INTRODUCTION
Radioiodine (RAI) treatment with 131I is a viable therapeutic option for thyroid diseases, such as hyperthyroidism and differentiated thyroid carcinoma(1). 131I is taken up by the thyroid tissue as well as other glands, especially the salivary and lacrimal glands, as each has similar sodium iodide symporters (NIS) that uptake iodide into the cells(2,3). Consequently, β-radiation from 131I exerts cytotoxic effects in these glands. Even though many studies have shown radiation damage to the salivary glands(4-7), relatively few studies have investigated the side effects of RAI in the lacrimal glands(7-9).
Several studies have been conducted to investigate the effects of therapeutic agents, such as pilocarpine(4), amifostine(10,11), vitamin C(12), and vitamin E(13), to prevent RAI-induced damage to the salivary glands. It was recently demonstrated that montelukast provided long-term protection against RAI-induced damage to the rat lacrimal glands(14). Moreover, our group previously showed that vitamin E and lycopene protected the rat lacrimal glands from RAI-induced early histopathological damage(15,16).
Ionizing radiation from RAI in lacrimal cells and adjacent organs leads to production of free oxygen radicals, which is the main cause of unwanted RAI-induced oxidative damage(17). Free oxygen radicals can interact and destroy cell membranes and organelles(18). Depending on the oxidative mechanism, most radioprotective agents studied so far have been antioxidants.
It is well-known that zinc is an essential antioxidant mineral. The beneficial antioxidant and/or radioprotective effects of zinc to eye diseases, such as age-related macular degeneration, have been supported by many studies(19-23). Zinc plays an important role in nucleic acid metabolism, cell growth and differentiation, and wound healing, while zinc deficiency can result in various disorders, such as growth and cognitive impairment, immune dysfunction, malabsorption syndrome, alopecia, epidermal disorders, and chronic liver diseases(24,25).
This study aimed to investigate the possible short-term (1 week) and long-term (8 weeks) protective effects of zinc administration against histopathological changes associated with RAI-induced dysfunction of the rat lacrimal glands.
METHODS
The study protocol was approved by the Local Ethics Committee of Animal Experiments of Dışkapı Yıldırım Beyazıt Animal Laboratory (Ankara, Turkey) and was conducted in accordance with the Association for Research in Vision and Ophthalmology Statement for the Use of Animals in Ophthalmic and Visual Research.
About 40 Wistar albino female rats aged 6-10 months and weighing 250-300 g were housed under standard laboratory conditions with a constant temperature of 21 ± 2°C and a relative humidity of 65-70% under 12-h light/dark cycle, and were fed standard rat chow and water ad libitum. The rats were acclimated for at least 1 week before the study and then were divided into two groups: an RAI group (n=20), which received 3 mCi of 131I and 1 mL of physiologic saline by gastric gavage(26), and a zinc group (n=20), which received 3 mCi of 131I and 1 mL of physiologic saline containing zinc sulfate (Zinco®; Berko Ilaç ve Kimya San. A.S., Istanbul, Turkey) at a concentration of 10 mg/kg body weight by gastric gavage(23). The physiologic saline and zinc were administered 2 days before the RAI therapy and were continued for 5 days posttherapy. Corneal fluorescein staining (CFS) and meniscometry testing were performed for all rats. The tear function tests were repeated for all rats, 1 week after administration of 131I, and half of the rats (n=10, each group) were then sacrificed and their extraorbital lacrimal glands were removed bilaterally for histopathological examination. The remaining animals in both groups (n=19, one rat in the RAI group died due to an unknown cause) underwent tear function tests, 8 weeks after administration of 131I; moreover, the rats were sacrificed and their extraorbital lacrimal glands were removed. During these procedures, the rats were immobilized by intraperitoneal injection of 50 mg/kg of propofol (Abbott, Istanbul, Turkey).
Tear function testing
The tear volume of the right eyes of the rats was measured using Strip Meniscometry Tubes (SMTube®, Echo Electricity Co., Ltd., Japan), which is a recently developed, simple, swift, and noninvasive method that is well-correlated with the conventional Schirmer's test, as described in detail elsewhere (Figure 1 A)(27). In brief, a tear-absorbing strip was applied to the conjunctival sac of the lower eyelid for 5 s. The quantity of wetness was interpreted as tear volume in millimeters (mm) (Figure 1 B).

Figure 1 A) Administration of a meniscometry tube strip on left eye of a rat. B) A representative tear volume test result. In this case, the test demonstrated a quantity of wetness equal to 4 mm. C) Evaluation of corneal fluorescein staining of the rat eye with a cobalt blue filter.
CFS of the left eyes of the rats was performed using a cobalt blue filter under a slit-lamp microscope, as described in detail elsewhere (Figure 1 C)(28). In brief, the degree of corneal staining was graded using a 16-point scale 90 s after application of 1 µL of 1% fluorescein.
Pathological analysis
The lacrimal glands were fixed in 10% neutral buffered formalin (pH 7.2-7.4), embedded in paraffin, and sliced into 4 µm-thick paraffin sections, which were stained with hematoxylin and eosin, and then observed under a light microscope (Olympus BX-50; Olympus Corporation, Tokyo, Japan) at 40- to 400-fold magnification in a masked fashion. The first three sections and every 10th section thereafter were stained. All of the stained sections, approximately 15 slides per specimen for the extraorbital lacrimal glands, were studied. Histopathological changes were evaluated according to a previously published grading system by an experienced animal pathologist (NY)(29).
Data analysis
Quantitative variables are presented as the mean ± standard deviation (SD) and minimum and maximum values. Nominal data are presented as frequencies and percentages. The results of the Shapiro-Wilk test showed that the data were not normally distributed. Comparisons of quantitative variables among groups were assessed using the nonparametric Mann-Whitney U test. The Friedman test was used to assess differences among time points (baseline, week 1, and week 8). The chi-square test, Fisher's exact test, and Fisher-Freeman-Halton test were used to compare qualitative measurements among groups. All statistical analyses were performed using IBM-SPSS software (ver. 21.0; IBM-SPSS, Inc., Chicago, IL, USA). A probability (p) value <0.05 was considered statistically significant.
RESULTS
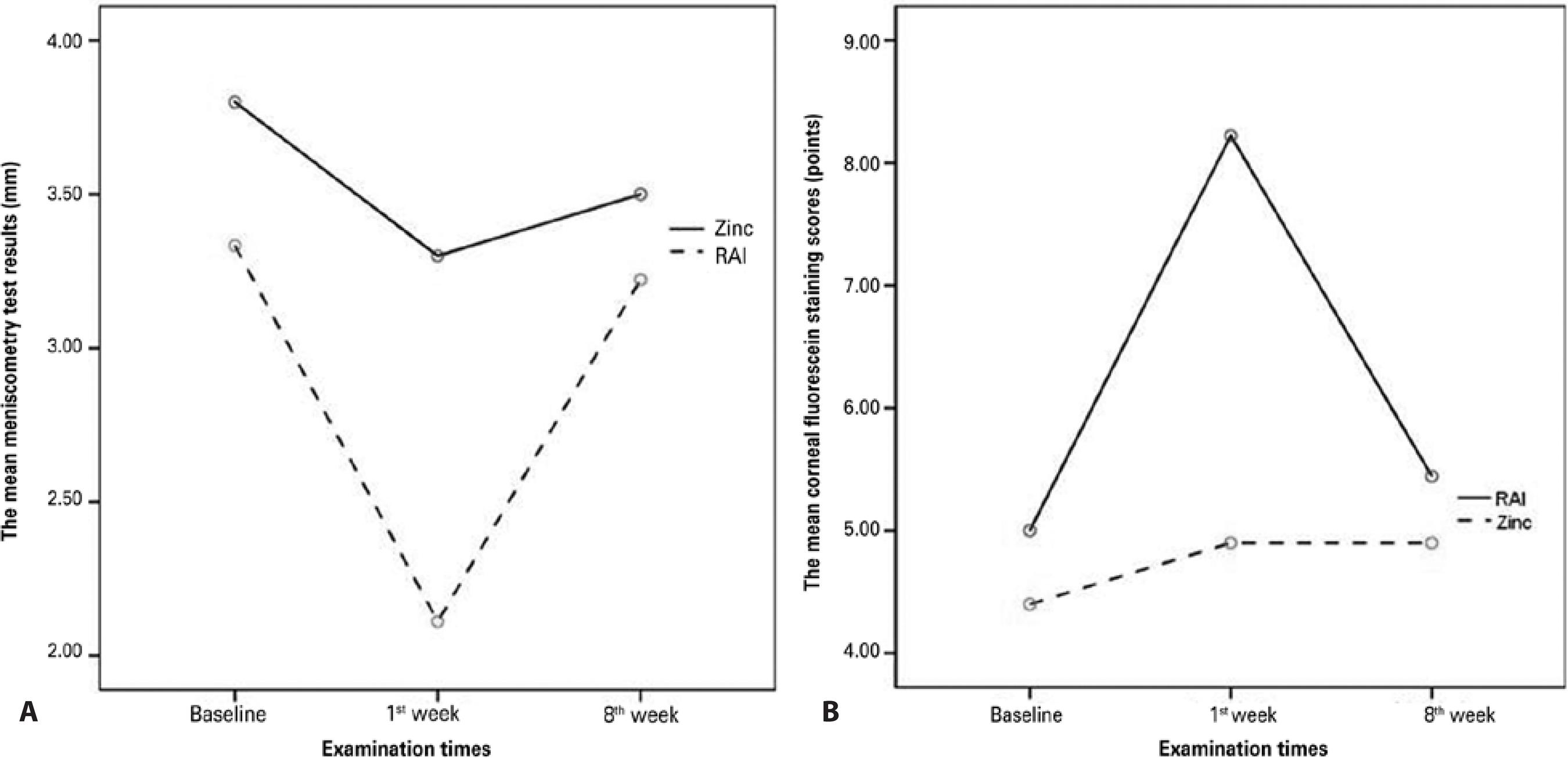
The mean meniscometry test results for the RAI and zinc groups were 3.75 ± 1.55 and 3.65 ± 1.53 mm at baseline, 2.10 ± 1.07 and 3.30 ± 1.34 mm (p=0.004) at week 1, and 3.22 ± 1.48 and 3.50 ± 1.78 mm at week 8, respectively (Table 1, Figure 2 A). The mean CFS scores of the RAI and zinc groups were 4.65 ± 2.16 and 4.80 ± 2.21 points at baseline, 7.85 ± 1.90 and 5.45 ± 2.06 points (p=0.001) at week 1, and 5.44 ± 2.13 and 4.90 ± 2.08 points (p=0.604) at week 8, respectively (Table 1, Figure 2 B).
Table 1 Tear function test results of the RAI and zinc groups
| Baseline | Week 1 | Week 8 | |||||||||
|---|---|---|---|---|---|---|---|---|---|---|---|
| Tear function tests | RAI (n=20) | Zinc (n=20) | p | RAI (n=20) | Zinc (n=20) | p | RAI (n=9) | Zinc (n=10) | p | ||
| Meniscometry (mm) | 3.75 ± 1.55 | 3.65 ± 1.53 | 0.804 | 2.10 ± 1.07 | 3.30 ± 1.34 | 0.004* | 3.22 ± 1.48 | 3.50 ± 1.78 | 0.780 | ||
| Mean ± SD | |||||||||||
| CFS (point) | 4.65 ± 2.16 | 4.80 ± 2.21 | 0.848 | 7.85 ± 1.90 | 5.45 ± 2.06 | 0.001* | 5.44 ± 2.13 | 4.90 ± 2.08 | 0.604 | ||
| Mean ± SD | |||||||||||
CFS= corneal fluorescein staining; statistical analysis= Mann-Whitney U test.
*= statistically significant.

Figure 2 A) The mean meniscometry test results and B) mean corneal fluorescein staining scores at baseline, week 1, and week 8.
Variation in cell shape (p=0.001), variation in cell size (p=0.023), poorly defined acidophilic cell outlines (p=0.023), abnormal lobular pattern (p=0.005), abnormal peripheral basophilia (p=0.001), the existence of periductal infiltration (p=0.023), perivascular infiltration (p=0.005), and irregular nucleus shape (p=0.004) were less frequently observed in the zinc group than in the RAI group during the pathology sections from week 1 (Tables 2 and 3, Figures 3 and 4).
Table 2 Morphological parameters of rat extraorbital lacrimal glands in the RAI and zinc groups
| Week 1 | Week 8 | ||||||
|---|---|---|---|---|---|---|---|
| Morphologic parameters | RAI group (n=10) | Zinc group (n=10) | p | RAI group (n=9) | Zinc group (n=10) | P | |
| Cell shape variation (+) | 9 | 1 | 0.001* | 2 | 1 | 0.582 | |
| Cell size variation (+) | 8 | 2 | 0.023* | 2 | 1 | 0.582 | |
| Poorly defined acidophilic cell outlines (+) | 8 | 2 | 0.023* | 3 | 2 | 0.628 | |
| Abnormal lobular pattern (+) | 9 | 2 | 0.005* | 2 | 2 | 1.000 | |
| Abnormal peripheral basophilia (+) | 10 | 2 | 0.001* | 3 | 2 | 0.628 | |
| Periductal / periaciner fibrosis (+) | 1 | 0 | 1.000 | 7 | 2 | 0.023* | |
| Periductal infiltration (+) | 8 | 2 | 0.023* | 3 | 1 | 0.303 | |
| Perivascular infiltration (+) | 8 | 1 | 0.005* | 2 | 0 | 0.211 | |
Statistical analysis= Fisher’s exact test;
*= statistically significant.
Table 3 Histological findings according to the nuclear characteristics of rat extraorbital lacrimal glands in the RAI and zinc groups
| Week 1 | Week 8 | ||||||
|---|---|---|---|---|---|---|---|
| Nucleus shape | RAI group (n=10) | Zinc group (n=10) | p | RAI group (n = 9) | Zinc group (n=10) | p | |
| Small with smooth rounded | 1 | 8 | 0.004* | 6 | 8 | 0.510 | |
| Large single irregular nodular | 4 | 2 | 3 | 2 | |||
| Large double irregular nodular | 5 | 0 | 0 | 0 | |||
Statistical analysis= Pearson’s chi-square;
*= statistically significant.

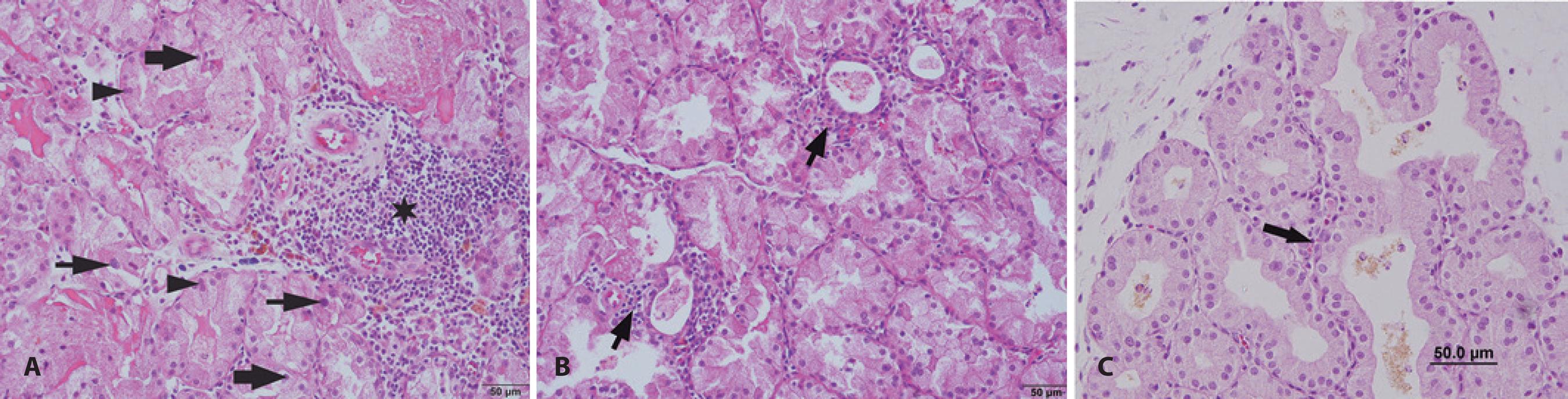
Figures 3 Representative histopathologic findings of the extraorbital lacrimal glands (3) at week 1 and (4) week 8. (Hematoxylin and eosin staining, figure 2 and figure 3 B: x20 magnification; bar: 50 µm, Figure 3 A: x10 magnification; bar: 100 µm). A) In the RAI group, the figure shows severe inflammation, periductal and perivascular infiltration (asterix), double irregular nucleus shape (arrowheads), atypical cell size (thin arrows), and atypical cell shape (thick arrows). B) In the zinc group, the figure shows decreased inflammatory changes (arrows). C) In the zinc group, the figure shows decreased periductal infiltration (arrow).

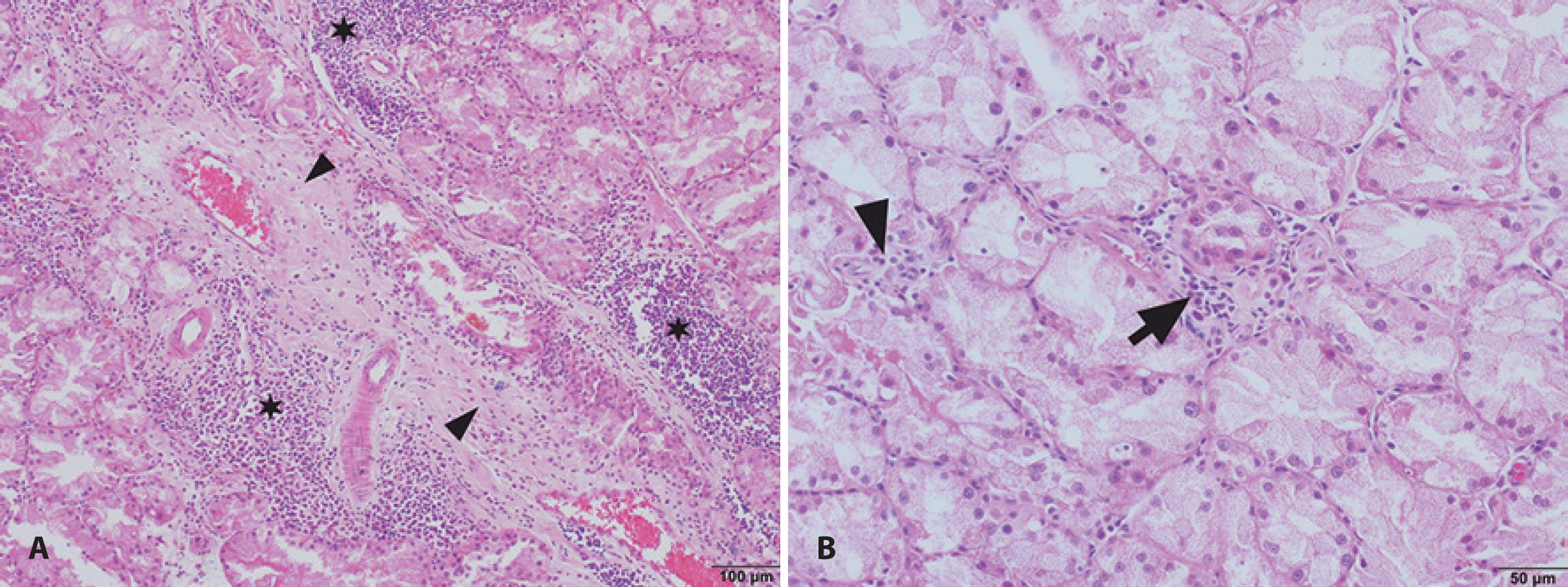
Figure 4 Representative histopathologic findings of the extraorbital lacrimal glands (3) at week 1 and (4) week 8. A) In the RAI group, the figure shows inflammatory changes (asterics) and severe fibrosis (arrowheads). B) In the zinc group, the figure shows decreased inflammatory changes (arrow) and much less fibrosis (arrowhead).
The existence of periductal and/or periacinar fibrosis (p=0.023) was less frequently observed in the zinc group than in the RAI group in the pathology sections from week 8 (Table 2). Other pathological findings were similar between groups at week 8.
DISCUSSION
Administration of RAI is a widely accepted treatment modality for thyroid diseases; however, besides its therapeutic effects on thyroid tissue, ionizing radiation may cause cellular oxidative damage both directly (by disruption of DNA integrity) and indirectly (by free oxygen radical production)(30). Although the exact mechanism of RAI-induced lacrimal gland damage remains obscure, NIS function is suspected to be involved. It has been shown that NIS proteins are expressed in lacrimal glands(31), suggesting that RAI is taken up by lacrimal gland cells via NIS, which may be the main cause of lacrimal gland dysfunction following RAI therapy.
Solans et al.(7) found that the subjective symptoms of lacrimal gland dysfunction were consistent with ocular dryness and both were relatively common in patients following RAI therapy. Fard-Esfahani et al.(8) reported that high-dose RAI therapy caused a reduction in tear secretion by the lacrimal glands and that symptoms of dry eye syndrome, such as redness and burning sensation, occurred significantly more often in the RAI exposed group (p=0.003 and 0.001, respectively); however, foreign body sensation was similar between the exposed and unexposed groups (p=0.279). We previously investigated the effects of low-dose (≤30 mCi) RAI treatment on lacrimal gland function and found that even low-dose RAI caused a decrease in Schirmer's and break up time tests values, and an increase in ocular surface disease index and impression cytology scores(9).
Although amifostine is the only drug approved by the Food and Drug Administration for prevention of xerostomia during radiotherapy, a recently published study claimed that it is ineffective(32). In this review study, the authors defended that amifostine has no significant radioprotective effect on RAI-induced salivary gland damage in patients with differentiated thyroid cancer. Amifostine administration has also several side effects that limit its use, such as emesis, hypotension, somnolence, and sneezing, and less commonly a metallic taste, hypocalcemia, flushing, chills, weakness, and idiosyncratic reactions. Therefore, it is necessary to develop a radioprotective agent that is effective, safe, easily available, easily administered, and cost effective.
Miao et al.(19) indicated that 3-month zinc therapy entirely prevented the pathological changes associated with diabetes, such as oxidative damage, inflammation, and remodeling, in the aorta of diabetic mice. In addition, they found that zinc therapy provided an increase in the function and expression of the potent antioxidant nuclear factor like-2. Dani et al.(20) found that zinc supplementation to RAI-treated rats significantly attenuated the adverse effects of RAI by altering the levels of malondialdehyde, glutathione, superoxide dismutase, and catalase. They also found that significant oxidant/antioxidant changes occurred in the red blood cells of the rats following RAI administration, while zinc has been shown to act as a radioprotector. Furthermore, Dhawan et al.(21) suggested that zinc sulfate may be a promising radioprotective agent for the thyroid gland. Accordingly, the opinion that zinc can prevent RAI-induced damage due to its antioxidative properties, has gained weight.
Zinc is a well-known trace element that plays crucial roles in various pathways, especially cellular growth and differentiation. Gong et al.(33) investigated the effects of zinc deficiency on the cornea and conjunctiva of rats by electron microscopy and mass spectrometry, and identified growth defects of the microvilli and microplicae of the ocular surface tissues, a reduction in the number of conjunctival goblet cells, and alterations in the levels of other trace elements and vitamin C in zinc-deficient rats(33). Similarly, Kanazawa et al.(34) evaluated the effects of zinc and vitamin A separately on the ocular surface of rats by creating five different groups, and found a synergistic interaction between zinc and vitamin A for the healthy maintenance of the ocular surface epithelium(34).
We previously reported the results of two studies about the effects of two separate radioprotective agents (vitamin E and lycopene) on acute RAI-induced lacrimal gland damage(15,16); however, the chronic effects of antioxidants on the lacrimal glands were not evaluated and tear function testing was not conducted in these former studies. In another reported study, Koca et al.,(14) investigated whether RAI treatment causes morphological damage to rat lacrimal glands and whether montelukast sodium has protective effects against RAI-induced long-term (3 months) lacrimal gland damage; however, the acute adverse effect of RAI treatment was not investigated and the tear function test was not conducted, as in our former studies. Nonetheless, these results showed that RAI application resulted in atrophy and fibrosis of the rat lacrimal glands 3 months after RAI administration, and that intraperitoneal montelukast sodium application prevented the negative effects of RAI without hampering ablation of the thyroid gland. In these three studies, all of the lacrimal glands (harderien, extraorbital, and intraorbital) were removed for histopathological examination; whereas, in this study, only the extraorbital lacrimal glands of rats were removed because the extraorbital lacrimal gland is the most accessible.
The study aimed to evaluate the short- and long-term radioprotective activity of zinc. The results demonstrated that tear function was adversely affected by RAI application and zinc treatment protected against these adverse effects, especially in the acute period. Furthermore, variations in cell shape and size, poorly defined acidophilic cell outlines, abnormal lobular pattern and peripheral basophilia, the existence of periductal and perivascular infiltration, and irregular nuclear shape were less frequently observed in the pathology sections at week 1 of the zinc group than in the RAI group, and periductal and/or periacinar fibrosis was observed in the extraorbital lacrimal glands at week 8. In particular, the results of the tear function test and histopathological analysis of the RAI group at week 8 showed that the tear function tests improved to baseline levels and the lacrimal glands were histopathologically healed, as compared to week 1. Hence, long-term zinc treatment following RAI administration is not needed. As fibrosis is a result of the lacrimal gland damage in the long term, only periductal and/or periacinar fibrosis was statistically significant at week 8 between the two groups.
There were some limitations to this study that should be addressed. First, to maintain compliance with the "reduction principle in animal experiments," a relatively small number of rats were tested. Second, other tear function tests (e.g., tear break up time test, impression conjunctival cytology, etc.), which are easy to administer to humans, were not conducted(9).
The results of this study showed that zinc treatment is effective in preventing RAI-induced lacrimal gland damages in rats, especially in the acute period. In the future, ophthalmologists can chose the cheapest, most accessible, and most harmless antioxidant agents for planned RAI treatment after confirming these positive results in clinical studies.
English PDF
Print
Send this article by email
How to cite this article
Submit a comment
Mendeley
Scielo
Pocket
Share on Linkedin

