INTRODUCTION
Ectopia lentis is a condition in which the lens is displaced due to loose or broken lens zonules. In the absence of evident trauma, it is rarely encountered in ophthalmology clinics. Whenever ectopia lentis without evident trauma is observed in a clinical setting, the possibility of co-existing genetic diseases should be considered, especially those related to connective tissue metabolism, such as Marfan syndrome, homocystinuria, Weill-Marchesani syndrome, hyperlysinemia, and sulfite oxidase deficiency(1,2).
The clinical management of ectopia lentis is challenging. If the crystal lens is mildly displaced, treatment should involve vision and amblyopia correction as the first choice. If either amblyopia or vision cannot be improved by conventional methods, surgical intervention is generally considered(3). Multiple surgical techniques, each with its own limitations and associated complications, exist for the surgical correction of ectopia lentis. Among surgical methods, the primary choice might be "in-the-bag" placement of a posterior chamber intrao c ular lens, provided that the patient is at least 2 years old and that capsular support is present(4,5). In the absence of capsular support, surgical options vary depending on the surgeon's choice and may include iris-fixated or angle-supported anterior chamber intraocular lens, scleral-fixated intraocular lens (IOL), glued intrascleral-fixated IOL(6,7), and Artisan iris-claw lens implantation (ICL)(8) techniques. In our clinic, we prefer the Artisan iris-claw lens implantation (AICLI) technique, which places an iris-claw lens behind (posterior to) the iris in the absence of capsular support.
In pediatric patients, traumatic or inherent defects in the lens capsule make implantation of an intraocular lens difficult. In addition, little evidence exists for the management of ectopia lentis in pediatric patients. Large prospective randomized clinical trials are needed to determine the long-term visual outcomes in these patients. Our study aimed to report postoperative outcomes and long-term follow-up results of AICLI surgery in a Turkish pediatric population with non-traumatic ectopia lentis.
METHODS
Thirty eyes of 17 pediatric patients with non-traumatic ectopia lentis (11 boys and 6 girls) who underwent AICLI surgery at the Department of Ophthalmology, Uludag University School of Medicine in Bursa, Turkey during the period of 2006 to 2013 were included in the study. The mean age of the patients was 103 ± 53.3 months (30-196 months). The patients were divided into two groups: group 1, consisting of 11 patients with a clearly defined hereditary disease (nine patients with Marfan syndrome and two with homocystinuria) and group 2, consisting of patients without a definable hereditary disease. Patients with a history of trauma or accident were excluded from the study.
Systemic and ophthalmic examinations were conducted in Uludag University Ophthalmology clinics. Patients with Marfan syndrome and homocystinuria were re-evaluated in terms of their key phenotypic features, and diagnoses were confirmed.
In all cases, implanted lenses were Artisan aphakia iris-claw lenses (AC205; Ophthec BV, Groningen, the Netherlands; and Advanced Me dical Optics, Inc., Santa Ana, California, USA). Preope rative and pos to perative visual evaluations were best-corrected visual acuity (BCVA) using the Snellen chart (letters, numbers, or geometric symbols), spherical equivalent, slit lamp examination, and funduscopic examination. The IOL power was calculated via the IOL Master (Carl Zeiss Meditec, Jena, Germany) utilizing the Sanders-Retzlaff-Kraff theoretical formula with an "A" constant of 115.7. The target refraction ranged from -1.0 to -1.50 D myopia for near vision (i.e., hypercorrection). Refraction values were measured with a Canon RK-F 5 auto-refractometer (Canon Inc., Tokyo, Japan). Intraocular pressure was measured using a Tono-Pen applanation tonometer (Bio-Rad, CA, USA) without general anesthesia.
Visual acuity values were converted into logMAR values for sta tistical analysis. Patients who had ectopia lentis underwent lens extraction and AICLI surgery. Postoperative evaluations were mainly focused on clinical complications. Statistical analysis was performed using Microsoft Excel software with the one-way analysis of variance (ANOVA) method.
Surgery was performed as follows: Written consent from the patients' parents and approval from the local Ethical Committee were obtained. One surgeon, using the same surgical technique, operated on all patients. Under general anesthesia, a 5 mm scleral tunnel incision was made at the 12 o'clock position, and three paracenteses were created at the 3 and 9 o'clock positions and at the 6 o'clock position for the anterior chamber maintainer. The anterior chamber was filled with a cohesive ophthalmic viscosurgical device through the paracentesis. The crystalline lens was extracted from the scleral tunnel with the help of a lens extractor, and an anterior vitrectomy was performed. A 1% solution of acetylcholine chloride (Miochol-E; Bausch & Lomb) was injected into the anterior chamber. The iris-claw IOL was inserted through the scleral tunnel in an upside-down and reversed position (rounded side down). The iris-claw IOL was rotated with a hook into a horizontal position from 3 to 9 o'clock and was centered over the pupil. Lens fixation forceps were introduced through the scleral incision. With the aid of the forceps, the iris-claw IOL was slipped through the pupil area, maintained horizontally with the forceps, and then re-centered over the pupil behind the iris plane with the haptics positioned again at 3 and 9 o'clock. At the same time, through the paracentesis, a modified blunt enclavation needle was introduced, and by applying gentle pressure through the lens haptic, the iris was entrapped. The maneuver was repeated on the other side, achieving perfect iris-claw IOL centration under the pupil. Peripheral iridectomy was not performed. Finally, all the viscoelastic material was removed carefully through manual aspiration and the use of an anterior chamber maintainer, and the conjunctiva was closed with 8.0 vicryl sutures.
RESULTS
The study comprised 30 eyes of 17 patients. Group 1 included 21 eyes of 11 patients (six boys and five girls) and group 2 included nine eyes of six patients (five boys and one girl). Results are presented as mean ± standard deviation (range). The mean age of the patients was 93.8 ± 52.6 months (30 to 196) and 125.5 ± 51 months (39 to 196) for groups 1 and 2, respectively. There were no statistically significant differences between groups in terms of mean age or sex (p=0.98 and p=0.611, respectively). The mean post-surgery follow-up times were 35.9 ± 16 months (8 to 64) for group 1 and 45.6 ± 17.6 months (12 to 72) for group 2.
Group 1 had nine (81%) patients with Marfan syndrome and two patients (19%) with homocystinuria disease. The mean BCVA (logMAR) was 1.08 ± 0.26 (1.3 to 0.5) for group 1 before surgery. One month after the operation, a BCVA of 0.39 ± 0.46 (0.0 to 2) was observed. The change in visual acuity after surgery was sta tis tically significant (p=0.01). Before the surgery, mean spheri cal re fractive error was -1.37 ± 11.1 D (-21.75 to +13.50) and the mean cylindrical defects value was -5.60 ± 3.39 D (-9.50 to -0.75]). After surgery, the mean spherical error was 0.26 ± 2.4 D (-3.0 to +5.50) and the mean cylindrical error was -2.29 ± 1.56 D (-6.0 to -0.25). The preoperative spherical equivalent value was -3.64 ± 11.5 D (-23.6 to +3.5), and the postoperative spherical equivalent value was -0.75 ± 2.22 D (-3.75 to +5.5). The difference between the preoperative and postoperative spherical equivalents was statistically significant (p=0.005, <0.05). Iris-claw lens dislocation occurred in seven eyes of six patients who had Marfan syndrome and in one eye of a patient who had homocystinuria (total 38%). The mean time at which dislocation occurred was 23.1 ± 15 (2 to 46) months after surgery. Persistent hypotonia was present in two eyes of two patients. These patients underwent scleral tunnel suturing.
For group 2, the mean BCVA (logMAR) was 1.45 ± 0.44 (1.0 to 2.0) before surgery. One month after surgery, a mean BCVA of 0.64 ± 0.77 (0.1 to 2) was observed. The change in visual acuity after surgery was statistically significant (p=0.01, <0.05). The preoperative spherical refractive error and the cylindrical refractive error were measured as -6.5 ± 10.5 D (-20.0 to +8.0) and -5.95 ± 2.47 D (-9.0 to -3.0), respectively. Postoperatively, the mean spherical refractive error value was -0.07 ± 2.01 D (-2.0 to -2.75), and the mean cylindrical refractive error value was recorded as -1.62 ± 0.69 D (-3.0 to -1.50). The preoperative spherical equivalent value was -8.95 ± 10.86 D (-21.5 to +8.0), and the postoperative value was -0.81 ± 2.32 D (-3.5 to +3.5). The change in spherical equivalent value was statistically significant (p=0.005, <0.05). Iris-claw lens dislocation occurred in three eyes of three patients (33%). The mean time to dislocation was 25.9 ± 13.9 (4-50) months. Persistent hypotonia was present in one eye due to leakage in the incision region; however, in the postoperative period, the patient recovered in 1 month without any treatment.
ICL dislocation and hypotonia were observed in both groups without a statistically significant difference (p>0.05). There were no statistically significant differences between the two groups in terms of preoperative spherical or cylindrical values (p>0.05).
The postoperative target refractive value was the spherical equivalent of ± 0.5 D. The rate of reaching this target was 47% (10 eyes out of 21) in group 1 and 22% (two eyes out of nine) in group 2 (Table 1).
Table 1 Patient characteristics
| Patient | Operated eye | Sex | Age (months) | Follow-up time | Preoperative BCVA (decimal) | Postoperative BCVA (decimal) | Hereditary disease | Postoperative complications | Reached the target refraction? |
|---|---|---|---|---|---|---|---|---|---|
| 01 | OD | M | 060 | 32 | 0.05 | 0.80 | Marfan | None | Y |
| OS | 068 | 24 | 0.05 | 0.80 | Hypotonia | Y | |||
| 02 | OD | M | 076 | 29 | 0.10 | 0.63 | Marfan | ICL dislocation | N |
| OS | 073 | 32 | 0.10 | 0.40 | ICL dislocation | N | |||
| 03 | OD | M | 133 | 64 | 0.10 | 0.80 | Marfan | None | Y |
| OS | 136 | 61 | 0.10 | 0.63 | None | Y | |||
| 04 | OD | M | 048 | 54 | 0.05 | 0.10 | Marfan | ICL dislocation and retinal detachment | N |
| OS | 052 | 50 | 0.05 | 0.63 | None | Y | |||
| 05 | OD | F | 084 | 54 | 0.32 | 1.00 | Marfan | None | N |
| OS | 090 | 48 | 0.32 | 0.80 | None | Y | |||
| 06 | OD | M | 183 | 33 | 0.05 | 0.10 | Marfan | ICL dislocation and retinal detachment | N |
| OS | 186 | 30 | 0.10 | 0.40 | None | Y | |||
| 07 | OD | F | 180 | 52 | 0.20 | 0.80 | Marfan | ICL dislocation | N |
| OS | 196 | 36 | 0.10 | 0.63 | hypotonia | N | |||
| 08 | OD | F | 030 | 41 | 0.05 | 0.80 | Marfan | None | Y |
| OS | 036 | 35 | 0.05 | 0.63 | ICL dislocation | Y | |||
| 09 | OD | F | 078 | 17 | 0.10 | 0.40 | Marfan | None | N |
| OS | 072 | 23 | 0.10 | 0.20 | ICL dislocation | N | |||
| 10 | OD | M | 055 | 12 | 0.05 | 0.01 | Homocystinuria | ICL dislocation and retinal detachment | N |
| 11 | OD | F | 061 | 19 | 0.05 | 0.40 | Homocystinuria | None | Y |
| OS | 072 | 08 | 0.05 | 0.50 | None | N | |||
| 12 | OS | M | 122 | 70 | 0.02 | 0.32 | None | ICL dislocation | N |
| 13 | OD | M | 144 | 53 | 0.10 | 0.80 | None | None | Y |
| OS | 155 | 42 | 0.10 | 0.80 | None | N | |||
| 14 | OD | M | 072 | 72 | 0.02 | 0.50 | None | None | N |
| OS | 132 | 12 | 0.02 | 0.40 | Hypotonia | N | |||
| 15 | OD | M | 180 | 46 | 0.10 | 0.63 | None | None | Y |
| OS | 196 | 30 | 0.10 | 0.63 | None | N | |||
| 16 | OD | F | 039 | 38 | 0.01 | 0.01 | None | ICL dislocation | N |
| 17 | OS | M | 090 | 48 | 0.01 | 0.01 | ICL dislocation | N |
M= male; F= female; ICL= iris-claw lens.
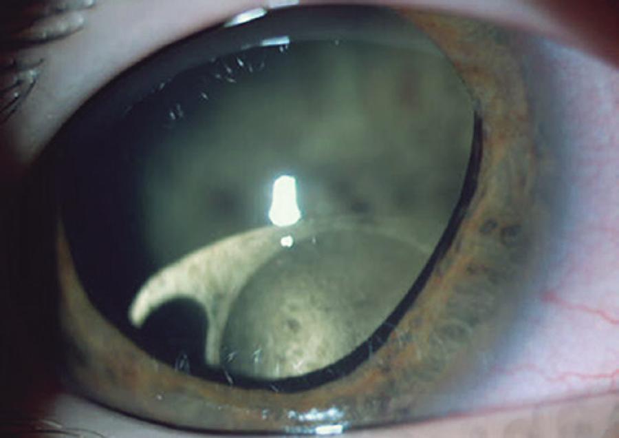
Iris-claw lens dislocation was observed in 10 patients, and all of these patients underwent re-operation for lens re-lifting. Among them, three eyes of three patients from group 1 had post-surgery retinal detachment. No other patients experienced retinal detachment. Also in group 1, a patient experienced ICL dislocation within 30 months of surgery; consequently, a repositioning operation was performed. After the 4 months succeeding this surgery, retinal detachment and dislocation of the iris-claw lens into the vitreous was observed again in this patient. Subsequently, pars plana vitrectomy was performed and the patient was left aphakic, since ICL replacement into the iris failed because of inadequate support tissue availability in the iris Figure 1. The other patients with post-surgery retinal detachment were treated with pars plana vitrectomy. This surgery was performed 20 months after the initial surgery in one patient and after 26 months in the other Table 1. The average axial length in the patients who had post-surgery complications was 17.6 mm, compared with 19 mm in the patients without complications.
DISCUSSION
In cases where surgery is unavoidable, use of AICLI in adults is generally reported as safe with acceptable complications(11-13). For example, Gonnermann et al.(14) reported only 12 cases of IOL dislocation (8.7%) after posterior AICLI operations on 137 eyes of 126 adults (mean age: 66.3 years). Guell et al.(13) also reported no significant IOL dislocation after operating on 128 eyes of 124 patients (mean age: 54.55 years) with the AICLI technique. However, the medical literature does not include enough long-term data to support the same level of safety in children(1,2). Evidence of the best intraocular lens placement methods that deliver the best vision results and the lowest rates of postoperative complications in pediatric patients is still not ade quate(11-15). Therefore, our aim was to share our experiences in an effort to contribute to the knowledge of medical practitioners in this field.
From a surgical technique perspective, placing iris-claw lenses either in front of or behind the iris has been shown to be equally safe for pediatric and adult patients. In fact, Smina et al.(16) placed iris-claw lenses in front of the irises of 20 eyes of 10 patients with congenital cataracts, and reported that, after an average of 12.3 years follow-up, the endothelium density of these patients was found to be as expected according to their ages. In addition, Gawdat et al.(15) placed the IOL anteriorly in 25 pediatric patients (three with Marfan syndrome and one with homocystinuria; the rest of the patients were otherwise normal), and only two patients (8%) developed traumatic dislocation during the 12 months after surgery. Gonnermann et al.(17) reported only one retinal detachment among 10 patients with Marfan syndrome (mean age: 34.7), three of whom were pediatric patients (two were 16 years of age and one was 9), with a 37-month follow-up. Our institution also prefers placing the iris-claw lens behind the iris. In our study, however, we experienced 11 iris-claw lens dislocations (three eyes from the group without hereditary diseases and eight eyes from the group with hereditary diseases) out of 30 operated eyes. At first glance, this seems like a higher complication rate than has been previously reported. However, our longer follow-up time should also be taken into account. A second reason for the complication rate is inadequate tissue support due to hereditary connective tissue diseases. Although Gawdat et al.(15) and Lifshitz et al.(18) reported favorable complication rates in 12 months, the authors stated the need for longer follow-up times in their papers. In addition, the genetic backgrounds of the patients in these studies were not mentioned.
Endothelial cell damage or loss of support are a concern when choosing a surgical technique. Gonnermann et al.(17) placed the iris-claw lens behind the iris in patients with Marfan syndrome and followed them postoperatively for 37 months. They noted a 5.6% increase in the mean endothelial cell density; therefore, they regarded the technique as safe. In our study, we preferred to place the ICLs posteriorly, far from the endothelium cells, as described by Gonnermann et al. However, it was not possible to measure the endothelium cell density before or after the surgery; this is a limitation of our study. No findings related to corneal decompensation were encountered in any of our patients.
Another group of complications, including pupillary block and secondary glaucoma, is observed less frequently when iris-claw lenses are placed behind rather than in front of the iris(19). None of our patients experienced pupillary block or secondary glaucoma. In addition, no pupil disorder, macular edema, or high intraocular pressure were observed. Instead, spontaneous dislocation occurred in 37% of the cases, and hypotonia was observed in 10%. In three of the cases in which dislocations occurred, retinal detachments also took place later on. In all of the patients with retinal detachment (all of whom had a hereditary disease), the iris-claw lenses were dis located into the vitreous. Gonnermann et al. reported one ICL dislocation in seven eyes of four children due to trauma with a mean postoperative spherical equivalent at the last follow-up of 0.43 ± 2.47 D (-4.0 to + 4.25 D) (20). Our postoperative spherical equivalent was relatively high at -0.75 ± 2.22 D (-3.75 to 5.5) for group 1 and 0.81 ± 2.32 D (-3.5 to 3.5) for group 2. This could be the result of scleral tunnel suturing or the weak attachment of ICL lenses due to defective connective tissue. It could also be the result of the larger number of patients.
In the absence of evident trauma, ectopia lentis is rarely encountered in pediatric ophthalmology clinics. A hereditary contribution to ectopia lentis was first proposed by Williams(9) as early as 1875 in a description of a family with ectopia lentis in two generations. Ectopia lentis is generally observed in patients with conditions like Marfan syndrome, homocystinuria, Crouzon syndrome, familial hyperlysinemia, Ehlers-Danlos syndrome, Weill-Marchesani syndrome, Knobloch syndrome, and AX6 gene-dependent ectopia lentis, but it may also present as a standalone autosomal dominant or recessive lens subluxation syndrome without any other clinical signs(10). In our study, we noticed that a significant number of the pediatric patients had a recognizable hereditary disease; others may also have had undiagnosed ones. Therefore, in patients with ectopia lentis, genetic counseling should be advised.
To our knowledge, this study is the first to report on a pediatric patient population in which 65% of the patients had a definable he reditary disease. In addition, these patients were followed for longer time periods than those in previous studies, at an average of 38 months.
In conclusion, we believe that children with ectopia lentis should be screened for possible underlying. undiagnosed hereditary connec tive tissue diseases like Marfan syndrome, homocystinuria, or stan dalone hereditary ectopia lentis. AICLI in children with subluxated lenses provides good results in terms of improving uncorrected and corrected vision, but involves a high incidence of postoperative com plications, especially lens dislocation and retinal detachment.

English PDF
Print
Send this article by email
How to cite this article
Submit a comment
Mendeley
Scielo
Pocket
Share on Linkedin

