INTRODUCTION
Pterygia develop from the growth of fibrovascular tissue of bulbar conjunctiva into the interpalpebral area of the cornea. Although the pathogenesis is not completely understood, oxidative stress, immunogenic mechanisms, anti-apoptosis, extracellular matrix remodeling, angiogenesis, viral infections, and genetic factors are considered to be contributing factors. Epidemiological studies have shown that chronic ultraviolet exposure has a major role in pterygium pathogenesis(1). Ultimately, chronic inflammation due to some or all of the above factors probably causes fibrovascular proliferation. Cytokines, growth factors, stem cell factors, and pro-angiogenic factors may all have a role in inflammation and fibrovascular proliferation of pathogenesis of pterygium(1). It has been shown that the expression of human alpha-defensin, which is an antimicrobial peptide (AMP), is increased in the tears of patients with pterygia because of fibrovascular proliferation or associated inflammation(2). In addition, it has been reported that some AMPs may be stimulated by proinflammatory cytokines, such as interleukin (IL)-1 alpha, IL-1 beta, and tumor necrosis factor-alpha(3,4).
AMPs provide one of the defense mechanisms that are part of the innate immune response against exogenous pathogens. AMPs are divided into two major groups: defensins and cathelicidins. Human defensins are also divided into two groups: alpha and beta(5). Human beta-defensins (HBD) have four subgroups (1 to 4) and are primarily expressed in epithelial tissues. However, HBD-1 and -2 are also present in immune cells, such as monocytes, macrophages, and dendritic cells(6). It has been shown that the expressions of HBD-2 and -3 are stimulated by some cytokines(3-7). Although HBD-1 and -3 have been found in healthy corneal and conjunctival epithelial cells, HBD-2 expression has not been found or is present only at very low levels in normal cells. On the other hand, HBD-2 expression has been found to be increased in inflammatory cells related to dry-eye syndrome(3,4). Cathelicidins are the second group of AMPs. In humans the group is represented only by cathelicidin LL-37 (LL-37), a molecule that is expressed in corneal and conjunctival epithelial cells(8,9). This peptide has also been found to be expressed after corneal epithelial trauma and in response to some bacterial infections(10,11).
In previous studies, increased human alpha-defensin has been found in the tears of patients with pterygia(2), and increased expression of HBD-2 has been found in conjunctival impression cytological specimens of patients with dry-eye syndrome(3). To our knowledge, this is the first report of AMP expression in pterygium specimens in the literature. In this study, our aim was to investigate the expression of HBDs and cathelicidin in pterygium specimens, and whether their presence correlated with disease severity.
METHODS
Inclusion criteria and data collection
The multicenter study protocol was carried out in accordance with the Helsinki Declaration as revised in 2013 and was approved by the local ethics committee. Written informed consent was obtained from each subject before surgery. The unused tissue specimens from our previous study, entitled “GST levels in patients with pterygium”(12), were included in the study. Written informed consent allowing their tissue to be used for investigational testing was obtained from each subject before surgery in the previous study(12).
Patient details and specimens
Twenty-six pterygium specimens and 15 control specimens of otherwise healthy patients who were undergoing cataract or strabismus surgery were included in the study. A detailed ophthalmic examination was performed for each patient, and pterygia were graded as follows: grade 1, a pterygium that did not prevent the visibility of episcleral vessels and had only mild inflammatory clinical signs; grade 2, episcleral vessels that could be partly seen and presence of moderate inflammatory signs; grade 3, a relatively thick pterygium that completely prevented the visibility of episcleral vessels and had severe inflammatory signs. Excised pterygium tissue and 1 x 2-mm specimens of conjunctival tissue from the control eyes were sent to the Pathology Department for immunohistochemical staining. Unused specimens from the previous study were prepared again by the staff of the Pathology Department for immunohistochemical staining.
Immunohistochemical staining technique
Biopsies were fixed immediately in 10% buffered formalin and embedded in paraffin blocks. Sections were cut 4-µm thick, and one section was stained with hematoxylin and eosin to assess the tissue morphology and tumor score. For immunohistochemistry, endogenous peroxidase activity was blocked by incubating the sections in 1% hydrogen peroxide (v/v) in methanol for 10 minutes at room temperature (RT). The sections were subsequently washed in distilled water for 5 minutes, and antigen retrieval using 0.01M citrate buffer (pH 6.0) in a domestic pressure cooker was performed for 3 minutes. The sections were transferred in 0.05M Tris-HCl (pH 7.6) containing 0.15M sodium chloride Tris-buffered saline (TBS). After washing with water, the sections were incubated at RT for 10 minutes with super block (SHP125) (ScyTek Laboratories, Logan, UT, USA) to block nonspecific background staining. The sections were then covered with the primary antibodies diluted 1:300 for anti-HBD-3, 1:400 for anti-HBD-2, 1:350 for anti-HBD-1, and 1:50 for anti-LL-37 in TBS at 4°C overnight. Anti-HBD-1 (PA1450) was obtained from Boster Bio., Pleasanton, CA, United States., anti-HBD-2 (sc-59494) was from Santa Cruz Inc., Santa Cruz, CA, USA, USA; anti-HBD-3 (NB200-117) was from Novus Biologicals Inc., Littleton, CO, USA; and LL-37 (sc-166770) was from Santa Cruz Biotechnology Inc., Santa Cruz, CA, USA, USA).
After washing in TBS for 15 minutes, the sections were incubated at RT in biotinylated link antibody (SHP125) (ScyTek Laboratories). Then, treatment was followed with Streptavidin/HRP complex (SHP125) (ScyTek Laboratories). Diaminobenzidine was used to vi sualize peroxidase activity in the tissues. Nuclei were lightly counterstained with hematoxylin, and then the sections were dehydrated and mounted. Both positive and negative controls were included in each run. The positive controls consisted of sections of spleen tissues for LL-37, skin tissues for HBD-3, kidney tissues for HBD-1, and colon-bladder tissues for HBD-2. TBS was used in place of the primary antibody for negative controls.
Histopathological evaluation
Light microscopy of immunohistochemically stained sections was performed by a pathologist and a biologist who had no knowledge of the patients’ clinical information. Distribution, localization, and characteristics of the immunostaining were recorded. Brown color in the cytoplasm and/or nuclei of epithelial cells of the epidermis’ basal layer were considered as positive staining. Scoring was also performed by two observers unaware of the patient data. Scoring differences between the observers were resolved by consensus. For each antibody, the intensity of the reaction (negative [-], weak [1+], moderate [2+], or strong [3+]) was determined to describe the immunoreactions.
Statistical analysis
Statistical analyses were performed by using the SPSS software version 16 (SPSS Inc., Chicago, IL, USA). Descriptive statistical methods (mean, standard deviation, median, frequency, ratio, minimum, maximum), the Mann-Whitney U test and chi-square test were used in the evaluation of this study’s data. The Wilcoxon signed rank test was used for unequally distributed data in group comparisons. The Spearman correlation test was used for evaluating the data between groups. P values <0.05 were accepted as indicating statistical significance.
RESULTS
Baseline characteristics
This study included 26 primary pterygium tissue specimens (11 males, 15 females) and 15 control (9 males, 6 females) subjects’ specimens. The pterygium group involved 16 grade 2 and 10 grade 3 pterygium tissue specimens. The median age was 52 years (range, 34-68 years) and 52 years (range, 29-64 years) in the pterygium group and control group, respectively. There were no significant differences in age and sex between groups (p=0.583, p=0.355 respectively) (Table 1).
Table 1 Demographic data and HBD and LL-37 levels in the study and control groups
| Pterygium (n) | Control (n) | P value | ||
|---|---|---|---|---|
| Age median (range) years | 52 (34-68) | 52 (29-64) | 0.583 | |
| Sex (F/M) | 11/15 | 9/6 | 0.355 | |
| HBD-1 | Negative (-) | 26 | 15 | 1.000 |
| Weak (1+) moderate (2+) | ||||
| Strong (3+) | ||||
| HBD-2 | Negative (-) | 11 | 15 | 0.002 |
| Weak (1+) moderate (2+) | 15 | |||
| Strong (3+) | ||||
| HBD-3 | Negative (-) | 25 | 14 | 0.883 |
| Weak (1+) moderate (2+) | 01 | 01 | ||
| Strong (3+) | ||||
| LL-37 | negative (-) | 26 | 15 | 1.000 |
| weak (1+) moderate (2+) | ||||
| strong (3+) | ||||
Immunohistochemical staining results
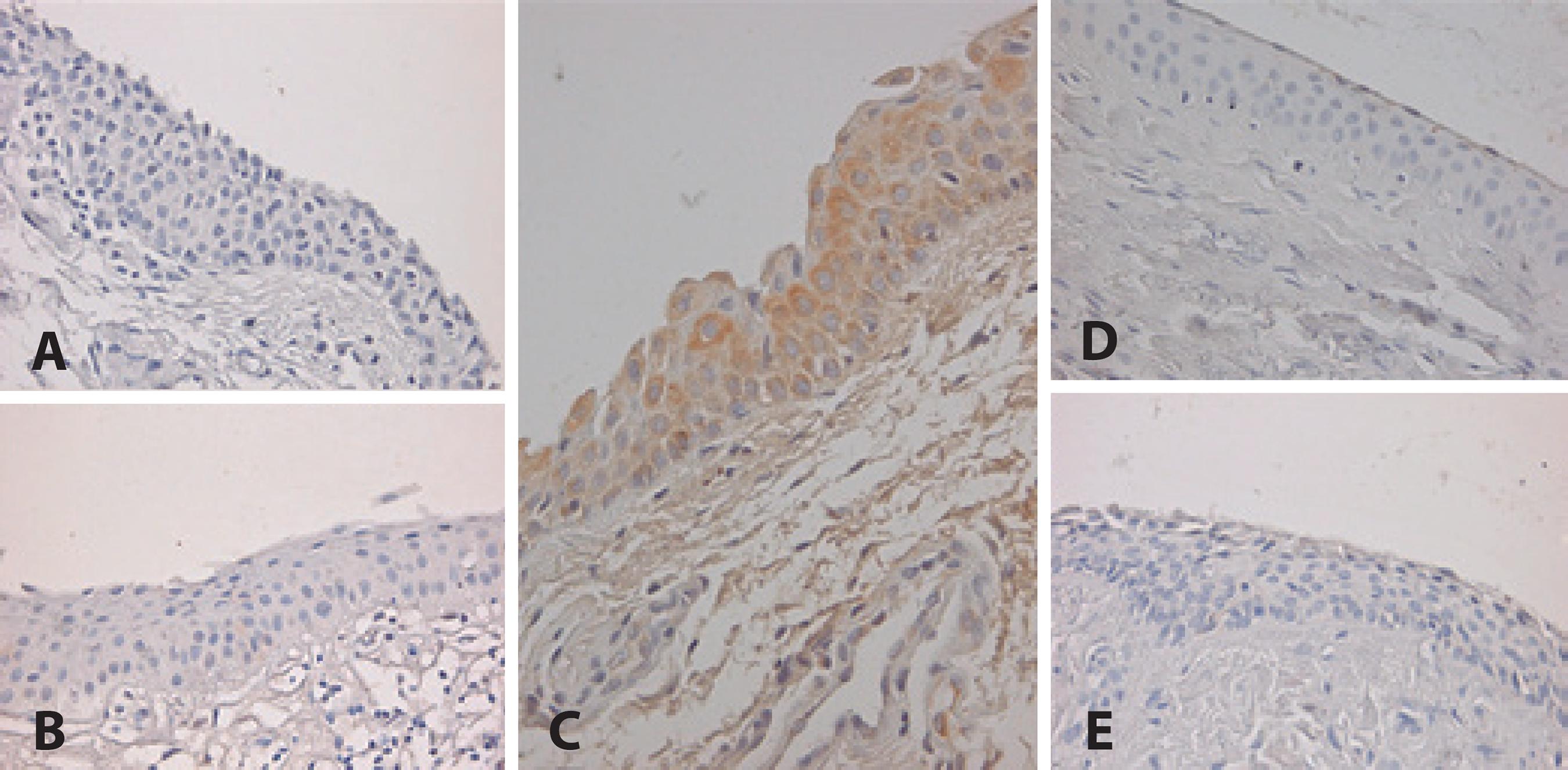
HBD-1, HBD-2, HBD-3, and LL-37 levels in both groups are shown in table 1. HBD-2 levels were statistically significantly higher in the pterygium group than in the control group (p=0.002) (Figure 1). No significant differences in HBD-1 levels (p=1.00), HBD-3 levels (p=0.883), and LL-37 levels (p=1.00) were found between the pterygium group and control group (Table 1 and Figure 1).

Figure 1 The expressions of human beta-defensins (HBDs) and cathelicidin peptides in pterygium shown with immunohistochemical staining. A) Negative HBD-2 expression. B) Negative HBD-1 expression. C) 2 positive HBD-2 peptide expressions. D) Negative HBD-3 expression; and E) Negative LL-37 expression
There was no statistically significant correlation between the pterygium grade and HBD-2 level (r=0.090, p=0.661) (Table 2).
DISCUSSION
In this study, we determined if the AMPs of HBD-1, HBD-2, HBD-3, and LL-37 were associated with pterygium pathogenesis. We found a higher level of HBD-2 in pterygium specimens than in controls, but HBD-1, HBD-3, and LL-37 levels were similar between the groups.
AMPs serve as a member of the innate immune system on the ocular surface. These peptides are multifunctional and have nu me rous properties, including proliferation, cytokine production, chemotaxis, mast cell stimulation, and histamine release in addition to antimicrobial effects(5). Although HBD-1 was first extracted from human plasma, it is primarily present in epithelial tissues, such as airway epithelium, urogenital tissues, nasolacrimal ducts, and mammary glands. The expressions of HBD-2 and HBD-3 from various epithelial tissues appear to be stimulated by bacterial products and cytokines. We did not investigate HBD-4 expression(13) because it has only been reported to be expressed from testis and epi didymis(4-8). Corneal and conjunctival epithelial cells mainly express HBD-1 and HBD-3, whereas HBD-2 expression results from various stimulants. It has been found that HBD-2 expression from corneal epithelial cells was upregulated as a result of stimulation from ba c terial lipopolysaccharides via tyrosine kinase and p38 mitogen-activated protein kinase activation(14). It has also been shown that HBD-2 expression was upregulated from corneal(15) and conjunctival(16) epithelial cells from proinflammatory cytokines, such as IL-1 and tumor necrosis factor-alpha.
McDermott et al. showed HBD-2 levels to increase in a corneal epithelial wound healing model in an in vitro organ culture media(17). In two studies on patients with dry-eye syndrome with an inflamma tory component, HBD-2 upregulation was found in conjunctival impression cytological specimens(16,18). The authors emphasized that HBD-2 upregulation might be due to the activity of proinflammatory cytokines(16).
In the other subgroup of AMPs, cathelicidins, only LL-37 exists in humans and is expressed from corneal and conjunctival epithelial cells. This peptide expression is a response to corneal epithelial trauma and is found to be elevated in bacterial infections because of Pseudomonas aeruginosa and Staphylococcus aureus. In addition, it is the major component of neutrophil granules, as in some defensins, and may be stimulated by some cytokines(7,19,20,21). Moreover, LL-37 has properties, such as chemotaxis, histamine release from mast cells, dendritic cell differentiation, and cytokine release, similar to those of defensins(7).
In previous studies, HBD-1 and HBD-3 expressions were found mainly in the presence of infections, whereas HBD-2 and LL-37 have been shown to be expressed following injury and inflammation in addition to infection(3,4,7,13-21). In our study, we did not find any differences in HBD-1, HBD-3, and LL-37 expressions between pterygium tissue and normal tissue, whereas HBD-2 expression was significantly higher in pterygium specimens. This finding suggests that HBD-2 may be associated with the inflammation involved in pterygium pathogenesis.
Zhou et al. found that human alpha-defensin 1 and 2 expressions were increased in tears of patients with pterygia. Those authors stated that the molecules might be related to inflammation or fibrovascular proliferation in pterygium(2). In our study, we assessed beta-defensins and cathelicidin as opposed to alpha-defensin. Our study is the first to compare HBD and cathelicidin expressions in pterygium specimens with normal tissues.
We found high-level expression of HBD-2, an AMP, in specimens of pterygium. HBD-2 may have an important role in pterygium pathogenesis. Further studies are necessary to determine if HBD-2 causes the release of inflammatory cytokines or if inflammatory cytokines elicit HDB-2 expression.
English PDF
Print
Send this article by email
How to cite this article
Submit a comment
Mendeley
Scielo
Pocket
Share on Linkedin

