Arq. Bras. Oftalmol. 2003; 66 (5): 10.1590/S0004-27492003000500021
Total: 1792
Daniel Ramos Parente1; Maria Rosa Bet de Moraes Silva2; Raimundo Gerônimo da Silva Júnior; Mariângela de Alencar Marques3
DOI: 10.1590/S0004-27492003000500021
RESUMO
OBJETIVOS: Comparar em coelhos três modelos experimentais de destruição das células germinativas (CG) do limbo corneano quanto a aspectos morfológicos. MÉTODOS: Foram utilizados 54 coelhos, 108 olhos, subdivididos em 3 grupos experimentais: (G1), (G2) e (G3), formados por 18 coelhos cada, que tiveram o OE submetido às técnicas experimentais (T1), (T2) e (T3), respectivamente, e um grupo controle, formado por 54 olhos contralaterais (OD) dos coelhos do G1, G2 e G3. Quatro parâmetros morfológicos foram estudados: epitélio, resposta inflamatória, vascularização e resposta fibroblástica. RESULTADOS: Com a T1 não houve remoção da totalidade do epitélio límbico, com a T2 houve remoção da quase totalidade do epitélio límbico, com a T3 houve remoção da totalidade do epitélio límbico. A reparação da superfície corneana foi feita por epitélio de fenótipo conjuntival (conjuntivalização) com as três técnicas, havendo aparecimento de células caliciformes a partir do 14º dia, sendo a densidade maior no 28º dia. A resposta inflamatória com a T3 foi mais intensa que com a T1 e T2. A regressão foi mais rápida com a T1 e similar com a T2 e T3. Contribuiu para a turvação corneana principalmente no 14º e 28º dia, concentrando-se, principalmente, na metade estromal anterior, sendo poupada a metade posterior. Foi maior até o 28º dia, decrescendo a partir desse momento. Caracterizou-se, no início, por infiltrado com predomínio de polimorfonucleares e sofreu mudança no 56º dia para infiltrado com predomínio de mononucleares. Os neovasos apareceram a partir do 7º dia, a princípio permearam o estroma do terço médio para cima, progredindo para a superficialização com a regressão do edema estromal. A vascularização com as três técnicas, ao final do experimento, foi superficial no estroma, porém não houve a formação de tecido fibro-escleroso denso ou cicatriz propriamente dita distinta do estroma corneano. CONCLUSÕES: Ocorreu conjuntivalização e neovascularização nas três técnicas experimentais. As T2 e T3 mostraram-se adequadas como possíveis modelos de ampla remoção das CG límbicas, levando a resultados similares nos diversos parâmetros estudados. A T1 se mostrou adequada como modelo de remoção parcial do epitélio límbico.
Descritores: Limbo da córnea; Células germinativas; Epitélio da córnea; Células-tronco; Neovascularização da córnea; Coelhos
ABSTRACT
PURPOSE: To compare three experimental models of limbal stem cell (SC) removal in rabbits in relation to morphologic aspects. METHODS: In the present study, 54 rabbits (108 eyes) were divided into 3 experimental groups - (G1), (G2) and (G3). Each group consisted of 18 rabbits whose left eyes were submitted to 3 different experimental techniques - (T1), (T2) and (T3), respectively. A control group was formed with the 54 remaining eyes (RE) of the G1, G2 and G3 rabbits. Four morphological parameters were assessed: epithelium, inflammatory response, vascularization and fibroblastic response. RESULTS: The limbal epithelium was not completely removed by T1, was almost totally removed by T2, and thoroughly removed by T3. Corneal surface was healed by conjunctival phenotype (conjunctivalization) in the three groups. Goblet cells started to appear on days 14 and their density peaked on day 28. The inflammatory response was more intense in G3 than in G1 and G2. Regression was faster in G1 and similar in G2 and G3 contributing to corneal opacity specially on days 14 and 28. It was mainly concentrated at the stromal anterior half, whereas the posterior half was spared. It peaked on day 28 and decreased from that moment on. In the beginning, it was characterized by a predominantly polymorphonuclear infiltrate, which, on day 56, changed to mononuclear. The new vessels started appearing on days 7. At first, they permeated the stromal upper half and progressed toward the surface as the stromal edema decreased. In the three groups, at the end of the experiment, vascularization was superficial in the stroma; but no thick sclerotic-fibrous tissue nor actual scars, distinct from the corneal stroma, were formed. CONCLUSIONS: Conjunctivalization and neovascularization occurred in all experimental models. T2 and T3 seemed to be adequate models for the removal of limbal SC and most studied parameters showed similar results. T1 was found to be an adequate model for the partial-thickness removal of limbal SC.
Keywords: Limbus corneae; Germ cells; Epithelium corneal; Stem cells; Corneal neovascularization; Rabbits
INTRODUÇÃO
Células germinativas (CG) são células imaturas, cuja função é a reposição da massa total de células dos tecidos com capacidade de regeneração(1). Na superfície ocular, as CG para reposição do epitélio corneano, se localizam na região límbica. A comprovação dessa localização para as CG representou o maior avanço feito nas últimas décadas no estudo da biologia da superfície ocular(2). Esse achado ajudou a explicar várias evidências clínicas e experimentais da reparação da superfície ocular, até então paradoxais. Ajudou na melhor compreensão da fisiopatologia de muitas doenças que afetam essa superfície e, portanto, facilitou a proposição de vários procedimentos terapêuticos para essas patologias(2).
A lesão do epitélio corneano tem a capacidade de exercer uma resposta proliferativa também sobre o epitélio conjuntival. Em circunstâncias normais, não ocorre a migração de células conjuntivais sobre a córnea devido à pressão inibitória exercida pelo funcionamento das CG límbicas. Essa ação normal do epitélio límbico serve, pois, de barreira entre o epitélio corneano e o tecido conjuntival, que assegura, em situações de trauma, a reposição do epitélio corneano seguindo o processo normal de regeneração. Em casos de disfunção severa, destruição total ou aplasia das CG, há quebra da barreira límbica e a restauração do epitélio lesado ocorre pelo recobrimento da córnea com epitélio de fenótipo conjuntival ("conjuntivalização") e pelo crescimento de tecido fibrovascular abaixo deste epitélio ("neovascularização")(1-3) .
As CG são susceptíveis de várias doenças, que acometem a superfície ocular, resultantes de alteração do epitélio, do filme lacrimal ou das pálpebras, que podem comprometer severamente a capacidade da superfície corneana em manter-se transparente, ocasionando, muitas vezes, graves seqüelas e conseqüente prejuízo à visão e ao conforto ocular. O que se mostra comum nessas doenças são alterações da superfície ocular decorrentes do processo de conjuntivalização e neovascularização da córnea, ocasionalmente, associadas à formação de granulomas e ulcerações corneanas.
Vários modelos de disfunção das CG límbicas(4-8) têm sido propostos para simular as alterações encontradas nas diversas doenças que afetam a superfície ocular, de forma a servir como meio para melhor estudá-las. Um modelo de destruição das CG deve proporcionar obtenção de conjuntivalização e neovascularização em alto percentual de córneas operadas, deve ser reprodutível e, de preferência, ter fácil execução. As alterações provocadas devem ser superficiais na córnea, de forma a permitir a correlação com as alterações provocadas pelas doenças da superfície ocular. O modelo deve estimular a neovascularização, a turvação corneana, a conjuntivalização e outras alterações similares às vistas nessas doenças, muito embora deva considerar-se a existência de dificuldades em se compararem modelos em animais com doenças humanas, devido às diferenças anatômicas e histológicas inerentes a cada espécie.
Desta forma resolvemos estudar em coelhos três modelos experimentais de destruição das CG do limbo corneano, baseados na literatura: remoção dos epitélios corneano e límbico (T1)(4-5) remoção dos epitélios corneano e límbico e do tecido límbico subepitelial (T2)(6) e remoção do epitélio corneano e dissecção lamelar do limbo (T3)(7-8), quanto a aspectos morfológicos.
MÉTODOS
Foram utilizados 54 coelhos, 108 olhos, subdivididos em 3 grupos experimentais: (G1), (G2) e (G3), formados por 18 coelhos cada, que tiveram o OE submetido às técnicas experimentais (T1), (T2) e (T3), respectivamente, e um grupo controle, formado por 54 olhos contralaterais (OD) dos coelhos do G1, G2 e G3(9).
Nas três técnicas foi utilizado o n-Heptanol. Na T1, o n-Heptanol foi aplicado por 5 minutos, para remoção do epitélio límbico. Na T2, além da aplicação do n-Heptanol, realizou-se peritomia da conjuntiva perilímbica até 4 mm do limbo, juntamente com a escarificação do tecido episcleral. Na T3, além dos procedimentos da T2, foi realizada dissecção lamelar do limbo abrangendo aproximadamente 1,5 mm na periferia da córnea e 2 mm na superfície escleral. A descrição das técnicas experimentais foi feita em outro trabalho(9).
Três coelhos foram sacrificados para exame histopatológico nos momentos experimentais: 1º dia, 7º dia, 14º dia, 28º dia, após a realização das técnicas experimentais, sendo os demais seis coelhos sacrificados ao término do experimento no 56º dia.
Quatro parâmetros morfológicos foram estudados: epitélio, resposta inflamatória, vascularização e resposta fibroblástica. O estudo desses parâmetros foi feito utilizando-se dois tipos de coloração, Hematoxilina-Eosina (HE) e Periodic Acid-Schiff (PAS). Foi feita análise descritiva dos cortes histológicos. As figuras 1 e 2 apresentam esquemas representativos da remoção da peça para exame histopatológico e da remoção das fitas de cada quadrante, respectivamente.


RESULTADOS
Descrição dos cortes histológicos dos olhos controle
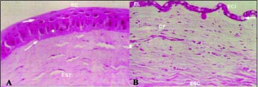
No epitélio corneano, composto, em média, por quatro a cinco camadas celulares, percebeu-se claramente a regularidade de sua espessura. Tratava-se de epitélio pavimentoso não queratinizado, cujas células variaram de morfologia nas três camadas: camada basal, de células mais "alongadas"; camada média de células poliédricas, e camada superficial, de células achatadas (Fig. 3A).
A membrana basal foi vista como uma fina linha logo abaixo da camada basal, sendo melhor percebida nos cortes histológicos corados pelo PAS (Fig. 3A).
Quatro a cinco camadas de células poliédricas foram percebidas no epitélio conjuntival. Contaram-se, em média, 10 células caliciformes por campo de grande aumento (400X), dispersas superficialmente entre as demais células epiteliais. Apesar do mesmo número de camadas, o epitélio conjuntival mostrou-se menos espesso que o epitélio corneano (Fig. 3B).
Na região límbica, percebeu-se aumento da espessura do epitélio, que passou a apresentar, em média, 6 a 7 camadas de células. As células epiteliais do limbo não apresentaram, em suas camadas, uma mudança de morfologia tão evidente quanto às células do epitélio corneano, caracterizando um padrão intermediário entre o epitélio conjuntival e o epitélio corneano. Não se observaram células caliciformes. A transição desses epitélios foi facilmente percebida pela mudança de características da disposição das células de cada epitélio (Fig. 3C).
Um tecido conjuntivo frouxo permeado de vasos foi percebido logo abaixo do epitélio conjuntival, estendendo-se em direção ao limbo. À medida que se aproximou da córnea, foi-se tornando menos espesso, até que se deteve um pouco antes da transição córneo-escleral. Parte do epitélio límbico se apoiava diretamente sobre o leito córneo-escleral, sem o aporte vascular (Fig. 3D).
A uniformidade da espessura estromal, da compactação e padrão de suas lamelas e da densidade das células estromais nos cortes histológicos foi evidente (Fig. 3A,C,D). Não foram vistos vasos no estroma da córnea ou células inflamatórias. A transição do estroma corneano para a esclera foi facilmente distinguida pela característica disposição das fibras de cada tecido. Essa transição se deu de forma oblíqua, sendo que, mais superficialmente, ela foi mais anteriorizada (voltada em direção ao centro da córnea) e, profundamente, o oposto (Fig. 3D). A membrana de Descemet estava presente sobre o endotélio, que era formado por uma camada de células.
Descrição dos cortes histológicos no 1º dia
O epitélio corneano estava ausente nas três técnicas. A membrana basal foi vista no PAS como uma fina linha contínua (Fig. 4D). O epitélio límbico foi apenas parcialmente removido na T1, notando-se ausência das camadas superficiais, com suas células achatadas em todos os quadrantes corneanos (Fig. 4A). Na T2, o epitélio límbico foi mais amplamente removido. Em alguns quadrantes corneanos esse epitélio foi totalmente removido, sendo que, em outros, houve persistência da camada basal, apenas (Fig. 4B). Não houve um quadrante específico onde as células basais do epitélio límbico mais persistiram. Na T3, a localização límbica da dissecção lamelar foi claramente percebida em todos os cortes histológicos. Nas bordas da região removida, observou-se uma margem anterior no estroma corneano íngreme e uma margem posterior, mais oblíqua. A profundidade de tecido removido foi semelhante nas secções observadas, alcançando entre um terço e meia espessura da córnea e esclera (Fig. 4C).
Na T1, o epitélio conjuntival próximo à região límbica foi removido, estando presente apenas mais distalmente; abaixo, o tecido conjuntivo frouxo foi preservado. Na T2, o epitélio conjuntival estava ausente, bem como a parte superficial do conjuntivo frouxo subepitelial. Na T3, foi evidente que na área dissecada todos os tecidos acima (epitélios corneano, límbico, conjuntival e conjuntivo frouxo) foram removidos.
A resposta inflamatória no estroma corneano foi ausente nos três grupos, assim como não ocorreu vascularização corneana e/ou resposta fibroblástica. Descemet e endotélio não apresentaram alterações (Fig. 4A, B, C).
Descrição dos cortes histológicos no 7º dia
Na T1, o epitélio regenerativo já havia recoberto a córnea na maioria dos cortes histológicos. Tratava-se de um epitélio regenerativo, cujas células tiveram, nas suas camadas, formato poliédrico uniforme e se caracterizaram por apresentar núcleos mais volumosos, presença de nucléolos, cromatina frouxa e citoplasma escasso. A espessura foi irregular. Na periferia corneana foi mais espesso, apresentando 4 a 5 camadas, diminuindo à medida que se dirigiu à região central, onde apresentou, em média, 3 camadas celulares, porém podendo haver apenas uma camada (Fig. 5A,B). Na T2, a reepitelização corneana se deu parcialmente por meio do crescimento de epitélio regenerativo, cujo aspecto das células foi, para este momento, similar ao do grupo anterior. A maioria dos cortes histológicos mostrou que a região central da superfície corneana não estava recoberta pelo epitélio (Fig. 5C). O quadrante inferior apresentou-se mais epitelizado e o superior menos. Praticamente, não ocorreu a reepitelização corneana na T3, apenas um início de epitelização corneana foi percebida na periferia (Fig. 5D).
A espessura do epitélio límbico estava praticamente refeita na T1, parcialmente refeito na T2 e variável de corte para corte na T3 (praticamente refeito em poucos cortes histológicos, parcialmente refeito na maioria e ausente em alguns). O epitélio conjuntival perilímbico já estava refeito e não apresentou células caliciformes nos três grupos. Nesse momento, nos dois epitélios, não foram observadas células caliciformes.
A resposta inflamatória caracterizou-se, principalmente, por comprometer o estroma superficial, poupando o estroma profundo. Foram observados infiltrado inflamatório, constituído, predominantemente, por polimorfonucleares, e edema estromal, leve na T1, moderado na T2 e intenso na T3 (Fig. 5A,B,C,D).
Nas T1 e T2, vascularização corneana periférica discreta foi observada na maioria dos cortes em todos os quadrantes, sendo mais acentuada nos quadrantes superior e inferior e menor nos quadrantes nasal e temporal. Na T3, a vascularização foi observada em fase inicial, em poucos cortes histológicos, principalmente no quadrante superior (Fig. 5D).
A resposta fibroblástica estava presente na região límbica, tendo sido predominantemente leve em T1, predominantemente moderada em T2, de forma moderada a intensa em T3 (Fig. 5D).
Descrição dos cortes histológicos no 14º dia
O epitélio regenerativo, agora, já recobriu toda a superfície corneana, também na T2, sendo, em T3 variável, e passou a apresentar características de padrão conjuntival (Fig. 6A,B,).

Houve surgimento de células caliciformes nesse epitélio. Na T1, em alguns cortes, essas células estiveram presentes apenas na região periférica do epitélio da córnea e no epitélio do limbo, enquanto, em outras, estiveram presentes também na região central do epitélio regenerativo, porém, com densidade variável, maior na periferia onde foram observadas até 12 células por campo de maior aumento (400X), diminuindo à medida que alcançaram a região central, onde foram observadas até 6 células. Na T2, em alguns cortes, essas células estiveram presentes apenas na região periférica do epitélio da córnea e no epitélio do limbo. Na maioria dos cortes histológicos, alcançaram até a região paracentral e em apenas um corte histológico puderam ser percebidas na região central do epitélio da córnea, sugerindo um aparecimento mais lento, quando comparado ao G1. A distribuição das células caliciformes no epitélio regenerativo foi variável, maior na periferia, onde se perceberam até 12 células por campo de maior aumento (400X), diminuindo à medida que alcançaram a região central, onde se perceberam até 2 células. Na T3, o surgimento de células caliciformes ocorreu apenas no epitélio límbico e no setor periférico do epitélio regenerativo, estando ausente mais centralmente (Fig. 6A,B).
A resposta inflamatória no estroma corneano foi, em geral, discreta na T1, variou de discreta a moderada na T2 e na T3, variou de discreta a intensa. Houve um aumento da espessura do estroma corneano devido ao edema principalmente superficial nas três técnicas. O estroma profundo, 2/3 posteriores, praticamente estava preservado.
A vascularização corneana progrediu em direção ao centro da córnea. Localizou-se desde logo abaixo do epitélio, até cerca de metade da espessura do estroma da córnea. Chamou atenção a progressão variável da vascularização: em alguns cortes histológicos foram vistos vasos já atingindo a região paracentral, enquanto em outros atingiram até a região periférica. Em T3, na maioria dos cortes histológicos, foram vistos vasos já atingindo a região paracentral.
Nas T1 e T2, a resposta fibroblástica estava presente apenas na região límbica com intensidade variável; em média, porém, maior que no momento precedente e nos coelhos do G2 em relação a G1. Na T3, foi intensa e, nesse momento, já estava presente não somente na região límbica como também no setor periférico da córnea.
Descrição dos cortes histológicos no 28º dia
O epitélio que recobriu a córnea manteve as mesmas características já mencionadas para o momento precedente nos três grupos. Chamou atenção a presença de células caliciformes que, nesse momento, se encontraram com densidade máxima nas três técnicas (Fig. 7). Estiveram presentes em todas as re giões da superfície ocular, desde o epitélio conjuntival, passando pelo epitélio límbico, até nas áreas centrais do epitélio que recobriu a córnea. A densidade das células comportou-se como já mencionado: cerca de 12 células/campo de maior aumento (400X) no limbo e nas regiões periféricas do epitélio da córnea e cerca de 6 células/campo no centro. Além da característica irregularidade da espessura do novo epitélio, perceberam-se, também, algumas falhas (pontos de ausência de epitélio), provavelmente correspondentes às lesões puntatas observadas clinicamente, com menos freqüência em T1, intermediárias em T2 e mais freqüentes em T3.

A inflamação regrediu em relação ao momento precedente na T1(Fig. 7A,B), enquanto na T2 e T3 atingiu seu pico máximo (Fig. 7C). O edema corneano e o infiltrado de células inflamatórias ausentes ou discretos na T1, moderados ou intensos na T2 e T3, estando, nestes casos, situados apenas no terço estromal mais superficial (Fig. 7A,C).
A vascularização corneana progrediu algo mais; sem atingir, no entanto, a região central da córnea na T1, sendo percebida na maior parte dos cortes histológicos (quadrantes), atingindo o centro da córnea na T2 e T3. Com a redução do edema, tornou-se mais superficial, localizando-se apenas no terço superficial.
A resposta fibroblástica acompanhou a proliferação vascular, ultrapassou a região límbica, sendo percebida também na região periférica da córnea na T1. Na T2, foi mais visível na região periférica, tornando-se esparsa à medida que se aproximou da região central. Na T3, foi percebida, algumas vezes, até mesmo junto aos vasos mais centrais.
Descrição dos cortes histológicos no 56º dia
O padrão do epitélio que recobriu a córnea se manteve similar aos encontrados nos dois momentos anteriores, porém, embora tenha havido uma redução significativa em sua densidade, as células caliciformes continuaram presentes nas três técnicas.
Nas três técnicas, o infiltrado inflamatório persistiu, porém, em menor intensidade, principalmente nas proximidades dos vasos. Observaram-se células inflamatórias, predominantemente mononucleares, nas proximidades dos vasos. O edema foi mínimo ou ausente.
A vascularização foi percebida, permeando o estroma superficial, logo abaixo do epitélio. Atingiu até a região paracentral na T1, até a região central na T2 e T3.
A resposta fibroblástica que acompanhou os vasos também foi percebida, atingindo até a região paracentral na T1, atingindo até a região central na T2 e T3.
Nas três técnicas, a resposta fibroblástica reparativa e a proliferação vascular permearam no terço estromal superficial, sem, contudo, haver evidência histológica da formação de tecido fibro-escleroso denso ou cicatriz propriamente dita (Fig. 8).

DISCUSSÃO
O exame histopatológico, utilizando as colorações de HE e PAS, permitiu o estudo adequado dos tecidos em sua totalidade, quanto aos parâmetros previamente estabelecidos. A superfície epitelial ocular também poderia ser avaliada pela citologia de impressão(10-12) e pela microscopia confocal(13).
A remoção da totalidade do epitélio corneano ocorreu em todos os grupos experimentais. Foi mantida intacta a membrana basal, essencial para promover uma adesão mais rápida com as células regenerativas(1-2), está de acordo com outros autores(4). O epitélio conjuntival foi removido completamente nas três técnicas experimentais. O epitélio do limbo só foi completamente removido nos coelhos do G3 e está de acordo com a literatura(7,14-15). Nos demais grupos, permaneceram células desse epitélio. Interessante perceber também que, na T1, houve a remoção completa dos epitélios corneano e conjuntival e apenas parcial do epitélio límbico, sugerindo uma maior adesão celular nesse epitélio em comparação aos demais, conforme já foi observado na literatura(1).
As diferenças de velocidade de reepitelização entre os grupos foram claramente percebidas nos cortes histológicos do 14º dia. O epitélio regenerativo passou a apresentar gradualmente um padrão de epitélio conjuntival, assim como mencionado por outros autores(5-6). A partir do 14º dia, foram percebidas células caliciformes, que atingiram uma densidade máxima no 28º dia, o que foi compatível com outros estudos(5-6). As células do epitélio regenerativo apresentaram um formato poliédrico com grande variação de tamanho entre células vizinhas. A espessura do epitélio regenerativo foi irregular. Não ocorreu a variação da morfologia celular entre as camadas, característica do epitélio corneano normal. Outros autores(13) também referiram grande variação de tamanho e morfologia das células regenerativas em caso de deficiência das CG.
A resposta inflamatória inicial foi caracterizada por infiltrado inflamatório com predomínio de polimorfonucleares e edema do estroma corneano, que acometeram apenas a metade estromal superficial e pouparam a metade estromal profunda. O estroma tornou-se bastante espesso às custas do edema. A resposta inflamatória foi máxima a partir do 7º dia, permanecendo constante até o 28º dia, no G2 e G3. A partir desse momento, houve significativa redução na densidade do infiltrado inflamatório e do edema estromal. No G1, essa redução foi mais rápida, já a partir do 14º dia. Com a cronificação do processo, a resposta inflamatória sofreu mudança nas características do infiltrado, passando a predominar células mononucleares, no 56º dia. Outros autores(15) haviam mencionado, aumento da inflamação com a cronificação do processo.
Outros trabalhos(2,7-8) mencionaram, em seus modelos, um padrão de neovascularização superficial. A descrição da vascularização corneana feita em outro trabalho(16), entre 2 e 6 semanas após a remoção das CG, foi similar à nossa. Por outro lado, outros autores(13) mencionaram, com 2 meses de evolução, a ocorrência de neovasos em todos os níveis de profundidade, desde abaixo do epitélio até o estroma profundo. A vascularização veio acompanhada por quantidade variável de resposta fibroblástica, porém sem a formação de tecido fibro-escleroso denso ou cicatriz propriamente dita, o que poderia vir a ocorrer em momentos futuros.
Não somente os modelos mecânicos associados ao n-Heptanol, mas também modelos de queimadura química com NaOH 1 mol-1 tem sido utilizados(11,17) para produção de córneas vascularizadas, revelando-se reprodutíveis e provocando lesões à superfície ocular de modo homogêneo. Entretanto, há de se questionar em tais modelos, o potencial maior de dano aos tecidos mais profundos, estroma corneano profundo e, talvez, câmara anterior, ocasionada pela penetração do agente pelos tecidos oculares.
Para explicar o motivo da obtenção, também na T1, do percentual mais elevado de córneas vascularizadas e conjuntivalização, em nosso experimento, poderíamos supor que o tempo de aplicação do n-Heptanol (5 minutos) maior quando comparado a outros experimentos(5,18), que aplicaram o n-Heptanol por 1 minuto(5) e 30 segundos(18), resultou, provavelmente, em uma maior remoção das CG. Poderíamos supor, ainda, que o residual das CG nessa técnica foi inferior ao limite mínimo necessário para manutenção da barreira límbica frente à demanda regenerativa aumentada, ocasionada pela remoção de todo o epitélio corneano. Isso está de acordo com outros trabalhos(2,14), que apontaram poderem a deficiência e/ou disfunção límbica também resultar em vascularização. Contrariando, em parte, o que foi dito(7), obtivemos um padrão de regularidade na obtenção de córneas neovascularizadas e conjuntivalizadas não só com a dissecção lamelar do limbo (T3), mas também com a peritomia e escarificação do limbo (T2). A similaridade dos resultados obtidos com as duas técnicas (T2 e T3) pode ser explicada pelo fato de a escarificação do limbo proporcionar também remoção substancial do epitélio límbico e de suas CG.
REFERÊNCIAS
1. Cotsarelis G, Cheng SZ, Dong G, Sun TT, Lavker RM. Existence of slow-cycling limbal epithelial basal cells that can be preferentially stimulated to proliferate: implications on epithelial stem cells. Cell 1989;57:201-9,.
2. Tseng SCG. Regulation and clinical implications of corneal epithelial stem cells. Mol Biol Rep 1996;23:47-58.
3. Huang AJW, Tseng SCG. Corneal epithelial wound healing in the absence of limbal epithelium. Invest Ophthalmol Vis Sci 1991;32:96-105.
4. Cintron C, Hassinger L, Kublin CL, Friend J. A simple method for the removal of rabbit corneal epithelium utilizing n-Heptanol. Ophthalmic Res 1979;11:90-6.
5. Shapiro MS, Friend J, Thoft RA. Corneal re-epithelialization from the conjunctiva. Invest Ophthalmol Vis Sci 1981;21:135-42.
6. Tseng SCG, Hirst LW, Farazdaghi M, Green WR. Goblet cell density and vascularization during conjunctival transdifferentiation. Invest Ophthalmol Vis Sci 1984;25:1168-76.
7. Kruse FE, Chen JJY, Tsai RJF, TsEng SCG. Conjunctival transdifferenctiation is due to the incomplet removal of limbal basal epithelium. Invest Opthalmol Vis Sci 1990;31:1903-13.
8. Tsai RJF, Sun TT, Tseng SCG. Comparison of limbal and conjunctival autograft transplantation in corneal surface reconstruction in rabbits. Ophthalmology 1990;97:446-55.
9. Parente DR, Silva MRBM, Silva Júnior RG, Marques MAA. Modelos experimentais de deficiência limbar em coelhos análise clínica. Arq Bras Oftalmol 2002;65:153-60.
10. Puangsricharem V, Tseng SCG. Cytologic evidence of corneal diseases with limbal stem cell deficiency. Ophthalmology 1995;102:1476-85.
11. Tsubota K, Kajiwara K, Ugajin S. Conjunctival brush cytology. Acta Cytol 1990;34:233-5.
12. Marinho DR, Lima ALH, Kwitko S, Kirst M, Mársico J, Roehe D. Corneal epithelial healing in rabbit eyes with partial corneal-conjunctival and conjunctival limbal deficiency. Arq Bras Oftalmol 1998;61:525-38.
13. Cho B-J, Djalilian AR, Holland EJ. Tandem scanning confocal microscopic analysis of differences between epithelial healing in limbal stem cell deficiency and normal corneal reepithelialization in rabbits. Cornea 1998;17:68-73.
14. Huang AJW, Tseng SCG. Corneal epithelial wound healing in the absence of limbal epithelium. Invest Ophthalmol Vis Sci 1991;32:96-105.
15. Tsai RJF, Tseng SCG. Effect of estromal inflammation on the outcome of limbal transplantation for corneal surface reconstrution. Cornea 1995;14:439-49.
16. Thoft RA, Friend J, Murphy HS. Ocular surface epithelium and corneal vascularization in rabbits. Invest Ophthalmol Vis Sci 1979;18:85-92.
17. Rymer S, Burnier M, Marinho D, Kwitko S, Belfort Júnior R, Rohe D. Transplante autólogo de limbo conjuntival e de limbo córneo-conjuntival no tratamento das queimaduras químicas oculares em coelhos. Arq Bras Oftalmol 2002;65:161-70.
18. Kinoshita S, Friend J, Thoft RA. Biphasic cell proliferation in transdifferentiation of conjunctival to corneal epithelium in rabbits. Invest Ophthalmol Vis Sci 1983;24:1008-14.
Endereço para correspondência
Maria Rosa Bet de Moraes Silva
DEP. OFT/ORL/CCP - Faculdade de Medicina de Botucatu - UNESP
Botucatu (SP) CEP 18618-000
E-mail: [email protected]
Recebido para publicação em 03.10.2002
Aceito para publicação em 07.04.2003
How to cite this article: