Selma Meşen1; Muhammed Batur2; Muhammet Derda Ozer3
DOI: 10.5935/0004-2749.2022-0069
ABSTRACT
This report presents the optical coherence tomography findings and a new NEU1 mutation in bilateral macular cherry-red spot syndrome associated with sialidosis type 1. A 19-year-old patient with a macular cherry-red spot underwent metabolic and genetic analyses supported by spectral-domain optical coherence tomography. Fundus examination revealed bilateral macular cherry-red spot. Spectral-domain optical coherence tomography revealed increased hyperreflectivity in the retinal inner layers and the photoreceptor layer in the foveal region. The genetic analysis detected a new NEU1 mutation, which caused type I sialidosis. In cases with a macular cherry-red spot, sialidosis should be included in the differential diagnosis, and NEU1 mutation should be screened. Spectral-domain optical coherence tomography alone is not sufficient in the differential diagnosis because childhood metabolic diseases may exhibit similar signs.
Keywords: Mucolipidosis; Myoclonus; Sialidosis type 1; Tomography; optical coherence; Gene NEU1.
RESUMO
Neste artigo, objetivamos apresentar os achados da tomografia de coerência óptica em uma nova mutação detectada no gene NEU1 em um caso de síndrome macular vermelho-cereja bilateral associada à sialidose tipo 1. Um paciente de 19 anos com um achado de mancha macular vermelho-cereja foi submetido a análises metabólicas e genéticas, apoiadas por imagens de tomografia de coerência óptica de domínio espectral (SD-OCT). Ao exame de fundo de olho, foi observada uma mancha macular vermelho-cereja bilateral. Nas imagens de SD-OCT, observou-se hiper-refletividade nas camadas internas da retina e na camada fotorreceptora na região foveal. Foi realizada uma análise genética e uma nova mutação foi detectada no gene NEU1, resultando em sialidose tipo 1. Nos casos em que é detectada uma mancha vermelho-cereja na mácula, o diagnóstico diferencial de sialidose deve ser feito e mutações do gene NEU1 devem ser rastreadas. A SD-OCT por si só não é suficiente para o diagnóstico diferencial, porque achados de aparência semelhante podem se manifestar em casos de doenças metabólicas da infância.
Descritores: Mucolipidoses; Mioclonia; Sialidose tipo 1; Tomografia de coerência óptica; Gene NEU1.
INTRODUCTION
Sialidosis is a lysosomal storage disease with autosomal recessive inheritance. It is characterized by the accumulation of sialic acid-containing oligosaccharides in tissues where the activity of neuraminidase enzyme is impaired due to a mutation in the neuraminidase gene (NEU1). Sialidosis is divided into two subtypes according to clinical features and prognosis. Type 1 sialidosis, a late-onset and milder form, is known as the cherry-red spot (CRS) myoclonus syndrome and progresses with visual impairment, macular CRS, myoclonus, ataxia, and seizures(1,2).
CRS is a clinical sign that results from retinal thickening and diminished transparency in the posterior pole. CRS is associated with certain metabolic storage disorders, central retinal artery occlusion, orbital trauma, and ischemia. It was also reported in cases of quinine, carbon monoxide, methanol, and dapsone toxicity.
Herein, we present the spectral-domain optical coherence tomography (SD-OCT) findings of a patient with type 1 sialidosis with macular CRS of both eyes. To our knowledge, this is the first case presented from our country in terms of ophthalmological data in type 1 sialidosis with a novel NEU1 mutation.
CASE REPORT
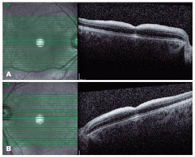
A 19-year-old female patient presented to our clinic with complaints of bilaterally decreased vision for the past 8 years. These complaints had been worsening within 5 years, which were thought to be fatigue, tremor, ataxia, and myoclonic epilepsy after simple daily activities. Her siblings had no history of neurological and ophthalmic diseases. Her best-corrected visual acuity was 20/125 on the right and 20/200 on the left. Slit-lamp examination revealed clear cornea in both eyes and multiple punctate opacities in both lenses. In the fundus examination, bilateral macular CRS was observed with its characteristic red fovea and pale macula (Figure 1). SD-OCT (Heidelberg Engineering, Heidelberg, Germany) imaging revealed hyperreflectivity of the inner retinal layers and increased hyperreflectivity on the photoreceptor layer in the foveola region (Figure 2). In the fundus fluorescein angiography (FFA), slight shading and mild hypofluorescence with a blurred appearance at the vessel borders were observed in the macula (Figure 3). The patient was referred to the neurology department, and various analyses were performed (Table 1).
01-fig01.jpg)
01-fig02.jpg)
01-fig03.jpg)
The genomic DNA extracted from the patient’s peripheral blood sample was analyzed using a new-generation sequence analysis method (Miseq-Illumina). Genetic screening for sialidosis was performed, and NM_000434,3 p.D135N (c.403G> A) homozygous spot NEU1 mutation was detected.
To confirm central nervous system and cardiac involvement, the patient underwent brain magnetic resonance imaging (MRI), diffusion MRI, and echocardiography. No pathologies were detected. The patient was prescribed levetiracetam (500 mg 2 × 1) for epilepsy treatment, after which follow-up was conducted in the neurology.
DISCUSSION
NEU1, a lysosomal glycosidase, catalyzes the breakdown of sialic acids and functions in critical biological pathways. Enzyme activity determined by various NEU1 mutations and environmental factors affect the symptoms by determining the phenotypic characteristics of the individual(3). In a review conducted in 2019, while myoclonus was reported in all patients with sialidosis type 1, ataxia in 87.8%, and seizures in 73.7%, macular CRS was reported only in 51.2% of the patients(4).
In the data analysis, NEU1 mutations, which cause more than 40 diseases, are mostly due to missense mutations that do not affect mRNA synthesis(3). The homozygous point mutation causing an amino acid change in NM_000434,3 p.D135N (c.403G> A) in our case is a new pathogenic variant that has not been identified previously. According to the detected mutation in silico (Mutation Taster, PolyPhen-2, Provean, and SIFT) data, it was considered pathogenic with a high probability.
On SD-OCT, the characteristic finding of CRS is increased reflectivity of the inner retinal layers and photoreceptor layer in the fovea(5). Varela et al. measured reflectivity in OCTs of seven patients with sialidosis and galactosialidosis using grayscale analysis (Fiji/ImageJ2) and compared with healthy volunteers. They detected a significant increase in reflectivity in the inner retinal layers compared with the control group(6). Similarly, our case demonstrated hyperreflective nerve fiber layer and ganglion cell layer on which the boundaries could not be clearly determined (Figure 2). In sialidosis, oligosaccharides containing sialic acid accumulate in the ganglion cells(7). As the foveal region is relatively free of ganglion cells, it maintains its redness and causes a CRS appearance. Some studies claim that CRS appearance is caused by increased retinal nerve fiber thickening(8). Similar findings can be found in other metabolic storage diseases. In patients with Niemann-Pick type B, SD-OCT showed hyperreflective areas on the retinal surface, except for the foveal depression area(9).
The hyperreflective appearance on the photoreceptor layer in the foveolar region is attributed to the relatively hyporeflective appearance of the outer retinal layer caused by the increased reflectivity of the inner retinal layers in the vicinity(10).
FFA showed hypofluorescence in the macular region as a result of blockage due to substance accumulation in the ganglion cell layer. This area corresponded to the hyperfluorescent area in SD-OCT. Retinal artery occlusion is among the diseases that should be considered in the differential diagnosis of patients who present with macular CRS. The FFA result in our case was not compatible with retinal artery occlusion.
In this report, we summarized the findings of a patient with type 1 sialidosis and reported a novel mutation that leads to type 1 sialidosis. Genetic mutations identified in type 1 sialidosis cases vary; therefore, the evaluation of both clinical findings and NEU1 mutations will translate to a better diagnosis. Given that metabolic diseases with macular CRS exhibit a similar phenomenon, SD-OCT findings remain insufficient in the differential diagnosis; thus, genetic mutation screening is vital in this regard.
REFERENCES
1. McKellar MJ, Hidajat RR, Elder MJ. Acute ocular methanol toxicity: clinical and electrophysiological features. Aust N Z J Ophthalmol. 1997;25(3):225-30.
2. Abhayambika K, Chacko A, Mahadevan K, Najeeb OM. Peripheral neuropathy and haemolytic anaemia with cherry red spot-on macula in dapsone poisoning. J Assoc Physicians India. 1990;38(8):564-5.
3. Damarla N, Linga P, Goyal M, Tadisina SR, Reddy GS, Bommisetti H. Alkaptonuria: A case report. Indian J Ophthalmol. 2017; 65(6):518-21.
4. Suvarna JC, Hajela SA. Cherry-red spot. J Postgrad Med. 2008; 54(1):54-7.
5. Raj A, Arya SK, Sood S. Unilateral visual loss due to central retinal artery occlusion with total ophthalmoplegia following cervical spine surgery in prone position. Nepal J Ophthalmol. 2015;7(14):191-3.
6. Daich Varela M, Zein WM, Toro C, Groden C, Johnston J, Huryn LA, et al. A sialidosis type I cohort and a quantitative approach to multimodal ophthalmic imaging of the macular cherry-red spot. Br J Ophthalmol. 2021;105(6):838-43.
7. Himori N, Kunikata H, Otomo T, Fuse N, Nishida K. Central retinal artery occlusion following severe blow-out fracture in young adult. Clin Ophthalmol. 2009;3:325-8.
8. Brown GC, Eagle RC, Shakin EP, Gruber M, Arbizio VV. Retinal toxicity of intravitreal gentamicin. Arch Ophthalmol. 1990;108(12):1740-4.
9. Yassur Y, Snir M, Melamed S, Ben-Sira I. Bilateral maculopathy simulating ‘cherry-red spot’ in a patient with Crohn’s disease. Br J Ophthalmol. 1981;65(3):184-8.
10. Lindner M, Bertelmann T. On the ocular findings in ochronosis: a systematic review of literature. BMC Ophthalmol. 2014;14(1):12.
Submitted for publication:
February 12, 2022.
Accepted for publication:
June 27, 2022.
Funding: This study received no specific financial support.
Disclosure of potential conflicts of interest: None of the authors have any potential conflicts of interest to disclose.
Informed consent was obtained from the patient included in this study.