Open Access Peer-Reviewed
Editorial

Intravitreal implantation of Ozurdex® chronic delivery system for management of macular edema related to retinitis pigmentosa: case report

Implante intravítreo de liberação crônica de dexametasona (Ozurdex®) para o tratamento de edema macular por retinose pigmentar: relato de caso

Guilherme Buchaim1; Marcussi Palata Rezende1; Maurício Maia1

DOI: 10.1590/S0004-27492013000600013

ABSTRACT

Retinitis pigmentosa denotes a heterogeneous group of rare genetic diseases in which both rods and cones eye are damaged. It is a disease of poor prognosis. We describe the case of a 22 years old woman successfully treated with intravitreal implant of dexamentasone (OZURDEX®, Allergan, USA) for the treatment of macular edema due to retinitis pigmentosa.

Keywords: Retinitis pigmentosa; Macular edema; Macular edema; Injections; Drug implants; Dexamethasone; Visual acuity; Humans; Female; Adult; Case report

RESUMO

Retinose pigmentar indica um grupo heterogêneo de doenças genéticas oculares raras em que tanto bastonetes quanto cones estão danificados, levando a um prognóstico ruim com eventual perda da visão. Descrevemos o caso de mulher de 22 anos com edema macular recorrente devido à retinose pigmentar. Obteve-se sucesso terapêutico após o tratamento com o implante intravítreo de dexamentasona (Ozurdex®, Allergan,USA).

Descritores: Retinite pigmentosa; Edema macular; Edema macular; Injeções; Implantes de medicamentos; Dexametasona; Acuidade visual; Humanos; Feminino; Adulto; Relato de caso

RELATO DE CASO

 

Implante intravítreo de liberação crônica de dexametasona (Ozurdex®) para o tratamento de edema macular por retinose pigmentar: relato de caso

 

Intravitreal implantation of Ozurdex® chronic delivery system for management of macular edema related to retinitis pigmentosa: case report

 

 

Guilherme BuchaimI, II; Marcussi Palata RezendeI, II; Maurício MaiaI, III

IMédico, Vitreoretinal Diseases Unit, Brazilian Institute of Fighting Against Blindness, Assis - Presidente Prudente - São Paulo (SP), Brazil
IIMédico - Vitreoretinal Diseases Unit - Universidade do Oeste Paulista - UNOESTE - Presidente Prudente - São Paulo (SP), Brazil
IIIMédico - Vitreoretinal Diseases Unit, Universidade Federal de São Paulo - UNIFESP - São Paulo (SP), Brazil

Endereço para correspondência

 

 


RESUMO

Retinose pigmentar indica um grupo heterogêneo de doenças genéticas oculares raras em que tanto bastonetes quanto cones estão danificados, levando a um prognóstico ruim com eventual perda da visão. Descrevemos o caso de mulher de 22 anos com edema macular recorrente devido à retinose pigmentar. Obteve-se sucesso terapêutico após o tratamento com o implante intravítreo de dexamentasona (Ozurdex®, Allergan,USA).

Descritores: Retinite pigmentosa/complicações; Edema macular/etiologia; Edema macular/quimioterapia; Injeções; Implantes de medicamentos; Dexametasona/administração & dosagem; Acuidade visual; Humanos; Feminino; Adulto; Relato de caso


ABSTRACT

Retinitis pigmentosa denotes a heterogeneous group of rare genetic diseases in which both rods and cones eye are damaged. It is a disease of poor prognosis. We describe the case of a 22 years old woman successfully treated with intravitreal implant of dexamentasone (OZURDEX®, Allergan, USA) for the treatment of macular edema due to retinitis pigmentosa.

Keywords: Retinitis pigmentosa/complications Macular edema/etiology; Macular edema/drug therapy; Injections; Drug implants; Dexamethasone/administration & dosage; Visual acuity; Humans; Female; Adult; Case report


 

 

INTRODUÇÃO

Retinose pigmentar (RP) indica um grupo heterogêneo de doenças genéticas oculares raras em que tanto bastonetes como cones são danificados(1). A perda progressiva de células fotorreceptoras é, geralmente, seguida por alterações no epitélio pigmentar e nas células gliais da retina(1). Uma das principais complicações da doença é a formação do edema macular, que se forma devido a um processo inflamatório da doença.

Relatamos um caso de edema macular devido à RP refratário ao tratamento com triancinolona intravítrea, tratada, com sucesso, através do uso de um implante intravítreo de dexametasona (Ozurdex®).

 

RELATO DE CASO

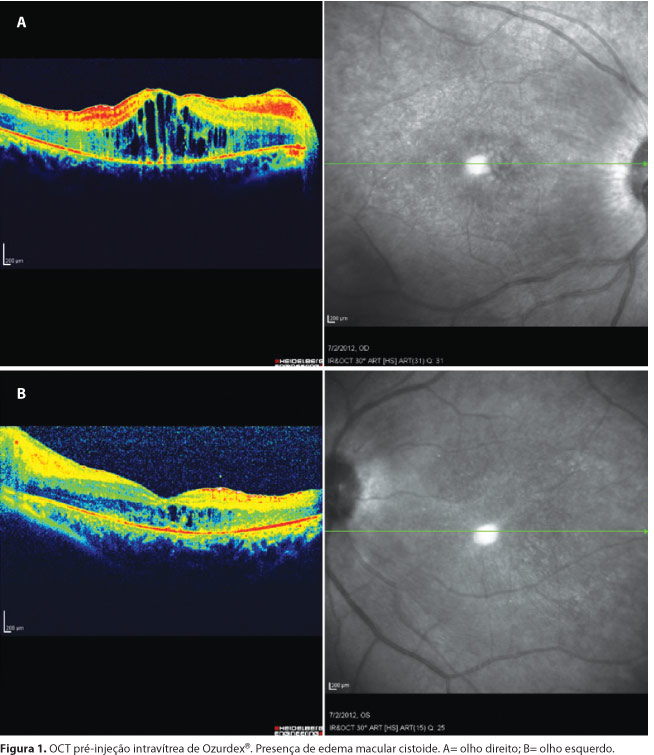
Paciente do sexo feminino, 22 anos, acompanhada desde 2005 no Instituto Brasileiro de Combate a Cegueira. Iniciou tratamento e acompanhamento desde os 15 anos de idade quando se queixava de baixa acuidade visual e cegueira noturna em ambos os olhos (AO). Ao exame oftalmológico sua acuidade visual corrigida (AVCC) foi de 20/100 em AO (tabela de ETDRS) e pressão intraocular (PIO), por tonometria de aplanação de Goldmann, de 14 mmHg em AO. Fundoscopia: edema macular cistoide em AO. Tomografia de coerência óptica (OCT): presença edema macular em AO (Figura 1). Campimetria: 14 pontos (em 125) de escotomas periféricos no OD. Diagnosticamos RP associada a edema cistoide de mácula em AO.

Optamos pela injeção intravítrea de acetato de triancinolona no OD. Após um mês aplicou-se triancinolona no OE. A AVCC melhorou para 20/80 OD e 20/60 OE.

Dois meses após, a paciente retorna ao serviço com AVCC de 20/400 em AO, e PIO de 17 mmHg em AO. O diagnóstico de catarata subcapsular posterior foi feito e optou-se por facoemulsificação associada à implante de lente intraocular Acrysoft® IQ (Alcon, USA) em AO. Após oito meses, a paciente foi submetida à capsulotomia posterior com YAG laser em AO. A paciente evoluiu com AVCC de 20/100 em AO.

Após seis anos de tratamento a paciente foi submetida, no total, a 19 injeções intravítreas de triancinolona no olho direito (OD) e 13 injeções no olho esquerdo (OE) devido à recorrência do edema macular. O efeito terapêutico da triancinolona intravítrea foi diminuindo de acordo com o maior número de injeções. Após a última injeção, a melhora do edema macular foi de apenas duas semanas em AO. A paciente foi instruída quanto aos riscos e benefícios da injeção intravítrea de liberação lenta de dexametasona (Ozurdex™, Allergan, USA) e realizamos este tratamento em AO. A paciente permaneceu sem edema macular durante quatro meses (Figura 2) e apresentou melhora da AVCC de conta dedos a 2 m para 20/200 no OD e de 20/100(-2) para 20/80 no OE, após este tratamento.

 

DISCUSSÃO

A RP é uma entidade que afeta predominantemente o campo visual periférico(2) e, posteriormente, promove alterações degenerativas nos neurônios da retina interna, vasos sanguíneos, mácula e cabeça do nervo óptico(3).

Um dos tratamentos mais utilizados nessa entidade, a injeção intravítrea de triancinolona, não é particularmente eficiente em pacientes vitrectomizados, como na paciente aqui relatada, com meia vida de aproximadamente 18,6 dias em pacientes não vitrectomizados, e 3,2 dias em vitrectomizados(4, 5).

A injeção do implante de liberação crônica de dexametasona, denominado Ozurdex®, é realizada, através de uma punção vítrea a 3,5 mm do limbo, seguida de injeção intravítrea do implante de ácido polilático-glicólico capaz de liberar dexametasona com meia vida estável no vítreo por até 30 dias, proporcionando efeito terapêutico para edemas maculares em até 3-6 meses(5, 6).

Poucos estudos randomizados, controlados haviam sido feitos para avaliar a segurança do uso de triancinolona intravítrea, e comprovar a sua eficácia(7, 8). Os dois principais efeitos colaterais do uso da triancinolona intravítrea são o aumento da incidência de catarata em cerca de 20-60% dos casos, e o glaucoma em cerca de 30% dos casos, após sua primeira aplicação(7, 8).

A paciente aqui relatada está evoluindo bem e sem necessidade de realizar outra injeção intravítrea há, pelo menos, quatro meses, o que nos mostra a eficácia do implante de liberação crônica de dexametasona (Ozurdex®, Allergan, USA) em casos refratários aos tratamentos com a triancinolona. Assim houve uma diminuição da frequência das injeções intravítreas, reduzindo os riscos das complicações intra e pós-operatórias desses procedimentos. Isso gerou uma melhora na qualidade de vida da paciente.

O implante do Ozurdex® (Allergan, EUA) é um agente farmacológico suplementar ao arsenal terapêutico do paciente com RP oferecendo-se como uma opção adicional para a RP que, em geral, tem prognóstico reservado.

A descrição deste caso levanta a necessidade de maiores estudos nesse sentido e oferta uma esperança de melhoria na qualidade de vida para esses pacientes.

 

REFERÊNCIAS

1. Saraiva VS, Sallum JM, Farah ME. Treatment of cystoid macular edema related to retinitis pigmentosa with intravitreal triamcinolone acetonide. Ophthalmic Surg Lasers Imaging. 2003;34(5):398-400.         

2. Sahel J, Vonnel S, Mrejen S, Paques, M. Retinitis pigmentosa and others dystrophies. Dev Ophthalmol. 2010;47:160-7.         

3. Loukianou E, Kisma N, Pal B. Evolution of an astrocytic hamartoma of the optic nerve head in a patient with retinitis pigmentosa - photographic documentation over 2 years of follow-up. Case Rep Ophthalmol; 2011;2(1):45-9.         

4. Chieh JJ, Roth DB, Liu M, Belmont J, Nelson M, Regillo C, et al. Intravitreal triamcinolone acetonide for diabetic macular edema. Retina. 2005;25(7):828-34.         

5. Audren F, Tod M, Massin P, Benosman R, Haouchine B, Erginay A, et al. Pharmacokinetic-pharmacodynamic modeling of the effect of triamcinolone acetonide on central macular thickness in patients with diabetic macular edema. Invest Ophthalmol Vis Sci. 2004;45(10):3435-41.         

6. Lowder C, Belfort R Jr., Lightman S, Foster CS, Robinson MR, Schiffman RM, Li XY, Cui H, Whitcup SM; Ozurdex HURON Study Group. Dexamethasone intravitreal implant for noninfectious intermediate or posterior uveitis. Arch Ophthalmol. 2011;129(5): 545-53. Comment in: Arch Ophthalmol. 2011; 129(12):1638-9; author reply 1639-40.         

7. Haller JA, Bandello F, Belfort R Jr, Blumenkranz MS, Gillies M, Heier J, Loewenstein A, Yoon YH, Jiao J, Li XY, Whitcup SM; Ozurdex GENEVA Study Group. Dexamethasone intravitreal implant in patients with macular edema related to branch or central retinal vein occlusion twelve-month study results. Ophthalmology. 2011;118(12):2453-60. Comment in: Ophthalmology. 2012;119(12):2654-5.e1; author reply 2655.         

8. Ip MS, Scott IU, VanVeldhuisen PC, Oden NL, Blodi BA, Fisher M, Singerman LJ, Tolentino M, Chan CK, Gonzalez VH; SCORE Study Research Group. A randomized trial comparing the efficacy and safety of intravitreal triamcinolone with observation to treat vision loss associated with macular edema secondary to central retinal vein occlusion: the Standard Care vs Corticosteroid for Retinal Vein Occlusion (SCORE) study report 5. Arch Ophthalmol. 2009;127(9):1101-14. Erratum in: Arch Ophthalmol. 2009;127(12):1648. Comment in: JAMA. 2009;302(15):1693-5; Arch Ophthalmol. 2009;127(9):1203-4.         

 

 

Endereço para correspondência:
Maurício Maia
Avenida Otto Ribeiro, 901 - Assis (SP) 
19840-050 - Brasil
E-mail: [email protected]

Submetido para publicação: 8 de janeiro de 2013
Aceito para publicação: 2 de outubro de 2013
Financiamento: FAPESP (Fundação de Amparo a Pesquisa do Estado de São Paulo) e CNPq (Conselho Nacional de Pesquisa).
Divulgação de potenciais conflitos de interesse: G.Buchaim, Nenhum; M.P.Rezende, Nenhum; M.Maia, Nenhum.

 

 

Trabalho realizado no Instituto Brasileiro de Combate a Cegueira & Hospital de Olhos Oeste Paulista.


Dimension

© 2026 - All rights reserved - Conselho Brasileiro de Oftalmologia