Ayse Ipek Akyuz Unsal1; Yesim Basal2; Serap Birincioglu3; Tolga Kocaturk1; Harun Cakmak1; Alparslan Unsal4; Gizem Cakiroz5; Nüket Eliyatkın6; Ozden Yukselen7; Buket Demirci5
DOI: 10.5935/0004-2749.20180012
ABSTRACT
Purpose: To investigate the potential effects of chronic exposure to a nasal decongestant and its excipients on ocular tissues using an experimental rat model.
Methods: Sixty adult male Wistar rats were randomized into six groups. The first two groups were control (serum physiologic) and Otrivine® groups. The remaining four groups received the Otrivine excipients xylometazoline, benzalkonium chloride, sorbitol, and ethylene diamine tetra acetic acid. Medications were applied into both nostrils twice a day for 8 weeks. Before the rats were sacrificed, epithelial staining, the Schirmer test, and intraocular pressure measurements were performed under ketamine/xylasine anesthesia (50 and 5 mg/kg, respectively).
Results: Epithelial defects and dry eye were common findings in all study groups. Cataracts developed in two cases clinically. Histopathological evaluation revealed many different pathological alterations in all parts of the ocular tissues such as corneal edema, polypoid proliferation and hyalinization of the vessel wall, cystic formation of the lens, retinal nerve fiber layer degeneration, and corpora amylacea formation of the lacrimal gland.
Conclusions: Prolonged usage of the nasal decongestant xylometazoline and its excipients may cause ophthalmic problems such as dry eyes, corneal edema, cataracts, retinal nerve fiber layer, and vascular damage in rats. Although these results were obtained from experimental animals, ophthalmologists should keep in mind the potential ophthalmic adverse effects of this medicine and/or its excipients and exercise caution with drugs containing xylometazoline, ethylene diamine tetra acetic acid, benzalkonium chloride and sorbitol for patients with underlying ocular problems.
Keywords: Nasal decongestants/adverse effects; Animal, model; Tissues/drug effects; Eye/drug effects; Rats
RESUMO
Objetivo: Investigar os possíveis efeitos da exposição crônica de descongestionante nasal e seus excipientes em tecidos oculares, utilizando um modelo experimental com ratos.
Métodos: Sessenta ratos Wistar adultos machos foram divididos aleatoriamente em seis grupos. Os primeiros dois grupos foram controle (soro fisiológico) e Otrivina®. Os quatro grupos restantes receberam os excipientes de Otrivina, tais como Xilometazolina, Benzalcônio, Sorbitol e Ácido Etilenodiamino Tetracético (EDTA). Os medicamentos foram aplicados em ambas as narinas dos ratos, duas vezes ao dia, durante 8 semanas. Antes que os ratos fossem sacrificados, a coloração epitelial, o teste de Schirmer e a medida da pressão intraocular foram realizados sob anestesia com Ketamina/Xilasina (50 e 5 mg/kg, respectivamente).
Resultados: Defeitos epiteliais e olho seco foram achados comuns nos grupos de estudo. A catarata desenvolveu-se clinicamente em dois casos. A avaliação histopatológica revelou a existência de alterações em todas as partes dos tecidos oculares, tais como edema de córnea, proliferação polipoide e hialinização da parede vascular, formação cística da lente, degeneração da camada de fibra nervosa da retina (RNFL) e formação de corpos amiláceos da glândula lacrimal.
Conclusões: O uso prolongado do descongestionante nasal Xilometazolina e seus excipientes pode causar vários problemas oftalmológicos, como olho seco, edema de córnea, catarata, RNFL e dano vascular em ratos. Embora esses resultados tenham sido obtidos a partir de animais experimentais, os oftalmologistas devem ter em mente os potenciais efeitos oftalmológicos adversos desse medicamento e/ou de seus excipientes.
Descritores: Descongestionantes nasais/efeitos adversos; Modelo animal; Tecidos/efeito de drogas; Olho/efeito de drogas; Ratos
INTRODUCTION
In daily ophthalmology practice, clinicians encounter young individuals with ophthalmic problems such as cataracts, dry eyes, and vascular and retinal diseases with no explainable etiology. A familiar scenario to most ophthalmologists, two young male patients admitted to our clinic at different times complaining of cataracts with an unusual etiology served as the inspiration for this study. The only suspected cause was prolonged nasal decongestant usage by both patients.
Cataract formation is a common ophthalmologic problem. It is especially important to investigate the cause especially in young patients because cataracts can be the first sign of an important disease such as diabetes mellitus and patients are generally unaware of systemic problems. Although cataract etiology is well known and well understood, it is difficult to evaluate young patients with cataracts without any known cause. For these patients, the use of drugs applied locally such as aerosols as well as nasal and eye drops should be investigated as patients often do not consider these drugs worth mentioning to their doctors. Although nasal decongestants are associated with the troublesome complication of rhinitis medicamentosa, they are often prescribed to patients and may also be available from pharmacies without a prescription.
One of the most popular nasal decongestants is xylometazoline. It has been proven to be a fast and highly effective drug for the relief of nasal congestion for up to 10 h(1). Xylometazoline use is suggested for several days only to relieve common cold symptoms, but abuse of the drug is commonly encountered in daily practice. One of the earliest case reports was about a 1-month-old boy who was accidentally exposed to xylometazoline sprayed three times in each nostril and subsequently became intoxicated(2). Another case report was published about ischemic stroke in a young adult following the abuse of xylometazoline-containing nasal decongestant for 10 years(3). Glazener et al. also reported a case of bradycardia, hypotension, and near syncope associated with oxymetazoline nasal spray(4). It is clear that sympathomimetic decongestants may have a systemic adverse effect after absorption from the nasal mucosa. In spite of the numerous case reports describing the systemic side effects, studies establishing the ophthalmic effect of nasal decongestants are limited. The first case report is most likely that of a branch retinal artery occlusion in an otherwise healthy young man after excessive use of oxymetazoline, causing a drug-induced platelet fibrin embolus(5). Another case report described a 43-year-old man who developed blurred vision, metamorphopsia, and paracentral scotoma with xylometazoline(6). Buysschaert et al. described a 34-year-old male who used xylometazoline every 3 h in the last 2 years and presented with blurred vision due to papilloedema and hypertensive retinopathy(7).
As preservatives and excipients are combined with the active drug for many reasons, including increasing absorption, prolonging the shelf life, and preventing bacterial contamination of the pharmaceutical preparation, these additives may also be responsible for the aforementioned side effects. The effects of these excipients were therefore investigated separately in this study. Benzalkonium chloride (BAC), ethylene diamine tetra acetic acid (EDTA), and sorbitol can typically be found in these medications. The safety of these additives is as important as that of the active drug. For example, BAC is known to have corneal toxicity and is used to produce animal models of dry eye. EDTA can be toxic for corneal and conjunctival cells and sorbitol leads to cataract formation in diabetic patients(8-12).
This study was designed to investigate the potential effects of nasal decongestant agents and their excipients on ocular tissues following chronic exposure.
METHODS
Animals and experimental design
Male Wistar rats aged between 4 and 5 months were obtained from the Experimental Animal Center of Adnan Menderes University (ADU), and all experiments were performed according to the principles and guidelines approved by the ADU Animal Ethical Committee (HADYEK 2013/095). This study was designed as a randomized case control experimental animal study.
The rats were kept under standard pathogen-free conditions and fed with forage and water. They were randomly distributed to six subgroups, each containing 10 animals. The first group was the control group (serum physiologic) and the second group was the Otrivine® group. The remaining four groups received the Otrivine excipients xylometazoline (0.1%), BAC (0.1%), sorbitol (0.1%), and EDTA (0.01%). Otrivine® Nasal drop/spray was purchased from Novartis (Zentiva Saglik Urunleri, Istanbul, Turkey), 0.1% xylometazoline from R&G Chemicals (Surrey, UK), 0.01% BAC and 0.01% EDTA from Fluka (Interlab, Izmir, Turkey), and 0.1% sorbitol from Sigma (Interlab, Izmir, Turkey). Rats were given nasal drops twice a day for 8 weeks to generate the chronic rhinitis medicomentosa rat model(13).
Clinical examination
On the study day, rats were given ketamine/xylasine intraperitoneally (50 and 5 mg/kg), respectively. Just before the sacrification procedure, the rats were placed in the appropriate position for examinations and one eye was used for the Schirmer test while the other was used for fluoresceine dye staining. Schirmer test paper was placed at the lower temporal part of the right lower eyelid, and the scale of the test paper was measured after 2 min. Corneal evaluation was performed after dropping 10% fluoresceine into the left eye and a handheld slit lamp was used to examine the corneal staining. The cornea was divided into three parts with two horizontal lines. Each part full of epithelial defects was marked by a plus symbol (+). Epithelial defects were classified as no finding (−), mild (+), moderate (++), and severe (+++). Afterward, the ocular pressure was measured with a Schiotz indentation tonometer three times for both eyes by the same masked researcher. The mean intraocular pressure (IOP) was calculated. After the rats were sacrificed, ocular tissues were kept in 10% formalin solution for histopathological assessment.
Histopathological analyses
Both the ocular and nasal specimens from rats in different groups were fixed in 10% neutral buffered formalin. After tissue preparation, the tissues were embedded in paraffin blocks. Samples 5 µm thick were prepared and stained with hematoxylin and eosin (H&E) for histological examination.
Data presentation and statistics
The Schirmer test results and IOP were assessed using unpaired Mann-Whitney U tests. The results were expressed as mean ± SEM of the groups.
RESULTS
Clinical findings
The examination results for the eyes are shown in table 1 for the Schirmer test, corneal epithelial defects (expressed with + to +++ according to the severity of the defect), IOP, and cataract development. Both EDTA (p<0.05) and Otrivine (p<0.01) caused dry eye. The most prominent damage was seen in the EDTA group. The IOP of the rats decreased significantly in all groups (p<0.001); Otrivine and EDTA led this category with 47.8% and 63% decrease, respectively. Cataracts developed in the BAC and xylometazoline groups (one case in each group).

Histopathological analyses
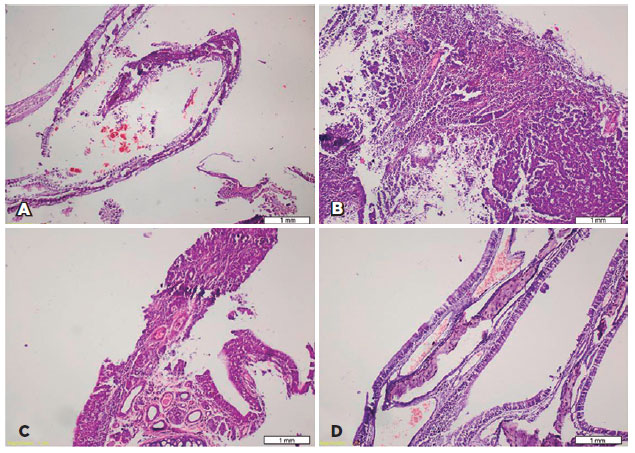
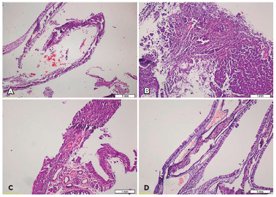
Nasal mucosal tissues showed serious histological findings of rhinitis medicamentosa such as edema, inflammation, hyperplasia of goblet cells, and squamous metaplasia. The most severe findings were in the xylometazoline and Otrivine® groups (Figure 1).
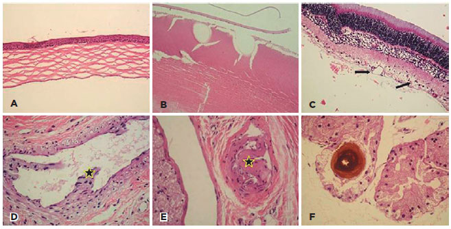
Histopathological findings for the ocular tissues in all groups are shown in table 2. One of the remarkable observations was the presence of retinal nerve fiber layer degeneration (RNFL) in the BAC, xylometazoline, Otrivine®, and sorbitol groups. EDTA side effects were observed on the lens and vessels (Figure 2).

DISCUSSION
Our study was inspired by two male patients who had undergone cataract surgery with a history of long-term nasal spray usage as self-medication (unpublished case observations). The ocular tissues were evaluated along with the nasal mucosa in an experimental rat model of rhinitis medicamentosa in the current study. None of the agents were dropped into the eyes, and all medications were applied for 8 weeks through a nasal route twice a day to develop the model(13). To avoid the estrogen effect, adult male rats were exposed to therapeutic concentrations of the nasal drugs and agents of the active ingredient. All of the agents were prepared and administered at the concentration used in routine practice.
Adrenergic agonists (dipivefrin, epinephrine, etc.) are used for glaucoma treatment mainly by increasing the effect of uveoscleral outflow; hence, xylometazoline and Otrivine® significantly reduced the IOP as expected(14). Interestingly, BAC, EDTA, and sorbitol also reduced the IOP. Although we could not assume the underlying mechanism, it seems that none of the aforementioned agents are responsible for glaucoma crises. Unfortunately, the IOP-decreasing effect of these agents is not clinically beneficial, because they are accompanied by some side effects such as lower Schirmer test results and epithelial defects. All of the study agents produced dry eye and epithelial defects clinically. We observed cataract development with xylometazoline and BAC, suggesting that overdose and prolonged usage of these drugs may cause cataracts in practice.
Topical sympathomimetic agents can trigger vasoconstriction, and long-term administration can lead to some complications(3,4,14). Kidney damage due to hypertensive nephrosclerosis and hyalinosis of kidney arterioles has been reported following chronic use of xylometazoline nasal spray for 2 years in a 34-year-old male patient(7). It has been shown that oxymetazoline produced tail necrosis and arterial thrombosis when rats were treated for 4 weeks(15). Similarly, we observed capillary hyalinization in the BAC group and endothelial polypoid proliferations in the Otrivine®, xylometazoline, BAC, and EDTA groups following 8 weeks of treatment. These vascular degenerations and chronic vasoconstriction can lead to ischemia similar to that seen in ocular ischemic syndrome (OIS) in daily practice(16). The present study and OIS studies have some common findings such as cataract, corneal edema, and retinal degeneration. An experimental model of OIS in rats showed that chronic bilateral common carotid artery occlusion causes early severe hypoxia on the inner retinal layers, supporting the most striking finding of the degeneration of RNFL associated with BAC, xylometazoline, Otrivine®, and sorbitol treatment in the current study(17). The pathophysiological explanation may be the same as that in a case report describing central serous chorioretinopathy after dacryocystorhinostomy operation and xylometazoline treatment(4).
BAC is used to stabilize drugs and prevent bacterial growth, whereas EDTA is used to buffer solutions(9). It is clear that new and safe excipients are required after the unwanted effects of the excipients are determined.
Drug delivery to the healthy eye is quite challenging because of the blood-eye and blood-retina barriers(14). After identifying the clinical and histopathological alterations in this study, we assume that anatomic barriers can fail to protect the eye, possibly due to extended exposure to drugs. Moreover, depending on the pharmacological properties of agents such as lipo-soluble, nonionic, small molecules, drug penetration, and tissue drug uptake time may be variable.
Clinicians should also be cautious about nasal interventions because nasal procedures may lead to iatrogenic ocular symptoms. Two similar case reports have been published, one regarding transient unilateral mydriasis after nasal reconstruction surgery, probably due to nasal epinephrine usage, and another regarding unilateral mydriasis due to xylometazoline usage following a septoplasty operation(18,19). Although the findings of our study are not pathognomonic, these drugs may cause several serious clinical diseases such as cataracts and loss of vision.
In conclusion, ophthalmologists should keep in mind that xylometazoline and its excipients including EDTA, sorbitol, and BAC may cause ocular tissue damage in varying locations and forms such as the cornea/edema, lens/cataract, retina/RNFL degeneration, and lacrimal gland/corpora amylacea even if they are applied to nasal mucosa and other neighboring tissues. Over-the-counter drugs containing the aforementioned agents may have these potential side effects; therefore, their use should be carefully monitored by healthcare professionals to ensure rational drug therapy.
REFERENCES
1. Eccles R, Martensson K, Chen SC. Effects of intranasal xylometazoline, alone or in combination with ipratropium, in patients with common cold. Curr Med Res Opin. 2010;26(4):889-99.
2. Thompson R. Nose-drop intoxication in an infant. JAMA. 1970; 211(1):123-4.
3. Leupold D, Wartenberg KE. Xylometazoline abuse induced ischemic stroke in a young adult. Neurologist. 2011;17(1):41-3.
4. Glazener F, Blake K, Gradman M. Bradycardia, hypotension, and nearsyncope associated with Afrin (oxymetazoline) nasal spray. N Engl J Med. 1983;309(12):731.
5. Magargal LE, Sanborn GE, Donoso LA, Gonder JR. Branch retinal artery occlusion after excessive use of nasal spray. Ann Ophthalmol. 1985;17(8):500-1.
6. Mondal L, Basu S, Baidya K, Bhaduri G. Central serous chorioretinopathy after dacryocystorhinostomy operation on the same side. Indian J Ophthalmol. 2009;57(1):57-8.
7. Buysschaert I, Van DJ, Dujardin K. Hypertensive crisis and end-organ damage induced by over-the-counter nasal decongestant abuse. Eur Heart J. 2011;32(24):3114.
8. Nagai N, Ito Y, Okamoto N, Shimomura Y. Decrease in corneal damage due to benzalkonium chloride by the addition of sericin into timolol maleate eye drops. J Oleo Sci. 2013;62(3):159-66.
9. Okahara A, Kawazu K. Local toxicity of benzalkonium chloride in ophthalmic solutions following repeated applications. J Toxicol Sci. 2013;38(4):531-7.
10. Xiao X, Luo P, Zhao H, Chen J, He H, Xu Y, et al. Amniotic membrane extract ameliorates benzalkonium chloride-induced dry eye in a murine model. Exp Eye Res. 2013;115:31-40.
11. Epstein SP, Ahdoot M, Marcus E, Asbell PA. Comparative toxicity of preservatives on immortalized corneal and conjunctival epithelial cells. J Ocul Pharmacol Ther. 2009;25(2):113-9.
12. Reddy PY, Giridharan NV, Balakrishna N, Validandi V, Pullakhandam R, Reddy GB. Increased risk of cataract development in WNIN-obese rats due to accumulation of intralenticular sorbitol. IUBMB Life. 2013;65(5):472-8.
13. Elwany S, Abdel-Salaam S. Treatment of rhinitis medicamentosa with fluticasone propionate-an experimental study. Eur Arch Otorhinolaryngol. 2001;258(3):116-9.
14. Novack GD, Robin AL. Ocular pharmacology. J Clin Pharmacol. 2016;56(5):517-27.
15. Dokuyucu R, Gokce H, Sahan M, Sefil F, Tas ZA, Tutuk O, et al. Systemic side effects of locally used oxymetazoline. Int J Clin Exp Med. 2015;8(2):2674-8.
16. Mendrinos E, Machinis TG, Pournaras CJ. Ocular ischemic syndrome. Surv Ophthalmol. 2010;55(1):2-34.
17. Lavinsky D, Arterni NS, Achaval M, Alexandre Netto C. Chronic bilateral common carotid artery occlusion: a model for ocular ischemic syndrome in the rat. Graefe's Arch Clin Exp Ophthalmol. 2006;244(2):199-204.
18. D'Souza MG, Hadzi A, Wider T. Unilateral mydriasis after nasal reconstruction surgery. Can J Anaesth. 2000;47(11):1119-21.
19. Shakeel M, Trinidade A, Khan I, Johnston G, Hussain A. Unilateral pupillary dilatation following septoplasty: cause for concern? J Coll Physicians Surg Pak. 2013;23(7):515-6.
Submitted for publication:
March 2, 2017.
Accepted for publication:
September 3, 2017.
Funding: This study was supported by research fund from Adnan Menderes University (TPF-14016).
Disclosure of potential conflicts of interest: None of the authors have any potential conflicts of interest to disclose.
Approved by the following research ethics committee: Adnan Menderes University for Animal Experiments (HADYEK # 2013/095).