Mariluze Sardinha1; Tânia Nunes1; Ruth Santo2; Suzana Matayoshi1
DOI: 10.1590/S0004-27492004000500025
RESUMO
Descreve-se um caso de dacriocistite crônica secundária a sarcoidose. Foram revistos os dados clínico-patológicos e a técnica cirúrgica usada no tratamento da paciente. Foi realizada dacriocistorrinostomia e intubação da via lacrimal à esquerda. O exame anatomopatológico foi compatível com sarcoidose, que constitui achado raro nas afecções das vias lacrimais.
Descritores: Sarcoidose; Dacriocistite; Obstrução dos ductos la-crimais; Dacriocistorrinostomia; Relato de caso
ABSTRACT
A case of chronic dacryocistitis secondary to sarcoidosis is described. Review of the clinical pathological findings and surgical technique used to treat the patient. Dacryocystorhinostomy with silicone intubation on the left side was performed. Biopsy specimens of lacrimal sac mucosa showed a histological findings compatible with sarcoidosis, an uncommon diagnosis.
Keywords: Sarcoidosis; Dacryocystitis; Lacrimal duct obstruction; Dacryocystorhinostomy; Case report
INTRODUÇÃO
Sarcoidose é uma doença granulomatosa crônica, multisistêmica de etiologia desconhecida(1); embora nos últimos anos com avanço de estudos moleculares tenha sido possível esclarecer alguns pontos da sua patogenia(2). Sabe-se que o paciente com sarcoidose apresenta uma forte resposta imuno-celular, nos locais de atividade da doença, a um possível antígeno, ainda desconhecido(3). O diagnóstico de sarcoidose apóia-se na história clínica e/ou quadro radiológico, evidência histológica de granulomas não gaseosos, bem como na exclusão de outras doenças capazes de produzir um quadro clínico ou histológico similar(3). O tratamento da sarcoidose baseia-se na corticoterapia, embora possa haver necessidade de lançar mão de outras alternativas(4). Uma conduta expectante poderá ser indicada quando não houver envolvimento de órgãos vitais ou doença ocular com risco de perda da visão(3).
O acometimento ocular ocorre em 25 - 50%(5-6) dos casos e pode ser a manifestação inicial da sarcoidose em vários pacientes, precedendo algumas vezes em muitos anos o envolvimento pulmonar(7). Quase todas estruturas oculares podem ser afetadas, sendo predominante o envolvimento do trato uveal, da conjuntiva e da glândula lacrimal(8). Entretanto existem poucos relatos no que diz respeito ao acometimento das vias lacrimais entre as manifestações oftalmológicas da sarcoidose.
Neste estudo, descrevemos um caso de dacriocistite crônica secundária a sarcoidose.
RELATO DE CASO
M.M.G.H. 74 anos de idade, sexo feminino, leucoderma, trabalhadora do lar, procedente de Santo André-SP com história de epífora e secreção purulenta à esquerda, associada a tumoração na região do saco lacrimal há cerca de 2 anos, tendo apresentado neste período quatro episódios de agudização do quadro, sendo tratada com antibiótico e antiinflamatório sistêmicos.
Em relação aos antecedentes médicos, apresentava história de opacidade corneana bilateral, tendo realizado transplante de córnea à esquerda há 20 anos, com opacificação do botão transplantado cerca de 5 meses após a cirurgia. Não soube informar a causa da ceratopatia.
Há 10 anos apresentou nódulos cutâneos, adenopatia paratraqueal, obstrução nasal crônica e fadiga. Foi realizada investigação clínica e feito o diagnóstico de sarcoidose, corroborado pelos exames complementares: 1) TC de tórax que mostrou pulmões com acentuação das marcas intersticiais especialmente nas bases, brônquios com paredes espessadas, porém não dilatadas; presença de imagens mediastinais e hilares compatíveis com linfadenomegalias (Figura 1); 2) Cintilografia pulmonar com gálio 67: mostrou distribuição do isótopo de forma aumentada em grau moderado principalmente em base e região mediana de tórax, com áreas focais mais intensas em base pulmonar esquerda e direita posteriormente; 3) Dosagens sanguíneas de cálcio e ECA (enzima conversora da angiotensina I) mostraram-se aumentadas. O diagnóstico foi confirmado mediante biópsia de gânglios paratraqueais: o exame histopatológico mostrou gânglio linfático com sua estrutura parcialmente alterada pela presença de numerosos granulomas constituídos por macrófagos, tendo de permeio raras células gigantes de tipo Langerhans; na periferia observa-se moderada quantidade de linfócitos sem atipias. Pesquisas de bacilo álcool-ácido resistente e fungos resultaram negativas.

Exame nasofibroscópico, solicitado devido ao quadro de obstrução nasal crônica, mostrava acentuados eritema e edema de mucosa, também observado na tomografia computadorizada (TC) dos seios da face (Figura 2), micro-ulcerações e abundante formação de crostas fibrinoleucocitárias, meatos inferiores completamente ocluídos por edema e crostas, não sendo possível identificar o óstio lacrimal de ambos lados. Também foi realizada biópsia da cavidade nasal, com exame histopatológico evidenciando mucosa malpighiana com granulomas e processo inflamatório crônico não específico, no estroma.

Na avaliação oftalmológica, a paciente apresentava acuidade visual de 20/200 olho direito (OD) e contava dedos (CD) há 50 cm olho esquerdo (OE). À biomicroscopia, o OD apresentava discreta hiperemia conjuntival, glândula lacrimal de aspecto normal, opacidade total da córnea impedindo o exame de estruturas intra-oculares; o OE mostrava exame semelhante exceto pelo transplante de córnea, o qual também se mostrava opacificado. Tempo de rotura do filme lacrimal foi de 13 s no OD e 17 s no OE. O exame do pólo posterior foi impraticável bilateralmente devido à opacidade dos meios.
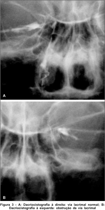
A propedêutica da via lacrimal foi normal do lado direito e apresentava obstrução baixa do lado esquerdo, no qual o saco lacrimal mostrava-se bastante dilatado (4+/4) observado através de dacriocistografia (Figura 3).

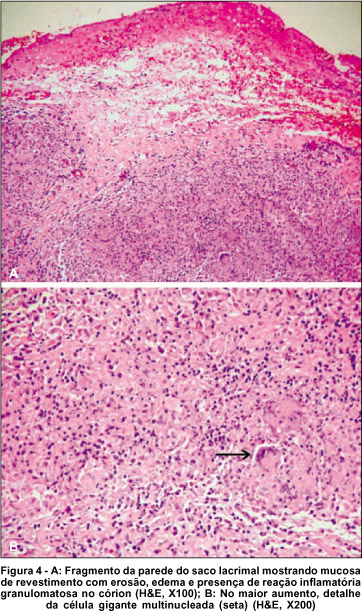
A paciente foi submetida à dacriocistorrinostomia associada à intubação da via lacrimal esquerda com sonda de Crawford e obtido material do saco lacrimal para exame histopatológico, com o seguinte resultado: mucosa de revestimento com erosão, edema e presença de reação inflamatória granulomatosa sem foco de necrose no córion (Figura 4). As pesquisas para bacilo álcool-ácido resistente e fungos, pelas técnicas de coloração de Ziehl-Neelsen e Grocott, respectivamente, foram negativas.

Atualmente a paciente encontra-se assintomática com permeabilidade total da via lacrimal esquerda e aguarda a realização de novo transplante de córnea do OE.
Em relação à sarcoidose apresenta doença em atividade apenas na cavidade nasal e mantém corticoterapia de manutenção com uma dose 5 mg/d de prednisona.
DISCUSSÃO
O pulmão, os nódulos linfáticos torácicos, a pele e os olhos são os órgãos mais comumente afetados pela sarcoidose(7). Praticamente qualquer estrutura ocular pode ser acometida, entretanto o trato uveal, a conjuntiva e a glândula lacrimal são as mais comumente envolvidas(8), sendo as duas últimas, locais importantes de biópsia para o diagnóstico, quando se mostram alteradas(9).
Envolvimento da mucosa sinusal e do sistema de drenagem lacrimal são relativamente raros nesta afecção e pode ocorrer independente de outras alterações oculares e sistêmicas(10). Em um estudo, observou-se que 17 (1%) de 2.319 pa-cientes com sarcoidose apresentavam comprometimento da mucosa nasal e dos seios paranasais, comprovados histologicamente(11). Em outro estudo, encontrou-se obstrução do ducto lacrimonasal em 5 (1,8%) casos de um total de 281 pacientes com diagnóstico de sarcoidose. Todos os cinco pacientes eram mulheres idosas e o quadro de dacriocistite ocorreu de 8 - 23 anos após o diagnóstico de sarcoidose. Entretanto, em apenas duas destas pacientes houve confirmação histológica de sarcoidose do saco lacrimal(12).
Em relação à paciente deste estudo, apesar de apresentar comprometimento nasal e sinusal pela sarcoidose, comprovado por biópsias; também foram encontradas alterações compatíveis com sarcoidose no espécime obtido do saco lacrimal durante a dacriocistorrinostomia (DCR), levando a crer que se tratava de um acometimento local do sistema lacrimal pela sarcoidose.
Em um grupo de 523 pacientes submetidos à cirurgia de via lacrimal, num período de 9 anos, diagnosticou-se sarcoidose em doze (2,3%) pacientes, dos quais oito eram mulheres. Em quatro pacientes, o exame histológico do saco lacrimal possibilitou o diagnóstico da doença(1).
No caso de um paciente com sarcoidose que apresente obstrução do ducto lacrimonasal, um exame minucioso da cavidade nasal se faz necessário, pois na presença de um processo inflamatório extenso nesta região, está indicado seu tratamento antes da cirurgia da via lacrimal.
Em relação ao tratamento cirúrgico para a obstrução lacrimal, pode-se optar por DCR por via externa, DCR endonasal, dacriocistectomia (DCT) ou, ainda conjuntivodacriocistorrinostomia (CDCR). A escolha por uma dessas técnicas vai depender da experiência do cirurgião, do nível da obstrução e/ou das condições sistêmicas e oculares do paciente.
Quando for realizada DCR externa ou endonasal, para obter patência por um longo período é recomendável realizar uma osteotomia maior que o habitual e colocação de um modelador, como o silicone(10); é importante obter material para estudo anátomo-patológico da via lacrimal com objetivo de determinar a causa real do processo obstrutivo. Colírio de corticóide deve ser administrado por no mínimo duas semanas, e para a cavidade nasal é recomendado limpeza com solução salina associada ao corticóide quando houver edema importante da mucosa nasal, apesar do tratamento pré-operatório. Corticóide oral pode ser necessário para reduzir a inflamação nasal e do sistema de drenagem lacrimal, inibindo assim a formação de granulomas que poderiam obstruir a DCR(10). Uma opção ao uso de corticóides sistêmicos nesses casos seria a aplicação de triancinolona intralesional(10). O seguimento pós-operatório deverá ser mais freqüente, uma vez que há predisposição para insucesso cirúrgico(12-13). Recorrência da obstrução pode ser precoce particularmente quando há extenso comprometimento sinusal, ou poderá ocorrer anos mais tarde(14-15).
A paciente deste estudo foi submetida a DCR por via externa, sendo realizada ampla janela óssea, colocação de tubo de silicone, uso de colírio de corticóide, higiene da cavidade nasal com solução fisiológica e corticóide endonasal, além desses cuidados a paciente faz uso de corticóide sistêmico em dose de manutenção (5 mg/d de prednisona).
Finalmente, é importante ressaltar que em pacientes com sarcoidose, a dacriocistite pode ocorrer por 3 mecanismos diferentes: 1) dacriocistite secundária ao acometimento da via lacrimal; 2) quadro de obstrução secundária ao acometimento da cavidade nasal pela sarcoidose; 3) ou ainda a dacriocistite adquirida primária. A diferenciação é importante uma vez que nos dois primeiros casos as chances de falência do tratamento cirúrgico são maiores e cuidados específicos devem ser redobrados com o objetivo de evitar a recidiva do quadro.
REFERÊNCIAS
1. Hunter DG, Foster CS. Ocular manifestations of sarcoidosis. In: Albert DM, Jakobiec FA, editors. Principles and practice of ophthalmology. Philadelphia: Saunders; 1994. p.443-50.
2. Hart LA, Conron M, du Bois RM. Sarcoidosis. Int J Tuberc Lung Dis. 2001; 5(9):791-806.
3. Costabel U. Sarcoidosis: clinical update. Eur Respir J. 2001(Suppl 32):56S-68.
4. Muthiah MM, MacFarlane JT. Current concepts in the management of sarcoidosis. Drugs. 1990;40(2):231-7.
5. Karma A, Huhti E, Poukkula A. Course and outcome of ocular sarcoidosis. Am J Ophthalmol. 1988;106(4):467-72.
6. Jabs DA, Johns CJ. Ocular involvement in chronic sarcoidosis. Am J Ophthalmol. 1986;102(3):297-301.
7. Weber M. Eye and sarcoidosis. Curr Opin Ophthalmol. 1998;9(6):80-4.
8. Badelon I, Chaine G. Ophthalmologic manifestations of sarcoidosis. Sarcoidosis Vasc Diffuse Lung Dis. 2002;19(3):167-75.
9. Fanburg BL. Sarcoidose. In: Wyngaarden JB, Jr. Smith LH, Bennett JC. Cecil Tratado de medicina interna. Rio de Janeiro: Guanabara Koogan;1993. p.441.
10. Chapman KL, Bartley GB, Garrity JA, Gonnering RS. Lacrimal bypass surgery in patients with sarcoidosis. Am J Ophthalmol. 1999;127(4):443-6.
11. McCaffrey TV, McDonald TJ. Sarcoidosis of the nose and paranasal sinuses. Laryngoscope. 1983;93(10):1281-4.
12. Karma A. Sarcoidosis of the lacrimal sac [letter]. Arch Ophthalmol. 1982;100 (4):664.
13. Karma A. Ophthalmic changes in sarcoidosis. Acta Ophthalmol. 1979;(Suppl 141):1-94.
14. Harris GJ, Williams GA, Clarke GP. Sarcoidosis of the lacrimal sac. Arch Ophthalmol. 1981;99(7):1198-201.
15. Weingarten R, Goodman EF. Late failure of a dacryrhinostomy from sarcoidosis. Ophthalmic Surg. 1981;12(5):343-6.
Endereço para correspondência
Tânia Nunes
Rua Cristiano Viana, 116 apto 32
São Paulo (SP) - CEP 05411-000
E-mail: [email protected]
Recebido para publicação em 29.08.2003
Versão revisada recebida em 29.03.2004
Aprovação em 28.04.2004
Trabalho realizado no setor de Plástica Ocular, Clínica Oftalmológica do Hospital das Clínicas da Universidade de São Paulo - USP.