Ozgun Melike Gedar Totuk1; Nesrin Aldroubı2; Umit Aykan3
DOI: 10.5935/0004-2749.20190061
ABSTRACT
Pseudotumor cerebri syndrome is puzzling because it results in elevated intracranial pressure with no identifiable underlying cause. Ocular motor nerve palsies, other than a unilateral or bilateral sixth cranial nerve palsy, are rarely seen in patients with this condition. We report here on a 25-year-old female patient with bilateral fourth cranial nerve palsy caused by pseudotumor cerebri syndrome, whose ocular and systemic signs and symptoms of nerve palsy were completely resolved after medical treatment. We infer that fourth nerve palsy could be associated with pseudotumor cerebri syndrome; therefore, clinicians should consider rare ocular motor nerve palsies, even bilaterally, in patients with pseudotumor cerebri syndrome.
Keywords: Pseudotumor cerebri/complications; Trochlear nerve diseases; Cranial nerve diseases; Diplopia; Intracranial pressure; Case reports
RESUMO
A sindrome do pseudotumor cerebral é uma síndrome enigmática caracterizada por aumento da pressão intracraniana sem causa definida. Na síndrome do pseudotumor cerebral, as paralisias de nervo oculomotor além da paralisia unilateral ou bilateral do sexto nervo craniano são raramente vistas. Nós reportamos o caso de uma paciente feminina de 25 anos com paralisia bilateral de quarto nervo craniano como resultado da síndrome do pseudotumor cerebral. Após tratamento médico para síndrome do pseudotumor cerebral, os sinais e sintomas oculares e sistêmicos da paralisia nervosa foram resolvidos. Em conclusão, a paralisia de quarto nervo craniano pode estar associada com síndrome de pseudotumor cerebral, portanto médicos devem considerar paralisias raras de nervo oculomotor, mesmo bilateralmente, em pacientes com síndrome do pseudotumor cerebral.
Descritores: Pseudotumor cerebral/complicações; Doenças do nervo troclear; Doenças dos nervos cranianos; Diplopia; Pressão intracraniana; Relatos de casos.
INTRODUCTION
Pseudotumor cerebri syndrome (PTCS) is defined as elevated intracranial pressure (ICP) without a clearly identified underlying cause. It is associated with non-localizing neurologic symptoms, other than ocular motor nerve palsies, such as those of the unilateral or bilateral sixth cranial nerve(1).
Bilateral fourth cranial nerve palsy is a rare, ocular motor nerve condition which presents with vertical diplopia, and is usually caused by either a severe head trauma or a congenital origin(2). It is typically characterized by an ipsilateral hypertropia on contralateral gaze associated with 10-15 degrees of excyclotorsion and a V-pattern esotropia(3). We report here a rare case with bilateral fourth nerve palsy due to PTCS.
CASE REPORT
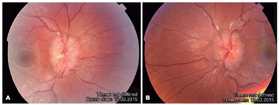
A 25-year-old obese (body mass index: 31.3) woman presented with headache, pulsatile tinnitus, double vision, and transient visual obscurations, all of which had worsened over the last three weeks. The patient’s medical history revealed no head trauma, surgery, or drug use, except for topical vitamin A in connection with acne treatment. In an ophthalmological examination, best corrected visual acuities, pupillary reactions to light and near, as well as the color vision and intraocular pressures, were all normal in each eye. On fundoscopic examination there was a stage 3 moderate papilledema (Figure 1).
In the primary position, we observed esotropia and vertical deviation worsening on downgaze. Bielshowsky’s diagnostic head-tilt test was positive to both the left and right, and there was evidence of bilateral superior oblique muscle weakening on the Hess chart(4) (Figure 2). Optic coherence tomography (OCT) showed severe optic disc swelling, indicating true papilledema (Figure 3). From a computerized visual field examination (VFE) using the Humphrey visual field analyzer, we found a bilateral blind spot enlargement.
08-fig02.jpg)
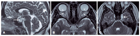
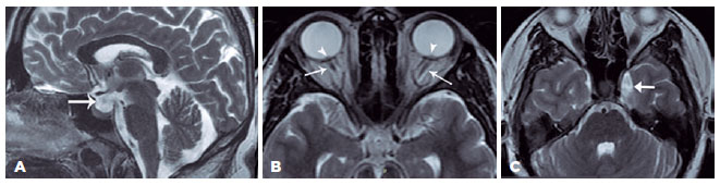
A neurological examination revealed no pathological findings. Cranial magnetic resonance (MR) imaging demonstrated partially empty sella, asymmetric dilatation of the left cavernous sinus, prominent subarachnoid space, and optic disc bulging, suggesting papilledema (Figure 4). MR venography was normal. These imaging results suggest idiopathic elevated ICP in the proper clinical settings. The cerebrospinal fluid (CSF) opening pressure was 310 mmH2O. The patient was diagnosed with PTCS and oral acetazolamide 1 g/day was administered. Visual obscurations, diplopia, and headache improved in two weeks, and tinnitus disappeared completely at six months. Blindspot enlargement on VFE and bilateral papilledema resolved after 2.5 months of treatment (Figure 3).
DISCUSSION
Bilateral fourth nerve palsy is an uncommon ocular motor nerve problem and almost always acquired. The most common etiologies include significant head trauma, any surgical procedure involving the head and neck region, ischemic, degenerative or hemorrhagic intracranial pathologies, intracranial tumors or infections, and hydrocephalus(2-5). Although unilateral or bilateral sixth nerve palsy can be seen in patients with PTCS, there have been few reports on bilateral fourth nerve palsy associated with PTCS(6-9). The present report is also a rare example of PTCS presented with bilateral fourth nerve palsy.
In our present case, PTCS was diagnosed based on signs and symptoms of increased ICP, papilledema on fundoscopy and OCT examinations, and normal findings on cranial neuroimaging and high CSF opening pressure(1). The key diagnostic MR imaging features of the idiopathic intracranial hypertension included normal or decreased size of the ventricular system, partially empty sella, flattening/indentation of the posterior sclera, prominent optic nerve sheaths, and optic nerve tortuosity. Bilateral transverse sinus stenosis is associated with 90% of cases. The differential diagnosis of the disease may include mild cerebral edema, empty sella syndrome, and hypoplastic dural venous sinuses(10).
Binocular, horizontal diplopia, and an esotropia are common PTCS symptoms, which result from a unilateral or bilateral abducens paresis and resolves when ICP is normalized. PTCS may also cause vertical eye movement abnormalities which exhibit with double vision. However, vertical diplopia from a skew deviation or fourth nerve palsy is uncommon(1). In our case, we detected esotropia, vertical deviation, and bilateral superior oblique muscle weakening via the Hess chart, all of which support a diagnosis of bilateral fourth nerve palsy.
Similar to previous reports of fourth nerve palsy due to PTCS, in our case the condition completely resolved with acetazolamide treatment, which reduced the ICP as a nonlocalizing sign of PTCS(4,7,9).
The exact mechanism for the fourth nerve palsy with PTCS is not known, in contrast to the situation with the other cranial nerve palsies in PTCS. However, a raised ICP, along with venous congestion of the parenchyma or ocular motor nerves, have been suggested as possible etiologies of PTCS(7-9,11,12). In the present report, a rare case of PTCS was presented with bilateral fourth nerve palsy without any clear evidence regarding the underlying mechanisms.
The fourth nerve palsy is an uncommon, nonlocalizing sign of PTCS. Further studies are needed to investigate the exact underlying mechanisms and prevalence of cranial nerve palsies in PTCS. Nevertheless, clinicians should consider rare ocular motor nerve palsies, such as the fourth nerve palsy, even bilaterally in patients with PTCS.
REFERENCES
1. Friedman DI. The pseudotumor cerebri syndrome. Neurol Clin. 2014;32(2):363-96.
2. Lee J, Flynn JT. Bilateral superior oblique palsies. Br J Ophthalmol. 1985;69(7):508-13.
3. Mantopoulos D, Hunter DG, Cestari DM. Isolated bilateral fourth cranial nerve palsies as the presenting sign of hydrocephalus. Case Rep Ophthalmol. 2011;2(2):211-4.
4. Armesto A, Ugrin MC, Travelletti E, Schlaen A, Piantanida N. Hess Lancaster screen test with the head tilted: a useful test in the diagnosis of bilateral fourth nerve palsies. Eur J Ophthalmol. 2008;18(2):278-81.
5. Merino PS, Rojas PL, Gómez De Liaño PS, Fukumitsu HM, Yáñez JM. Bilateral superior oblique palsy: etiology and therapeutic options. Eur J Ophthalmol. 2014;24(2):147-52.
6. Baker RS, Buncic JR. Vertical ocular motility disturbance in pseudotumor cerebri. J Clin Neuroophthalmol. 1985;5(1):41-4.
7. Patton N, Beatty S, Lloyd IC. Bilateral sixth and fourth cranial nerve palsies in idiopathic intracranial hypertension. J R Soc Med. 2000;93(2):80-1.
8. Lee AG. Fourth nerve palsy in pseudotumor cerebri. Strabismus. 1995;3(2):57-9.
9. Speer C, Pearlman J, Phillips PH, Cooney M, Repka MX. Fourth cranial nerve palsy in pediatric patients with pseudotumor cerebri. Am J Ophthalmol. 1999;127(2):236-7.
10. Suzuki H, Takanashi J, Kobayashi K, Nagasawa K, Tashima K, Kohno Y. MR imaging of idiopathic intracranial hypertension. AJNR Am J Neuroradiol. 2001;22(1):196-9.
11. Frisén L. Swelling of the optic nerve head: a staging scheme. J Neurol Neurosurg Psychiatry. 1982;45(1):13-8.
12. Friedman DI, Forman S, Levi L, Lavin PJ, Donahue S. Unusual ocular motility disturbances with increased intracranial pressure. Neurology. 1998;50(6):1893-6.
Submitted for publication:
August 30, 2018.
Accepted for publication:
August 24, 2018.
Funding: No specific financial support was available for this study.
Disclosure of potential conflicts of interest: None of the authors have any potential conflicts of interest to disclose.