Diana H. Kim; Sana A. Bautista; Sonul Mehta; César A. Briceño
DOI: 10.5935/0004-2749.20220077
ABSTRACT
A 53-year-old man with a 3-day history of periorbital swelling and vision loss in the left eye was found to have septic cavernous sinus thrombosis with bilateral orbital vein involvement causing congestive orbitopathy. He was treated with an emergent canthotomy and cantholysis, intraocular pressure-lowering drops, antibiotics, anticoagulation, and serial examinations. Optical coherence tomography ultimately revealed diffuse ischemic destruction of both layers of the retina, which suggested occlusion of the ophthalmic artery or the short posterior ciliary arteries and central retinal artery without intracavernous internal carotid artery involvement. The patient remained without light perception in the left eye after treatment.
Keywords: Cavernous sinus thrombosis; Orbital diseases; Tomography, optical coherence; Humans; Case reports
RESUMO
Um homem de 53 anos, com história de 3 dias de edema periorbital e perda de visão no olho esquerdo, apresentou trombose séptica do seio cavernoso com envolvimento bilateral das veias orbitais, causando uma orbitopatia congestiva. O paciente foi tratado com uma cantotomia e cantólise de emergência, colírios para redução da pressão intraocular, antibióticos, anticoagulantes e exames seriados. A tomografia de coerência óptica finalmente demonstrou destruição isquêmica difusa de ambas as camadas da retina, sugerindo uma oclusão da artéria oftálmica ou das artérias ciliares posteriores curtas e da artéria retiniana central, com ausência de envolvimento do segmento intracavernoso da artéria carótida interna. O paciente permaneceu sem percepção luminosa no olho esquerdo.
Descritores: Trombose do corpo cavernoso; Doenças orbitárias; Tomografia de coerência óptica; Humanos; Relato de casos
INTRODUCTION
Septic cavernous sinus thrombosis (CST) is a rare, life-threatening process that can extend to an orbital vein(1). Herein, we describe a rare presentation of septic CST involving thrombotic extension to the bilateral orbital veins that led to congestive orbitopathy. Optical coherence tomography (OCT) revealed diffuse ischemic retinal destruction, which suggested a novel mechanism of the permanent vision loss.
CASE REPORT
A 53-year-old man with a 3-day history of left-sided periorbital swelling, left-sided vision loss, and confusion after incurring thermal facial burns was transferred from an outside hospital. In the outside hospital, computed tomography (CT) revealed periorbital edema related to orbital cellulitis and compartment syndrome warranting left lateral canthotomy.
On arrival, the patient was confused and presented with a visual acuity (VA) of 20/80 in the right eye and no light perception (NLP) in the left eye, an intraocular pressure (IOP) of 14 mmHg in the right eye and >50 mmHg in the left eye, an unreactive mid-dilated left pupil, an extraocular motility deficit in all gazes in the left eye, proptosis and ptosis with 2+ periorbital edema and erythema, and 3-4+ conjunctival hemorrhagic chemosis. Repeat CT revealed left posterior globe tenting, periorbital edema, extraocular muscle thickening, and bilateral sinus thickening. Emergent extension of lateral canthotomy and cantholysis of the left eye were performed, with a resultant reduction in IOP to 30 mmHg. Subsequently, maintenance IOP-lowering drops were started in the left eye. Intravenous (IV) administration of vancomycin and cefepime was initiated for gram-positive cocci bacteremia. Three days later, the right eye worsened, with an IOP of 21 mmHg, periorbital edema, and conjunctival chemosis, and conjunctival injection for which IOP-lowering drop therapy was started.
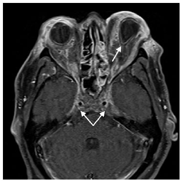
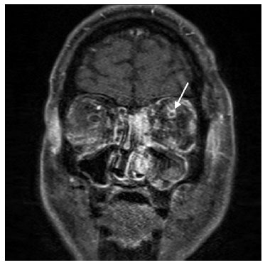
At five days, the patient agreed to undergo magnetic resonance imaging and venography (MRV), which revealed thromboses in the bilateral cavernous sinus (worse in the left eye), left superior ophthalmic vein, and right inferolateral orbital vein (Figures 1 and 2), for which heparin therapy was initiated. Blood cultures revealed methicillin-resistant Staphylococcus aureus. Therefore, cefepime was switched to ceftaroline for enhanced central nervous system penetration.
02-fig01.jpg)
02-fig02.jpg)
After 2 weeks, the patient’s VA was 20/40 in the right eye and NLP in the left eye, with improvement of clot burden on imaging (Figure 3). Heparin was transitioned to warfarin, and the IV antibiotics were continued for 6 weeks. At 6 weeks, the patient was discharged on warfarin.
02-fig03.jpg)
At 1-month follow-up, the patient was comfortable without eye pain. The examination revealed a VA of 20/20 in the right eye and NLP in the left eye, normal IOP, trace left lower lid ectropion and trace chemosis in the left eye, and notable pallor of left optic nerve, a fibrotic membrane extending across the macula, and sclerotic vessels. OCT revealed atrophy and destruction of both inner and outer layers of the retina in the left eye, consistent with sequelae of profound retinal ischemia (Figure 4). Fluorescein angiography was not performed. The patient was advised on monocular precautions and routine ophthalmic follow-up.
02-fig04.jpg)
DISCUSSION
Septic CST is a rare, potentially lethal disease caused by infectious thrombophlebitis, septic emboli, or sinusitis. While antimicrobials have greatly improved the management of septic CST, the associated mortality remains at 20%-30%, with serious ocular sequelae, including blindness in 8%-15% of cases(2).
The cavernous sinuses are trabeculated dural spaces that drain the ophthalmic veins, middle and inferior cerebral veins, and sphenoparietal, and petrosal sinuses. They share an intimate anatomic relationship with cranial nerves III, IV, V1, V2, and VI, the sympathetic plexus, and the internal carotid artery. Compression of these structures and decreased venous drainage can therefore lead to unique findings, including external ophthalmoplegia from compression of CNIII, internal ophthalmoplegia due to loss of sympathetic and/or parasympathetic fibers from CNIII, and periocular/facial paresthesia and loss of corneal blink reflex(3). Furthermore, decreased drainage from ophthalmic veins can lead to orbital compartment syndrome with periorbital edema, ptosis, proptosis, and chemosis, as was observed in the present case.
The progression to bilateral involvement in this case suggests the extension of the thrombosis from the left to the right via the intercavernous sinuses. While thrombosis of ipsilateral orbital veins has been shown in CST, bilateral involvement of the orbital veins is exceedingly rare, with only two reported cases of bilateral superior ophthalmic vein involvement in CST(4,5). By contrast, the present patient had an orbital vein thrombosis that included the superior ophthalmic vein on one side and an inferolateral orbital vein on the other side. This highlights the bilateral asymmetrical extension of CST into the orbit, supporting retrograde extension as a result of increased intracavernous pressure even in the presence of ophthalmic venous valves(6).
While the most frequently described etiology of vison loss in CST and resultant orbital compartment syndrome (OCS) is optic neuropathy(7,8), a few cases with retinal ischemia and atrophy secondary to vascular occlusion have been reported(9-11). This is the first case to demonstrate OCT findings of retinal ischemia and atrophy secondary to CST and OCS, confirming the notion that retinal arterial occlusion can in fact occur in OCS and CST and lead to visual decline, particularly in the setting of severely elevated IOP. Furthermore, OCT revealed a profound destruction of all retinal layers in the left eye in this case, implicating the involvement of either 1) both the central retinal artery (CRA) that supplies the inner retinal layers and short posterior ciliary arteries (SPCA) that supply the outer retinal layers or 2) the ophthalmic artery that supplies the two aforementioned arteries(12). While occlusion of the intracavernous segment of the internal carotid artery (ICA) and/or CRA is known to cause visual impairment in CST(13), occlusion of either the SPCA or ophthalmic artery without intracavernous ICA occlusion, as in the present case, has never been described, highlighting a unique pathophysiology of vision loss in CST.
Taken together, the findings of bilateral orbital vein involvement and diffuse retinal ischemia without intracavernous ICA occlusion add to the current understanding of the pathophysiology of CST and underscores the role of early recognition, prompt anticoagulation, IV antibiotic administration, and serial examinations.
REFERENCES
1. Weerasinghe D, Lueck CJ. Septic cavernous sinus thrombosis: case report and review of the literature. Neuro-Ophthalmology. 2016; 40(6):263-76.
2. Desa V, Green R. Cavernous sinus thrombosis: current therapy. J Oral Maxillofac Surg. 2012;70(9):2085-91.
3. Visvanathan V, Uppal S, Prowse S. Ocular manifestations of cavernous sinus thrombosis. BMJ Case Rep [Internet]. 2010 [cited 2020 Jun 21];2010: bcr0820092225. Available from: Reminder of important clinical lesson: Ocular manifestations of cavernous sinus thrombosis (nih.gov) doi:10.1136/bcr.08.2009.2225.
4. Syed A, Bell B, Hise J, Philip J, Spak C, Opatowsky MJ. Bilateral cavernous sinus and superior ophthalmic vein thrombosis in the setting of facial cellulitis. Proc (Bayl Univ Med Cent) [Internet]. 2016[cited 2020 Jan 21];29(1):36-8. Available from: Bilateral cavernous sinus and superior ophthalmic vein thrombosis in the setting of facial cellulitis (nih.gov) doi:10.1080/08998280.2016.11929349.
5. Sotoudeh H, Shafaat O, Aboueldahab N, Vaphiades M, Sotoudeh E, Bernstock J. Superior ophthalmic vein thrombosis: What radiologist and clinician must know? Eur J Radiol Open [Internet]. 2019[cited 2020 Feb 11];6:258-64. Available from: Superior ophthalmic vein thrombosis: What radiologist and clinician must know? - European Journal of Radiology Open (ejropen.com) doi:10.1016/j.ejro.2019.07.002.
6. Zhang J, Stringer MD. Ophthalmic and facial veins are not valveless. Clin Exp Ophthalmol. 2010;38(5):502-10.
7. Shams PN, Policeni B, Carter KD, Shriver E, Thurtell MJ. Bilateral septic cavernous sinus thrombosis, congestive orbitopathy, and ischemic optic neuropathy. Can J Ophthalmol. 2016;51(2):e75-e77.
8. Dalley RW, Robertson WD, Rootman J. Globe tenting: a sign of increased orbital tension. Am J Neuroradiol. 1989;10(1):181-6.
9. Coutteel C, Leys A, Fossion E, Missotten L. Bilateral blindness in cavernous sinus thrombosis. Int Ophthalmol. 1991;15(3):163-71.
10. Lima V, Burt B, Leibovitch I, Prabhakaran V, Goldberg RA, Selva D. Orbital compartment syndrome: the ophthalmic surgical emergency. Surv Ophthalmol. 2009;54(4):441-9.
11. Dolman PJ, Rootman J, Dolman CL. Infiltrating orbital granular cell tumour: A case report and literature review. Br J Ophthalmol. 1987;71(1):47-53.
12. Sun Y, Smith LE. Retinal vasculature in development and diseases. Annu Rev Vis Sci [Internet]. 2018[cited 2019 Nov 21];4:101-22. Retraction in: Annu Rev Vis Sci. 2020;0:10.1146/annurev-vs-04-091720-200001.Available from: [WITHDRAWN] Retinal Vasculature in Development and Diseases | Annual Review of Vision Science (annualreviews.org) doi:10.1146/annurev-vision-091517-034018.
13. Lee HR, Kim HW, Park JH, Han SW. Septic cavernous sinus thrombosis with infectious arteritis of the internal carotid artery. BMJ Case Rep [Internet]. 2015[cited 2019 Jun 21];2015:bcr2015213314. Available from: Septic cavernous sinus thrombosis with infectious arteritis of the internal carotid artery | BMJ Case Reports doi:10.1136/bcr-2015-213314.
Submitted for publication:
January 29, 2021.
Accepted for publication:
May 17, 2021.
Informed consent was obtained from all the patients included in this study.
Funding: This study received no specific financial support.
Disclosure of potential conflicts of interest: None of the authors have any potential conflicts of interest to disclose.