Arq. Bras. Oftalmol. 2019; 82 (5): 10.5935/0004-2749.20190081
Total: 1162
Sara Crisostomo; Joana Cardigos; Diogo Hipólito Fernandes; Maria Elisa Luís; Guilherme Neri Pires; Ana Filipa Duarte; Ana Magriço Boavida
DOI: 10.5935/0004-2749.20190081
ABSTRACT
Bilateral orbital metastases restricted to the extraocular muscles (EOMs) are exceedingly rare. We report a case of bilateral extraocular muscle metastases from a small cell lung carcinoma and provide a review of the relevant literature. A 56-year-old smoker presented with proptosis, motility changes, and a relative afferent pupillary defect of the left eye, with a previous history of a small cell lung carcinoma. An orbital computerized tomography scan revealed a mass restricted to the left medial rectus. An incisional biopsy confirmed metastasis. Visual acuity of the left eye decreased rapidly, and right globe proptosis became evident. Orbital magnetic resonance imaging at two months follow-up showed marked left orbital mass enlargement and a new right lateral rectus mass. The patient was maintained on palliative care and died from metastatic disease-related complications.
Keywords: Lung neoplasms; Carcinoma, small cell; Oculomotor muscles; Orbital neoplasms/secondary; Humans; Case reports
RESUMO
As metástases orbitárias bilaterais restritas aos músculos extraoculares são extremamente raras. Os autores apresentam um caso de metástases bilaterais, localizadas aos musculares extraoculares com base num carcinoma de pequenas células do pulmão e revisão da literatura relevante. Um homem, fumador, de 56 anos recorreu ao serviço de urgência por proptose, alterações de motilidade ocular extrínseca e um defeito pupilar aferente relativo do olho esquerdo, com história pessoal de carcinoma de pequenas células do pulmão. A tomografia computadorizada orbitária revelou uma massa restrita ao reto medial esquerdo. Uma biópsia incisional confirmou o diagnóstico de metástase. A acuidade visual do olho esquerdo diminuiu rapidamente e surgiu uma proptose do globo ocular direito. A ressonância magnética orbitária aos dois meses de seguimento revelou um aumento da massa orbitária esquerda e uma nova massa no reto lateral direito. O paciente foi mantido em cuidados paliativos e faleceu devido a complicações relacionadas com doença metastática.
Descritores: Neoplasias pulmonares; Carcinoma de células pequenas; Músculos oculomotores; Neoplasias orbitárias/secundário; Humanos; Relatos de casos
INTRODUCTION
The orbit is an uncommon site for metastases, and these metastases occur much less frequently than lesions to the eye. An ophthalmologist generally sees the patient first, and the patients frequently display signs and symptoms of proptosis, diplopia, decreased vision, and pain(1-3). Most orbital metastases are unilateral, with rare cases of bilateral tumors(1-6). The diagnosis is of high importance although the prognosis is generally poor. With recent advances in chemo- and radiotherapy regimens, potential improvements in patients’ quality of life and prognosis are possible.
In this case report, we describe a biopsy-proven bilateral orbital metastasis of a small cell lung cancer (SCLC) to the extraocular muscles (EOMs). To the best of our knowledge, this is a highly infrequent pattern of metastization from lung cancer.
CASE REPORT
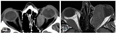
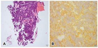
A 56-year-old Caucasian male presented to the emergency department with left eye proptosis, hyperemia, and diplopia that had been progressing for two weeks. Ten months earlier, he had been diagnosed with stage IIIA SCLC and treated with chemotherapy (four cycles of etoposide and cisplatin) and radiotherapy due to superior vena cava syndrome, with a good response. He had a past history of trauma to the left orbit, with a resulting fracture of the medial orbital wall. Examination showed a limited adduction and elevation of the left eye (Figure 1A, B), a relative afferent pupillary defect, and a best corrected visual acuity of 5/10 OD and 4/10 OS. Slit lamp examination of the left eye revealed chemosis and a subconjunctival hemorrhage with no evidence of corneal ulceration or changes on fundoscopy. A computerized tomography (CT) scan disclosed a mass of the left medial rectus muscle, sharply delineated from orbital fat and bone, without signs of globe or optic nerve compression (Figure 2A). An incisional biopsy of the mass confirmed the diagnosis of SCLC metastasis (Figure 3A, B). During the patient’s hospitalization, left eye visual acuity decreased to light perception over two weeks, left globe proptosis worsened, and a new finding of right globe proptosis was evident. A subsequent systemic work-up revealed disseminated metastatic disease with suprarenal gland and lumbar spine (L5) involvement. An orbital magnetic resonance imaging (MRI) performed at two months showed a new orbital mass limited to the right lateral rectus and marked enlargement of the left orbital mass, causing significant globe and optic nerve compression (Figure 2B). Given the rapid progression and dismal prognosis, no curative treatment was indicated, and the patient remained on palliative care only. Due to complications related to his metastatic disease, the patient died three months after the initial orbital mass diagnosis.
02-fig01.jpg)
02-fig02.jpg)
02-fig03.jpg)
DISCUSSION
Orbital metastases of systemic neoplasms are a rare occurrence. In a series of 645 space-occupying lesions of the orbit, only 2.5% were metastases(1). In a review by Ahmad and Esmaeli, orbital metastases were reported to represent 1%-13% of all orbital tumors; approximately 2%-4.7% of all cancer patients are believed to develop orbital metastases(2). Breast carcinoma is the most frequent type of tumor to metastasize to the orbit (29%-75%), followed by lung carcinoma (6%-22%) (1-5). The typical age of presentation is 40 years or older with a mean age between 55.5 and 62 years (3-6). The mean time interval between the detection of the primary tumor and orbital involvement is 43-71 months(3,4). Signs and symptoms frequently display a rapid onset, with typical manifestations including limited ocular motility (54%-61%), globe displacement, and proptosis (39%-75%), which is in agreement with the reported case(3,5,6). Other manifestations include pain (17%-57.4%), diplopia (9%-49%), eyelid ptosis (16%-74.5%), a palpable mass (21%-43%), and decreased visual acuity (7%-41%)(3-6). Prognosis in the presence of orbital metastases is generally poor, with a mean survival of 10.2-18 months, which decreases to four months in cases with lung cancer metastases(3-6). However, long-term survival is possible, with most series describing occasional patients surviving five years or longer, emphasizing the importance of proper recognition and treatment. The mainstay of treatment is radiotherapy, usually with a dose of 20-40 Gy over 1-5 weeks. Systemic chemotherapy or hormonal therapy may be given if indicated. Tumor excision or exenteration should be reserved for cases with intractable pain, disfiguring proptosis, or unmanageable local hygiene, considering the increased morbidity and risk associated with the procedure(2,4). In the main series, radiotherapy was applied in 39%-68% of cases, chemotherapy in 24%-34%, and complete or partial tumor excision in 10%-34%(3,4,6).
There are at least two unusual characteristics to this case: the bilateral orbital involvement and the restriction to the EOMs. The left orbit is hypothesized to be the preferential side in some series, allegedly due to the anatomic configuration of the carotid arterial system(2). Bilateral involvement is very rarely described, with a prevalence of 2.5%-4% of cases in larger series(3,4). Although there have been various cases of bilateral orbital metastases from other types of cancers, we were only able to identify one case of bilateral orbital lung cancer metastases, which was not restricted to muscle tissue(7). The preferred metastization tissues within the orbit are bone (20%-40%) and intra- and extraconal fat (39%-44%), followed by muscle (18%-28%) and diffuse infiltration (4%) with an estimated 2:2:1 bone-fat-muscle ratio(4). Metastatic tumors isolated to the EOM are rare but have been reported in some studies and case reports(6,8). Patrinely et al. studied the CT scans of 60 patients with nonthyroid EOM enlargement, eight of whom (13.3%) had muscle metastases. In this series, 83% of patients had unilateral disease; none of the bilateral cases were related to lung carcinoma(8). Similar studies involving 137 and 103 patients each studied CT EOM enlargement of various causes(9,10). The authors found 10 and 12 EOM metastases, respectively, none of which were related to lung cancer.
Bilateral orbital metastases are highly unusual, and there should be a high index of suspicion in these cases. The prognosis associated with orbital metastases is guarded, particularly in lung cancer patients. Nevertheless, proper diagnosis and treatment are crucial to preserve the patient’s quality of life.
TAKE HOME MESSAGES
Orbital metastasis must be considered in the differential diagnosis of proptosis and orbital mass.
The most frequent metastases to the orbit originate from breast cancer, followed by lung cancer.
Although rare, orbital metastases can be bilateral.
Although more frequently described as diffuse and infiltrating, orbital metastases can be restricted solely to the EOMs and should be considered in cases of EOM enlargement.
REFERENCES
1. Shields JA, Bakewell B, Augsburger JJ, Flanagan JC. Classification and incidence of space-occupying lesions of the orbit: a survey of 645 biopsies. Arch Ophthalmol. 1984;102(11):1606-11.
2. Ahmad SM, Esmaeli B. Metastatic tumors of the orbit and ocular adnexa. Curr Opin Ophthalmol. 2007;18(5):405-13.
3. Shields JA, Shields CL, Brotman HK, Carvalho C, Perez N, Eagle RC. Cancer metastatic to the orbit: The 2000 Robert M. Curts lecture. Ophthal Plast Reconstr Surg. 2001;17(5):346-54.
4. Valenzuela AA, Archibald CW, Fleming B, Ong L, O’Donnell B, Crompton J J, et al. Orbital metastasis: clinical features, management and outcome. Orbit. 2009;28(2-3):153-9.
5. Font RL, Ferry AP. Carcinoma metastatic to the eye and orbit. III. A clinicopathologic study of 28 cases metastatic to the orbit. Cancer. 1976;38(3):1326-35.
6. Goldberg RA, Rootman J. Clinical characteristics of metastatic orbital tumors. Ophthalmology [Internet]. 1990[cited 2018 Jun 21];97(5):620-4. Available from: https://www.aaojournal.org/article/S0161-6420(90)32534-4/pdf
7. Tezcan Y. Bilateral orbital metastases from small cell lung cancer: a case report. Acta Clin Belg. 2013;68(1):59-61.
8. Patrinely JR, Osborn AG, Anderson RL, Whiting AS. Computed tomographic features of nonthyroid extraocular muscle enlargement. Ophthalmology [Internet]. 1989[cited 2018 Jan 19]; 96(7):1038-47. Available from: https://www.aaojournal.org/article/S0161-6420(89)32785-0/pdf
9. Rothfus E, Curtin D. Extraocular muscle enlargement: a CT review. Radiology. 151(3):677-81.
10. Lacey B, Chang W RJ. Nonthyroid causes of extraocular muscle disease. Surv Ophthalmol. 1999;44(3):187-213.
Submitted for publication:
August 6, 2018.
Accepted for publication:
January 1, 2019.
Funding: No specific financial support was available for this study
Disclosure of potential conflicts of interest: None of the authors have any potential conflicts of interest to disclose
How to cite this article: