Mário Pincelli Netto1,2; Pedro Vanalle Ferrari1,2; Bruno Torres Herrerias1,2; Flávio Eduardo Hirai1,2; Carolina Pelegrini Barbosa Gracitelli1,2
DOI: 10.5935/0004-2749.20180032
ABSTRACT
Differentiating glaucomatous from nonglaucomatous optic disc cupping remains challenging. We present a case of a 48-year-old woman with an internal carotid aneurysm of approximately 3.5 mm × 6.5 mm that mimicked normal-tension glaucoma. The patient had a 2-year history of low vision acuity in her left eye and frontal oppressive headache. Owing to the carotid aneurysm, she developed an asymmetric vertical cup-to-disc ratio above 0.2, and marked inferotemporal neuronal rim loss and pallor of the residual rim were noted in the left disc. She also developed a visual field defect with an arcuate scotoma in the left eye. The patient was referred to a neurosurgeon and underwent endovascular aneurysm occlusion. This case highlights the diagnostic importance of recognizing that many neurological defects remain underdiagnosed.
Keywords: Glaucoma/diagnosis; Carotid artery, internal; Ophthalmic artery/pathology; Aneurysm/diagnosis; Visual field; Differential diagnosis
RESUMO
diferenciação de escavações glaucomatosas e não glaucomatosas ainda permanece um desafio ainda nos dias de hoje. Nos descrevemos um caso de aneurisma de carótida interna medindo 3.5mm x 6.5mm que simulava um glaucoma de pressão normal. O caso é sobre uma paciente feminino de 48 anos com história de 2 anos de baixa acuidade visual no olho esquerdo e cefaléia frontal. Devido ao aneurisma de carótida a paciente desenvolveu uma assimetria de escavação vertical maior que 0.2 no olho esquerdo em relação ao direito com defeito localizado da camada de fibras nervosas temporal inferior. Ela também apresentava um defeito arqueado temporal superior a esquerda, cruzando a linha média vertical consistente. Após o diagnostico confirmado pela ressonância magnética funcional, a paciente foi enviada para o neurocirurgião para realização de uma oclusão endovascular do aneurisma. Esse caso nos alerta da importância de se lembrar que não apenas o glaucoma gera escavações suspeitas no disco óptico e que ainda muitos defeitos por causas neurológicas são subdiagnosticados.
Descritores: Glaucoma/diagnóstico; Carótida interna; Artéria oftálmica/ patologia; Aneurisma/diagnóstico; Campo visual; Diagnóstico diferencial
INTRODUCTION
Glaucoma is an optic neuropathy characterized by the progressive loss of retinal ganglion cells and associated morphological changes to the optic nerve and retinal nerve fiber layer(1,2). Among the various forms of glaucoma, normal-tension glaucoma (NTG) is characterized by typical glaucomatous optic disc cupping associated with visual field loss, normal intraocular pressure (IOP), an open iridocorneal angle, and an absence of causative systemic or ocular disease(3). Prospective studies have shown that NTG is more prevalent in woman, particularly those with a recent history of migraine onset or changes in the pattern of migraines. NTG is also frequently correlated with systemic findings of vasospasm, such as in Raynaud's phenomenon, and low systemic blood pressure(3). A family history of glaucoma is also frequently reported(4,5).
The results of the Collaborative Normal Tension Glaucoma Study and other studies have shown that compared with patients without optic disc hemorrhage, those with hemorrhage have an increased risk of visual field progression(6,7). A diagnosis of NTG should be made after excluding all causes of secondary glaucoma (use of steroids, previous uveitis with angle closure, intermittent IOP elevation) and other causes of optic neuropathy(4,5).
In this case report, we describe a patient with internal carotid aneurysm who presented with an asymmetric cup-to-disc ratio and a consistent and corresponding visual field defect in the left eye. The case mimicked NTG; however, a careful evaluation ruled out this diagnosis.
CASE REPORT
A 48-year-old African Brazilian woman presented to our clinic with a chief complaint of frontal oppressive headache of 2 years' duration. The headache was characterized as intermittent, causing a moderate level of pain, and lasting from minutes to hours. The patient reported no irradiation and no typical period of manifestation or other neurological manifestations. She denied any remarkable personal, ophthalmological, or family history.
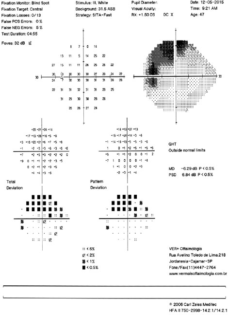
An initial examination revealed an IOP of 12 mmHg in both eyes (AU) without the administration of any topical or systemic medication and a daily tension curve showing variation between 13 and 16 mmHg in the right eye (OD) and 12 and 15 mmHg in the left eye (OS). Her best-corrected visual acuity was 20/20 (0 logMAR) AU. A color vision test was not performed during this examination. Anterior biomicroscopy showed no abnormalities, and the pupillary reflex was normal (AU). Gonioscopy revealed an open angle of 360° to the scleral spur (AU). The results of a pachymetry exam were 542 μm OD and 535 μm OS. Fundoscopy showed a cup-to-disc ratio of 0.5 OD and 0.7 OS. A lower temporal retinal nerve fiber layer defect was detected in the OS (Figure 1). The visual field test was normal in the OD (Figure 2); however, a temporal superior arched loss of sensitivity crossing the vertical midline was observed in the OS (Figure 3). Because the functional defect was compatible with the structural defect and IOP measurements were normal (although she had no epidemiologic findings for NTG), topical bimatoprost 0.03% AU was initiated for the treatment of NTG.



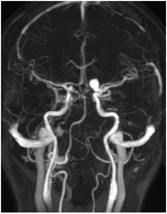
The patient returned 45 days later reporting the onset of dyschromatopsia. The ophthalmologic findings did not differ from those recorded at her initial visit. A nuclear magnetic resonance examination was requested and showed an internal carotid aneurysm of approximately 3.5 mm × 6.5 mm near the emergence of the ophthalmic artery. This aneurysm compressed the optic nerve (Figure 4). The patient was referred to a neurosurgeon and underwent endovascular aneurysm occlusion. Three months after surgery, she reported improvement in the headache symptoms, but a visual field test revealed a diffuse loss of sensitivity.

DISCUSSION
The details of our case emphasize that clinicians must make the diagnosis of NTG with extreme care. Many neurological diseases can have anatomic and functional defects similar to those of NTG. These diseases include ischemic optic and hereditary optic neuropathies, demyelinating optic neuritis, multiple sclerosis, trauma, intraocular infections, and intraorbital or intracranial masses with compressive effects on the optic nerve or chiasm, all of which are reportedly characterized by disc cupping and visual field defects(8) but do not present with elevated IOP(9).
Our patient presented with the chief complaint of headache. This presenting symptom combined with the functional and anatomical defects typical of glaucoma-specifically, a visual field defect crossing the vertical midline and nerve fiber layer loss (temporal inferior retinal nerve fiber layer defect)-initially suggested that the neurological abnormality was caused by the migraine. One study reported that the risk of low-tension glaucoma is several times higher in patients who have a history of headache, although migraine is not thought to be a frequent cause of low-tension glaucoma because migraine is too common and low-tension glaucoma is too rare(10). Only after the patient noticed the onset of another neurological defect (dyschromatopsia) was a secondary cause considered and confirmed diagnostically as an aneurysm. Two cases similar to ours have appeared in the literature(11,12). The patients in both of these reports had an asymmetrical cup-to-disc ratio, primary diagnosis of glaucoma, and later onset of neurological manifestations, which prompted the investigation of neurological etiologies(11,12).
The differentiation between glaucomatous and non-glaucomatous cupping remains a challenge. The evidence does not support a recommendation that all patients with suspected NTG receive routine radiologic examination(4,10); therefore, clinicians should consider predictive factors such as visual acuity worse than 20/40, visual field defects involving the vertical midline, age younger than 50 years, and pallor disproportionate to the disc cupping(4) in the differential diagnosis. Our patient met only one of these criteria at the first visit to our clinic.
The carotid-ophthalmic artery includes the early intracranial portion of the carotid from which the ophthalmic artery originates(11). Aneurysms in the carotid portion of this artery account for 5.4% of all intracranial aneurysms(12). Orbital and brain masses can also cause the visual field defects and optic disc excavation typical of glaucoma by compressing components of the visual system at various levels(13). The physiopathology of the visual damage in patients with these aneurysms may be heat injury to the optic nerve during the drilling of the optic canal, the effect of manipulation or direct compression of the optic nerve by the lesion, or optic pathway ischemia(13).
The main clinical implication of our findings is that clinicians must recognize that many neurological defects are underdiagnosed and that glaucoma is not the only condition that generates suspicious cupping of the optic disc. A careful history combined with detailed clinical examination is crucial in reaching an accurate diagnosis.
In summary, patients with suspected NTG should undergo a careful evaluation. NTG is a diagnosis of exclusion, and there is no evidence that all patients with suspected NTG should undergo neuroimaging.(10) Therefore, consideration of the predictive factors mentioned above should be routine(4).
REFERENCES
1. Weinreb RN, Khaw PT. Primary open-angle glaucoma. Lancet. 2004;363(9422):1711-20.
2. Marvasti AH, Tatham AJ, Zangwill LM, Girkin CA, Liebmann JM, Weinreb RN, et al. The relationship between visual field index and estimated number of retinal ganglion cells in glaucoma. PLoS One. 2013;8(10):e76590.
3. Mudumbai RC. Clinical update on normal tension glaucoma. Semin Ophthalmol. 2013;28(3):173-9.
4. Greenfield DS, Siatkowski RM, Glaser JS, Schatz NJ, Parrish RK 2nd. The cupped disc. Who needs neuroimaging? Ophthalmology. 1998;105(10):1866-74.
5. Choudhari NS, Neog A, Fudnawala V, George R. Cupped disc with normal intraocular pressure: the long road to avoid misdiagnosis. Indian J Ophthalmol. 2011;59(6):491-7.
6. Bengtsson B, Leske MC, Yang Z, Heijl A; EMGT Group. Disc hemorrhages and treatment in the early manifest glaucoma trial. Ophthalmology. 2008;115(11):2044-8.
7. Gracitelli CP, Tatham AJ, Zangwill LM, Weinreb RN, Liu T, Medeiros FA. Estimated rates of retinal ganglion cell loss in glaucomatous eyes with and without optic disc hemorrhages. PLoS One. 2014; 9(8):e105611.
8. O'Neill EC, Danesh-Meyer HV, Connell PP, Trounce IA, Coote MA, Mackey DA, et al. The optic nerve head in acquired optic neuropathies. Nat Rev Neurol. 2010;6(4):221-36.
9. Esporcatte BL, Tavares IM. Normal-tension glaucoma: an update. Arq Bras Oftalmol. 2016;79(4):270-6.
10. Phelps CD, Corbett JJ. Migraine and low-tension glaucoma. A case-control study. Invest Ophthalmol Vis Sci. 1985;26(8):1105-8.
11. Kulkarni AA, Beale DJ, Byrne JV. Glaucoma mimicked by carotid-ophthalmic artery aneurysm: a rare insidious cause of progressive visual loss. Eye (Lond). 2000;14(Pt 3A):405-6.
12. Nucci C, Aiello F, Giuliano M, Colosimo C, Mancino R. Ophthalmic segment of internal carotid artery aneurysm mimicking normal tension glaucoma. International Ophthalmology. 2016;36(6):907-14.
13. Lai LT, Morgan MK. Outcomes for unruptured ophthalmic segment aneurysm surgery. J Clin Neurosci. 2013;20(8):1127-33.
Submitted for publication:
May 22, 2017.
Accepted for publication:
November 16, 2017.
Funding: No specific financial support was available for this study.
Disclosure of potential conflicts of interest: None of the authors have any potential conflict of interest to disclose.