosis repair. Dry eye should also be considered in all cases of congential ptosis at the initial examination, as well as following levator resection surgery.


English PDF
Print
Send this article by email
How to cite this article
Submit a comment
Mendeley
Scielo
Pocket
Share on Linkedin

