Open Access Peer-Reviewed
Editorial

Trombose séptica de seios cavernosos, transverso e sigmóide e de veia jugular, associada à meningite, secundária a furúnculo nasal: Relato de Caso

Septic thrombosis of cavernous, transverse, sigmoid sinuses and jugular vein, associated with meningitis, secondary to nasal furuncle: Case report

Hélio Utida1; Mariza Toledo de Abreu1; Paulo Góis Manso2; Karine Koller2; Stephen Wang1; Carla Reichert Leite1

DOI: 10.1590/S0004-27492002000300015

RESUMO

Os autores descrevem um caso de furúnculo nasal que evoluiu com trombose séptica de seio cavernoso, bilateral e assimétrica, e de seios transverso e sigmóide e de veia jugular interna a esquerda, associada à meningite bacteriana, em um paciente previamente hígido. Apesar da trombose séptica extensa de seios venosos, o paciente apresentou boa evolução, após tratamento clínico agressivo com antibióticos, corticosteróides e anticoagulantes. Porém, manteve como seqüela: paresia de VI nervo à esquerda e lesão parcial de nervo óptico homolateral.

Descritores: Trombose do corpo cavernoso; Furunculose; Doenças nasais; Antibióticos; Corticosteróides; Meningite bacteriana; Paresia; Relato de caso

ABSTRACT

The authors report a case of nasal furuncle that progressed to septic bilateral and asymmetric thrombosis of cavernous, transverse, sigmoid sinus and internal jugular vein, associated with bacterial meningitis, in a previously healthy patient. In spite of the extensive thrombosis, the patient presented a good evolution, after an aggressive clinical treatment with antibiotics, corticosteroids and anticoagulants. However, there remained paresis of the VI nerve on the left and partial lesion of the homolateral optic nerve.

Keywords: Cavernous sinus thrombosis; Furunculosis; Nose diseases; Antibiotics; Adrenal cortex hormones; Paresis; Bacterial meningitis; Case report

INTRODUÇÃO

A incidência precisa de trombose venosa cerebral não é conhecida. A condição é relativamente incomum e, provavelmente, subdiagnosticada. Trombose venosa cerebral foi estimada em 1:10.000 admissões hospitalares de 1978 a 1988(1). A trombose séptica de seio cavernoso é ainda uma causa comum, porém, outras causas de trombose de seio cavernoso ocorrem, como causas inflamatórias, tumorais, fístulas carótido-cavernosas e aneurismas(1-2). Os agentes etiológicos da trombose de seio cavernoso de origem séptica mais comuns são Staphylococcus aureus, com estreptococos e pneumococos sendo menos comuns; registrou-se também anaeróbios e fungos(3). Os sintomas são cefaléia e/ou dor facial lateralizada, seguida em alguns dias a semanas por febre e comprometimento da órbita, provocando proptose e quemose secundárias à obstrução da veia oftálmica. A seguir, ocorre rapidamente paralisia do VI, III e IV nervos cranianos ipsilaterais. Disfunção sensorial nos ramos V1 e V2 do V nervo é menos óbvia. Ocorre comprometimento adicional do conteúdo orbitário adjacente, podendo ocorrer papiledema brando e diminuição da acuidade visual. A propagação para seio cavernoso oposto ou para outros seios intracranianos, com infarto cerebral ou pressão intracraniana aumentada secundária a alteração na drenagem venosa, podem resultar em estupor, coma e morte(3).

A investigação pode ser feita através dos seguintes métodos diagnósticos: tomografia computadorizada, punção lombar e ressonância nuclear magnética, seguida da angiorressonância de crânio, a qual é o exame de eleição(1). Reserva-se a angiografia cerebral para os casos duvidosos(4).

O objetivo do presente trabalho é descrever as complicações de um simples furúnculo nasal não tratado: trombose extensa de seios venosos cerebrais, acompanhada de meningite bacteriana, levando a um grave comprometimento neuro-oftalmológico.

 

RELATO DE CASO

Paciente de sexo masculino, 21 anos, negro, encaminhado ao serviço de Oftalmologia da Santa Casa de Mogi das Cruzes com história de inchaço do olho esquerdo há um dia. Relata o aparecimento de uma "espinha" na semana anterior, localizada dentro do nariz, e que, dois dias após seu surgimento, a mesma "inflamou". Sem tratar a lesão, após quatro dias iniciou quadro de vômitos, febre, anorexia, cefaléia e diplopia. Na manhã seguinte, acordou com a região periocular esquerda edemaciada e dolorosa, evoluindo em seguida com confusão mental, dando entrada em nosso serviço. Como antecedentes pessoais referia uso anterior de maconha e droga injetável. Negava patologias prévias e uso de medicações.

Ao exame apresentava como dados relevantes: regular estado geral, confuso, desorientado, febril, anictérico, descorado (1+/4+), rigidez de nuca, ausência de visceromegalias ou linfadenomegalias. À ectoscopia apresentava proptose à esquerda em infraducção, quemose, ptose e edema bipalpebral; no olho direito havia discreta quemose inferior. A avaliação da sensibilidade do ramo V1 do V nervo foi difícil, devido ao estado de confusão mental do paciente, mas aparentemente havia diminuição da sensibilidade em região frontal e periocular esquerda. Na ausculta, notava-se ausência de sopros sobre os olhos ou em região temporal. A pupila esquerda apresentava-se em média midríase, o reflexo fotomotor direto e consensual à esquerda era de 1+/4, e normais à direita.

Havia oftalmoplegia à esquerda e no olho direito havia hipofunção de ¾ 4+/4 em RSD, RLD e RID, e hipofunção de ¾2+/4 em OID, RMD e OSD. A acuidade visual sem correção era de 0,1 e PL.

No teste de visão cromática, o paciente não distinguia verde/vermelho em ambos os olhos. A tonometria era normal em ambos os olhos. À biomicroscopia, notava-se quemose bilateral, mais importante à esquerda. O exame de fundo de olho apresentava-se normal.

Para investigação e confirmação diagnóstica, solicitamos exames hematológicos, exames de imagem e de líquor.

Quanto aos exames hematológicos, o paciente apresentava hemograma com leucocitose e predomínio de neutrófilos. A contagem de plaquetas e o coagulograma eram normais. A hemocultura foi negativa. A sorologia para HIV 1 e 2 não foram reagentes.

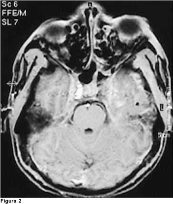
Dos exames de imagem, foram solicitados: tomografia de crânio, que evidenciou assimetria ventricular, às custas de diminuição de ventrículo lateral à direita e tomografia de órbita (Figura 1), que revelou ingurgitamento de veia oftálmica à esquerda. A ressonância de crânio demonstrou redução do fluxo em seio cavernoso à esquerda (Figura 2). A angiores-sonância de crânio demonstrou: redução acentuada do fluxo venoso através do seio transverso esquerdo, sigmóide, seio cavernoso e veia jugular homolateral, correspondendo a trombose nestes segmentos; veias tributárias de convergência apresentavam-se túrgidas e proeminentes (Figura 3).

 

 

 

 

O exame do líquor demonstrou pleocitose (1.412 cél/mm³), com predomínio de polimorfonucleares; a bacterioscopia direta (Gram) não demonstrou cocos. A cultura do líquor foi negativa (Tabela 1).

 

 

A hipótese diagnóstica após todos os exames de investigação foi: trombose séptica de seios cavernosos, transverso, sigmóide e da veia jugular, associada à meningite, secundária a furúnculo nasal.

Os antibióticos utilizados foram: ceftriaxona 2g IV de 12/12h, metronidazol 500 mg IV de 6/6h e vancomicina 500 mg IV de 6/6h. Introduzimos dexametasona com dose de ataque de 4 mg IV de 6/6h. Optamos também por um esquema de anticoagulação, utilizando dose de ataque de heparina 5.000UI em bôlus IV, seguida por infusão contínua de 20.000UI em 24h por três dias, passando a seguir para heparina 5000UI SC de 8/8h, mantido por 5 dias, e warfarina sódica 1g/dia, administrada por um mês. O controle da anticoagulação foi realizado através de medidas seriadas de TAP (tempo de ativação da protrombina) e TTPA (tempo de tromboplastina parcial ativada).

O paciente apresentou boa resposta ao tratamento, evoluindo em poucos dias com melhora do quadro de confusão mental, afebril, com diminuição dos sinais flogísticos locais, melhora da acuidade visual bilateral e da motilidade ocular extrínseca. Após três meses de evolução, o paciente apresentou acuidade visual, com correção, de 1,0 e 0,5. Referia diplopia em PPO (posição primária do olhar), com desvio em PPO para longe de ET25D HoT25D persistindo paresia de reto lateral à esquerda de -2/-3. Apresentava também fusão na medida objetiva e extorsão de 5º em ambos os olhos ao teste Maddox. Ao teste de ducção passiva, o paciente apresentou discreta contratura de reto medial a esquerda e ao teste de ducção ativa, detectou-se força no reto lateral a esquerda. Como notamos tendência a melhora, com redução da esotropia, e surgimento de força muscular, optamos pela observação do paciente com retornos quinzenais em nosso ambulatório.

 

DISCUSSÃO

Os seios cavernosos são canais venosos interconectados que compreendem as câmaras venosas mais caudais da dura-máter, na base do crânio. São estruturas pares situadas em cada lado da fossa hipofisária, imediatamente acima da linha média do seio esfenoidal(3).

Eagleton classificou a trombose de seio cavernoso séptica em seis tipos, baseado na rota de invasão, sendo a mais comum a via anterior: supuração na face e nariz, drenando para veia oftálmica, correspondendo a 52% dos casos(1). Esta rota tende a produzir um quadro clínico agudo e exuberante. Assim, infecções superficiais da face (furúnculo nasal) podem se propagar ao seio cavernoso, tornando-se, pois, intracranianas em virtude das comunicações que existem entre as veias oftálmicas, tributárias do seio cavernoso e a veia angular que drena a região nasal(5). Como a drenagem venosa cerebral não possui válvulas, isso permite a propagação de coágulos ou infecção para o seio cavernoso oposto ou para outros seios intracranianos, além da possibilidade de desenvolvimento de meningite associada. O acometimento do seio transverso, sigmóide e veia jugular interna homolateral ocorreu provavelmente pela ligação do seio petroso inferior e superior que conecta o seio cavernoso a essas estruturas. A trombose do seio transverso é descrita como uma doença rara, sendo quase exclusivamente uma complicação de otite média, mastoidite ou ambas(6). A propagação para o seio cavernoso contralateral ocorreu pela ligação existente entre os seios cavernosos pelo seio circular.

O seio cavernoso envolve a "porção cavernosa" da artéria carótida interna, o III, IV e VI nervos cranianos em seu trajeto para o ápice da órbita e os ramos V1 e V2 do V nervo, que dão sensibilidade à fronte, regiões perioculares, córnea e área malar da face(3,5,7). Esses elementos são separados do sangue presente no seio por um revestimento endotelial(6). Assim, acometimento do seio cavernoso leva a um leque de sinais e sintomas denominado síndrome cavernosa.

A síndrome do seio cavernoso ocorre em ambos os sexos e em todos os grupos etários, manifestando-se por graves déficits oftalmológicos. As manifestações mais comuns são cefaléia, envolvimento de III, IV e VI pares cranianos e do nervo óptico. As causas mais comuns são inflamatórias (Síndrome de Tolosa- Hunt), seguida dos tumores, aneurismas, fístula carótido-cavernosa e, menos frequentemente, tromboflebite(2).

Pelo antecedente de uso de drogas injetáveis declarado pelo paciente, solicitamos sorologia para HIV, a qual foi negativa.

Ao exame o paciente apresentava-se toxemiado, com sinais de irritação meníngea (rigidez de nuca), fato que nos levou a solicitar análise de líquor. O exame de líquor em pacientes com trombose de seio cavernoso geralmente apresenta características de reação meníngea asséptica; o líquor apresenta-se ligeiramente turvo, contendo poucas centenas de leucócitos. Geralmente o conteúdo de glicose do líquor é normal e as culturas são estéreis, a não ser que se tenha desenvolvido uma meningite bacteriana(8). Em nosso caso, mesmo com a cultura negativa, a suspeita clínica indicou o tratamento para meningite.

O paciente apresentava pupila com média midríase à esquerda, com reflexos direto e consensual de 1+/4+ à esquerda. Esse fato demonstra o comprometimento da via parassimpática do reflexo fotomotor pupilar, o qual segue o ramo inferior do III nervo.

Quanto à visão cromática, o paciente não distinguia verde/vermelho em ambos os olhos, e, posteriormente, evoluiu com pupila de Marcus-Gunn e baixa acuidade visual no olho esquerdo, demonstrando o comprometimento parcial do nervo óptico à esquerda.

O diagnóstico de trombose do seio cavernoso é eminentemente clínico e seu prognóstico é diretamente influenciado pelo tratamento precoce adequado(9). Após a suspeita clínica, solicitamos exames de imagem para confirmação diagnóstica, sendo o exame de escolha a ressonância nuclear magnética (RNM), seguida da angiorressonância de crânio(1).

Quanto ao tratamento, optamos por antibioticoterapia de amplo espectro (vancomicina, ceftriaxona e metronidazol) pela gravidade do caso e pela associação com meningite bacteriana. Optamos pelo uso de corticosteróides para o tratamento da hipertensão intracraniana ocasionada pela meningite, inibindo a secreção do fluido cérebro-espinhal e, assim, reduzindo o edema vasogênico associado à estase venosa e infarto(1). O uso de anticoagulantes é controverso; sugere-se que, se usado precocemente, levaria a benefícios maiores do que riscos (hemorragia cerebral)(1). Heparina deve ser usada por um certo período e warfarin deve ser instituído no início da terapia, junto com a heparina, a qual deve ser descontinuada quando adequada anticoagulação for atingida com warfarin (3 a 5 dias) por causa do aparecimento da doença tromboembólica paradoxal, causada pela trombocitopenia induzida pela heparina. Warfarin deve ser continuado por um a três meses ou até o estado trombolítico ceder(1).

Antes da era dos antibióticos, a trombose do seio cavernoso era invariavelmente fatal. Atualmente, com o uso dos antibióticos, a taxa de mortalidade é de aproximadamente 20%. Mais da metade dos sobreviventes apresentam algum déficit residual, sendo estes severos em cerca de 13%. São eles: oftalmoplegia em graus variados, hiperestesia em área da primeira divisão do V nervo e vários graus de prejuízo visual, incluindo cegueira em um ou ambos os olhos(1).

Dessa forma, os autores enfatizam a importância da drenagem venosa da órbita, onde uma infecção superficial da pele periorbitária pode levar a uma trombose séptica de seio cavernoso pela comunicação direta existente entre a drenagem venosa da face e o seio cavernoso.

 

 


 

 

REFERÊNCIAS

1. Schutta HS. Cerebral venous thrombosis. In: Joynt RJ, editor. Clinical neurology. Philadelphia: J. B. Lippincott; 1993. p.1-51.         

2. Lana MA, Barbosa AS. Síndrome do seio cavernoso: estudo de 70 casos. Arq Bras Oftalmol 1998;61:635-9.         

3. Simon RP. Infecções e distúrbios do sistema nervoso. In: Gill GN, Kokko JP, Mandell GL, Ockner RK, Smith TW, editors. Tratado de Medicina Interna. Rio de Janeiro: Guanabara Koogan; 1997. p.2299-300.         

4. Amaral KS, Tosta ED. Trombose venosa cerebral. In: Gagliardi RJ, editor. Doenças cerebrovasculares: condutas ¾ volume I. São Paulo: Sociedade Brasileira de Doenças cardiovasculares; 1996. p.219-41.         

5. Machado A. Meninges ¾ líquor. In: Machado A, editor. Neuroanatomia funcional. São Paulo: Atheneu; 1998. p.75-86.         

6. Moreira ATR, Ruthes HI, Guerra DR, Carvalho ACA. Paresia bilateral assimétrica de nervo troclear associada a trombose de seio transverso pós-otite. Arq Brás Oftalmol 2001;64:153-5.         

7. Tripathi RC, Chalam KV, Cibis GW, Kardon RH, Tripathi BJ, Kuiji FJGM, et al. Fundamental principles of ophthalmology. San Francisco: American Academy of Ophthalmology, 1999.         

8. Fishmon RA. Cerebral veins and sinusites. In: Rowland LP, editor. Merritt´s Neurology. Philadelphia: Lippincott Williams & Wilkins; 2000. p.268-71.         

9. Dini LJ, Sonda I, Saraiva GA, Saraiva GA, Corso RJ, Almeida FO, Gallo P. Trombose séptica do seio cavernoso: relato de seis casos. Arq Neuropsiquiatr 1999;57(3A):643-8.         

 

 

1 Residente do Departamento de Oftalmologia da Universidade de Mogi das Cruzes.
2 Chefe do serviço de Oftalmologia da Universidade de Mogi das Cruzes.
3 Chefe do Setor de Neuroftalmologia e Órbita do Departamento de Oftalmologia da Universidade de Mogi das Cruzes.
4 Chefe do Setor de Neuroftalmologia e Órbita do Departamento de Oftalmologia da Universidade de Mogi das Cruzes.

Endereço para correspondência: Rua Arnaldo João, 83 - São Paulo (SP) CEP 03660-000.
E-mail: [email protected]
Recebido para publicação em 17.09.2001
Aceito para publicação em 12.12.2001

Nota Editorial: Pela análise deste trabalho e por sua anuência na divulgação desta nota, agradecemos ao Dr. Luis Paves.


Dimension

© 2026 - All rights reserved - Conselho Brasileiro de Oftalmologia