Arq. Bras. Oftalmol. 2019; 82 (4): 10.5935/0004-2749.20190063
Total: 1565
Fábio Barreto Morais1,2; Tiago Eugênio Faria e Arantes3; Cristina Muccioli1; Norma Allemann1
DOI: 10.5935/0004-2749.20190063
ABSTRACT
Purpose: To evaluate ophthalmic ultrasonographic findings associated with active ocular toxoplasmosis.
Methods: Forty-seven eyes with active ocular toxoplasmosis in 47 patients were subjected to ocular ultrasonography using the transpalpebral technique (10-MHz transducer) and fundus photography. Patient medical records were retrospectively reviewed.
Results: Ocular ultrasonography revealed vitritis, posterior vitreous detachment, retinal wall thickening, and non-rhegmatogenous retinal detachment in 47 (100%), 36 [76.6%; partial in 12 (25.5%) and total in 23 (48.9%)], 12 (25.5%), and 5 eyes (10.6%). Thirty-five of the 36 eyes with posterior vitreous detachment (97.2%) exhibited posterior hyaloid thickening; moreover, adhesion to the exudative lesion and vitreoschisis were observed in 4 (11.1%) and 12 eyes (25.5%), respectively. Ultrasonography detected the location of the exudative focus in 12 eyes (25.5%).
Conclusion: Ultrasonography is helpful for detecting important intraocular findings of acute ocular toxoplasmosis that can be hindered by medial opacity or posterior synechiae.
Keywords: Toxoplasmosis, ocular/diagnostic imaging; Uveitis; Vitreous detachment
RESUMO
Objetivo: Avaliar os achados da ultrassonografia na toxoplasmose ocular ativa.
Métodos: Quarenta e sete olhos com toxoplasmose ocular ativa em 47 pacientes foram submetidos à ultrassonografia ocular pela técnica transpalpebral (transdutor de 10 MHz) e fundo de olho. Os prontuários médicos foram revistos retrospectivamente.
Resultados: A ultrassonografia ocular revelou vitreíte, descolamento vítreo posterior, espessamento da parede da retina e descolamento de retina não regmatogênico em 47 (100%), 36 [76,6%; parcial em 12 (25,5%) e total em 23 (48,9%)], 12 (25,5%) e 5 olhos (10,6%). Trinta e cinco dos 36 olhos com descolamento vítreo posterior (97,2%) exibiram espessamento hialoide posterior; além disso, a adesão à lesão exsudativa e vitreosquise foi observada em 4 (11,1%) e 12 (25,5%), respectivamente. A ultrassonografia detectou a localização do foco exsudativo em 12 olhos (25,5%).
Conclusão: A ultrassonografia é útil na detecção de importantes achados intra-oculares de toxoplasmose ocular aguda que podem ser prejudicados pela opacidade medial ou sinéquia posterior.
Descritores: Toxoplasmose ocular/diagnóstico por imagem; Uveíte; Descolamento de vítreo
INTRODUCTION
Ocular ultrasonography is enables a rapid, safe, noninvasive, and dynamic evaluation of posterior segment structures in eyes with medial opacities that are otherwise contraindicated for ophthalmoscopic examination(1). This adjunctive tool can also be utilized for eyes with clear media and is useful for the differential diagnosis and follow-up of inflammatory and non-inflammatory pathologies of the posterior segment(2). Technical skills and experience are crucial to handle and interpret the findings of this imaging modality(3).
Toxoplasmosis, a disease caused by the protozoan parasite Toxoplasma gondii, affects a large proportion of adults in many countries worldwide, although the prevalence is variable. Currently, ocular toxoplasmosis is the most common identifiable cause of posterior uveitis in immunocompetent patients and is responsible for approximately 50% of all cases of posterior uveitis in some countries. In Brazil, ocular toxoplasmosis is responsible for 50% and 60%-85% of uveitis and posterior uveitis cases; these rates are much higher than the 25% rate reported in other countries, including the United States and France(4).
Currently, ocular toxoplasmosis is usually diagnosed based on clinical findings(5,6). Ultrasonography is the most useful modality when ocular medial opacification, which may be associated with pupillary miosis, cataract, lenticular membrane, vitreous hemorrhage, and inflammation, precludes an adequate clinical examination of the posterior segment(7). However, currently, there is limited information regarding ultrasonography findings and patterns associated with active ocular toxoplasmosis. Therefore, the present study aims to describe the main ultrasonography findings and patterns observed in eyes with active ocular toxoplasmosis.
METHODS
For this prospective observational case series, all patients evaluated and diagnosed with active ocular toxoplasmosis at the uveitis section of a tertiary referral eye hospital in Sergipe (Northeast Brazil) between November 2015 and November 2016 were invited to participate. The study was approved by the Ethics Committee Investigational Review Board (CAAE: 67093516.2.0000.5505), and informed consent was obtained from all patients.
Diagnoses of active ocular toxoplasmosis were based on the criteria described by Holland et al.(6), which included the presence of an active white focal retinal lesion with or without associated hyperpigmented chorioretinal scars, as confirmed by laboratory studies(6). In this study, we included the eyes of patients with active lesions (i.e., focal necrotizing exudative retinochoroiditis) in whom the exudative lesion site could be detected using ophthalmoscopy. Of the 52 examined patients, 5 were excluded because of an inaccurate diagnosis (n=2) or because medial opacity prevented direct observation of the lesion (n=3).
All enrolled patients underwent an ultrasonography examination (Ultrascan B-mode, 10-MHz transducer; Alcon, Fort Worth, TX, USA) performed by a single examiner (FB) using the transpalpebral contact technique and conductive gel(8). All eyes were imaged via fundus photography (Topcon TRC 50IX fundus camera; Topcon, Tokyo, Japan) or Visucam Pro NM (Carl Zeiss Meditec, Dublin, CA, USA). The medical charts of all patients were retrospectively reviewed to collect demographic data; the time from symptom onset (days); history of previous ocular toxoplasmosis episodes; characteristics of the focal exudative retinochoroiditis, including location and size (optic disc diameter, classified as ≤2 disc diameters [DD] or >2 DD); and serology test results (IgG and IgM). The following ultrasonography parameters were analyzed: vitritis (i.e., vitreous punctate echoes; proximal to the lesion or diffuse; posterior vitreous detachment (PVD; partial or total); aspects of the posterior hyaloid membrane (thickening and/or adherence to the lesion); vitreoschisis; chorioretinal localized edema; perilesional retinal detachment; and chorioretinal lesions.
RESULTS
The study finally included 47 patients (47 eyes), of whom 22 were female (46.8%) and 25 were male (53.2%). The mean patient age was 36.5 years (standard deviation [SD], 14.65; range, 14-79 years). The mean time from symptom onset was 16 days (SD, 7.44; range, 3-30 days). Twenty-one patients (44.7%) reported previous ocular toxoplasmosis, and the mean number of previous episodes was 1.86 (SD, 1.28; range, 1-6).
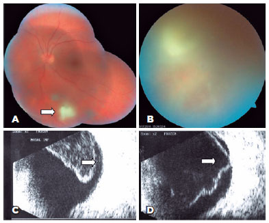
Retinochoroidal lesions were mainly located in the superotemporal (14 eyes, 29.8%) and inferonasal (11 eyes, 23.4%) quadrants. Eighteen (38.3%) and 29 eyes (61.7%) had a lesion size ≤2 DD, respectively. Furthermore, satellite lesions (Figure 1A) associated with a pre-existing retinochoroidal scar and isolated lesions were present in 37 (78.7%) and 10 eyes (21.3%), respectively. Three patients (6.4%) achieved a positive IgM result in a serologic analysis, indicating the acquired form of the disease.
13-fig01.jpg)
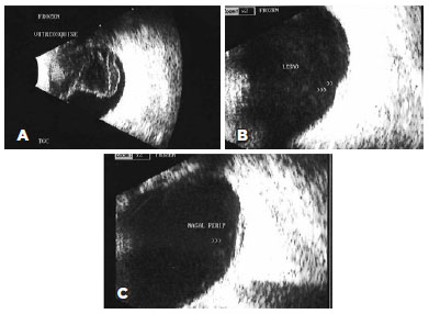
The ultrasonographic characteristics observed in our patients are presented in table 1. Vitritis (Figure 1B), which appeared as a punctate vitreous echo on ultrasonography, was detected in all 47 eyes (100%) and was either diffuse (40 eyes, 85.1%) or localized (7 eyes, 14.9%). PVD (Figure 1C) was identified in 36 eyes (76.6%) and was either partial (12 eyes, 25.5%) or total (23 eyes, 48.9%). No sign of PVD was noted in 11 eyes (23.4%). Of the 36 eyes with PVD, 35 (97.2%) exhibited hyaloid thickening, and 4 (11.1%) exhibited adherence to the exudative lesion (Figure 1D). Vitreoschisis (Figure 2A) and chorioretinal thickening (Figure 2B) were each identified in 12 eyes (25.5%), while perilesional non-rhegmatogenous retinal detachment (Figure 2C) was observed in 5 eyes (10.6%). A comparison of information from the questionnaire with the ultrasonography findings revealed that the latter could accurately demonstrate the location of the exudative focus in 12 eyes (25.5%).
13-tab01.jpg)
13-fig02.jpg)
DISCUSSION
In this study, we evaluated the ultrasonography findings in eyes with clinically diagnosed ocular toxoplasmosis with the intent to identify characteristic patterns. Our study differed somewhat from previous studies(5) in that most patients in our cohort were young, and no differences were observed between the sexes.
Vitreous involvement may occur as a localized or diffuse exudate of inflammatory cells, pigment, or hemorrhage. Previously, inflammatory cellular infiltration of the vitreous cavity has been shown to cause diffusely distributed low-reflectivity echoes that move freely on dynamic B-scan imaging. Furthermore, cases of vitreous hemorrhage and vitritis may exhibit the same ultrasonography patterns, regardless of etiology(10). The full penetrance of vitritis in our patients cannot be considered a novel finding, as this condition is present and usually marked in nearly all cases. Extensive vitritis can induce the classic ophthalmoscopic appearance of a "headlight in fog" in the active retinal lesion. Vitreous opacities tend to be slowly absorbed and may persist for years after the complete resolution of a retinal lesion. Severe and prolonged vitreous involvement may lead to vitreous contraction, PVD, or even retinal detachment(11). By contrast, the local vitritis (i.e., vitreous deposits adjacent to the focus of retinochoroiditis) detected present in 7 (14.9%) of our patients is likely attributable to the short time from symptom onset (mean, 7 days).
A PVD, in which the vitreous membrane separates from the retina, is part of a normal, age-related physiologic process(12). Significant structural changes in the aging vitreous may result in PVD. For example, although the total collagen content in the vitreous body does not change beyond 20-30 years of age, the concentration of collagen in the vitreous gel is significantly higher at 70-90 years of age than at younger ages(13). Furthermore, ocular inflammation accelerates the vitreous liquefaction process in the eye prior to the adequate weakening of vitreoretinal adhesions(14). In the present study, 35 patients (76.1%) exhibited PVD, including partial detachment in 12 patients (26.1%) and total detachment in 23 patients (50%). However, 11 patients (23.9%) lacked PVD, and adherence to the exudative lesion was observed in only 4 eyes (11.4%). As noted above, our patients were relatively young (mean age, 36.5 years), and PVD would not normally be expected at this age. This suggests that ocular toxoplasmosis might induce PVD.
Strong vitreoretinal adhesions are more significant at several points throughout the fundus where the inner limiting membrane is the thinnest (i.e., the peripapillary area; along the major vessels; the locations of lattice degeneration, enclosed ora bays, retinal tufts, the vitreous base, and the 500-µm foveolar zone; and the margin of the 1500-µm foveal zone). In areas with acquired changes, such as post-inflammatory lesions, the reactive proliferation of glial cells can create particularly firm vitreoretinal adhesions(15). However, we observed adherence of the hyaloid to the exudative lesion in only 4 eyes (11.4%).
The recurrence of ocular toxoplasmosis is common with reported rates of 40%-79%, although follow-up is a limitation of previous studies(18). In 1 study, although only 21 patients (44.7%) reported ocular toxoplasmosis, satellite lesions (i.e., recurrent toxoplasmic retinochoroiditis) were detected in 37 eyes (78.7%)(9). The incompatibility of these data may be attributable to the asymptomatic nature of ocular toxoplasmosis. Oréfice et al.(16) used spectral optical coherence tomography (OCT) to examine the posterior hyaloid in 24 patients with ocular toxoplasmosis and active satellite lesions and observed that 4.2%, 4.2%, 50%, and 41.6% exhibited no noticeable changes, thickening and full detachment, thickening with attachment to the focus and surrounding detachment, and thickening with full attachment, respectively. In other words, OCT demonstrated hyaloid thickening in 95.8% of cases. In our study, 97.1% of cases with vitreous detachment exhibited hyaloid thickening.
We noted some differences between our study and those reported previously. For example, we observed a relatively smaller number of PVD cases and a higher incidence of total detachment. Oréfice et al.(17) used OCT to prospectively observe 15 patients with active ocular toxoplasmosis during acute disease and recorded the changes over a 24-week follow-up period. The authors reported an expansion of posterior hyaloid detachment in 10 cases (66.7%). Oréfice and colleagues also observed that during the acute phase (baseline), 5 patients exhibited a thickened hyaloid with focal attachment and surrounding detachment. By contrast, only 2 patients exhibited this finding after 24 weeks, suggesting PVD evolves from partial to total over time. In the current study, a fundus examination revealed that most patients (78.7%) harbored satellite lesions. Therefore, this condition might occur in cases of disease reactivation, which would explain the high number of total vitreous detachment cases in our series.
A very high incidence of PVD should draw attention to the vitreoretinal complications of toxoplasmic retinochoroiditis, which include retinal tears and rhegmatogenous retinal detachment. The precise frequency of retinal tear among patients with ocular toxoplasmosis is unknown, although cases of toxoplasmic retinochoroiditis with retinal tears have been reported. One study of 150 consecutive patients with toxoplasmic retinochoroiditis reported a retinal tear incidence of 5%(19). Although retinal tears are rarely associated with ocular toxoplasmosis, this event may be caused by vitreoretinal traction following a post-inflammatory structural alteration of the vitreous. The abovementioned study of patients with toxoplasmic retinochoroiditis identified severe intraocular inflammation as a characteristic feature of the attacks of active ocular toxoplasmosis preceding retinal tears. In patients with uveitis, retinal tears may be associated with early PVD, a consequence of intraocular inflammation(20). Bodanowitz et al.(21) found that in patients with retinitis, retinal tear is a rare complication of toxoplasmic retinochoroiditis. Therefore, a retinal tear may be a consequence of vitreoretinal traction following structural alterations of the vitreous.
Posterior vitreoschisis is defined as delamination in 2 or more leaflets of the posterior vitreous cortex, the outermost of which is the true posterior hyaloid membrane. This phenomenon is very frequently observed in eyes affected by retinal vascular diseases and vitreous hemorrhage (including proliferative diabetic retinopathy). However, this condition has only recently been described in uveitis(22). In our series, we observed posterior vitreoschisis in 12 eyes (25.5%).
During the acute phase of toxoplasmosis, B-mode ultrasonography can observe small increases in retinochoroidal thickness that correspond to the sites of exudative lesions and perilesional edema. In our study, we observed an increase in retinochoroidal thickening in 12 patients (25.5%), 5 (10.6%) of whom had perilesional retinal detachment. Consistent with our finding, Hercos et al.(23) reported focal retinochoroidal thickening in 28.6% of patients. The use of a proper ocular ultrasonography technique can improve the clinical understanding of the relationship between the posterior vitreous cortex and retina. However, OCT remains appropriate for detailed fine morphological studies. In cases involving opaque media or another contraindication for OCT, the addition of ultrasonography not only enables a valid evaluation but also provides useful information related to the vitreomacular interface(24).
Posterior uveitis secondary to toxoplasmosis may induce thickening of the hyaloid membrane, enhanced adhesions in the exudative foci, and changes in the vitreous that promote contraction against the retinal direction, along with an initially partial detachment of the vitreous that later progresses to total detachment. Our series of cases included 12 eyes in which ultrasonography revealed chorioretinal thickening; of these, 6 had no PVD and 3 had partial PVD (adherence to the exudative lesion in 1 of 3). Therefore, 7 eyes (58.3%) with thickening exhibited some degree of vitreoretinal adhesion to the active chorioretinal focus.
In conclusion, our findings suggest that vitreous punctate echoes (vitritis) scattered diffusely in the vitreous cavity and thickening with an impregnated posterior hyaloid were the most frequent ultrasonography findings in our series. Additionally, PVD was noted in 76.1% of cases. Total PVD was the most common finding. Vitreoschisis and chorioretinal thickening at the site of the exudative focus were only observed in approximately a quarter of cases. However, future studies are needed to validate our results and establish a pattern of ultrasonography findings. Our study was limited by the need to compare our ultrasonography findings with those detected in other forms of posterior uveitis. Future studies should evaluate and reporting differences in the ultrasonography findings among various diseases. However, we found that ultrasonography was helpful for detecting complications of acute ocular toxoplasmosis, such as vitreous adherence to the exudative focus, macular edema, and perilesional retinal detachment, which may be difficult to observe in eyes with media opacity or posterior synechiae.
REFERENCES
1. Anteby II, Blumental EZ, Zamir E, Waindim P. The role of preoperative ultrasonography for patients with dense cataract: a retrospective study of 509 cases. Ophthalmic Surg Lasers. 1998; 29(2):114-8.
2. Morais FB, Maciel AL, Arantes TE, Muccioli C, Allemann N. Ultrasonographic findings in ocular toxocariasis. Arq Bras Oftalmol. 2012;75(1):43-7.
3. Hayden BC, Kelley L, Singh AD. Ophthalmic ultrasonography: Theoretic and practical considerations. Ultrasound Clin. 2008; 3(2):179-83.
4. Commodaro AG, Belfort RN, Rizzo LV, Muccioli C, Silveira C, Burnier MN Jr, et al. Ocular toxoplasmosis: an update and review of the literature. Mem Inst Oswaldo Cruz. 2009;104(2):345-50.
5. Bonfioli AA, Orefice F. Toxoplasmosis. Semin Ophthalmol. 2005; 20(3):129-41.
6. Holland G, O’Connor GR, Belfort R Jr, Remington JS. Toxoplasmosis. In: Pepose JS, Holland GN, Wilhelmus KR. Ocular infection & immunity. St Louis, Missouri: Mosby-Year Book; 1996. p.1183-223.
7. Ciardella PC, Prall FR, Borodoker N, Cunningham ET Jr. Imaging techniques for posterior uveitis. Curr Opin Ophthalmol. 2004;15(6): 519-30.
8. Bergès O, Koskas P, Lafitte F, Piekarski JD. [Sonography of the eye and orbit with a multipurpose ultrasound unit]. J Radiol. 2006;87 (4 Pt 1):345-53. French.
9. Nussenblatt RB, Belfort R Jr. Ocular toxoplasmosis. An old disease revisited. JAMA. 1994;271(4):304-7.Erratum in: JAMA. 1994; 272(5):356. Comment in: JAMA. 1994;272(5):356.
10. Chan IM, Jalkh AE, Trempe CL, Tolentino FI. Ultrasonographic findings in endophthalmitis. Ann Ophthalmol. 1984;16(8):778-84.
11. Bossch-Driessen LH, Karimi S, Stilma JS, Rothova A. Retinal detachment in ocular toxoplasmosis. Ophthalmology. 2000;107(1):36-40.
12. Bottós J, Elizalde J, Arevalo JF, Rodrigues EB, Maia M. Vitreomacular traction syndrome. J Ophthalmic Vis Res. 2012;7(2):148-61.
13. Goldmann H. Senile changes of the lens and the vitreous. The Arthur J. Bedell lecture. Am J Ophthalmol. 1964;57:1-13.
14. Sebag J. Anomalous posterior vitreous detachment: a unifying concept in vitreo-retinal disease. Graefes Arch Clin Exp Ophthalmol. 2004;242(8):690-8.
15. Johnson MW. Posterior vitreous detachment: evolution and complications of its early stages. Am J Ophthalmol. 2010;149(3):371-82.
16. Oréfice JL, Costa RA, Scott IU, Calucci D, Oréfice F; Grupo Mineiro de Pesquisa em Doenças Oculares Inflamatórias (MINAS). Spectral optical coherence tomography findings in patients with ocular toxoplasmosis and active satellite lesions (MINAS Report 1). Acta Ophthalmol. 2013;91(1):e41-7.
17. Oréfice JL, Costa RA, Oréfice F, Campos W, da Costa-Lima D Jr, Scott IU. Vitreoretinal morphology in active ocular toxoplasmosis: a prospective study by optical coherence tomography. Br J Ophthalmol. 2007;91(6):773-80.
18. Timsit JC, Bloch-Michel E. [Efficacy of specific chemotherapy in the prevention of recurrences of toxoplasmic chorioretinitis during the 4 years following treatment]. J Fr Ophtalmol. 1987;10(1):15-23. French.
19. Bosch-Driessen LH, Karimi S, Stilma JS, Rothova A. Retinal detachment in ocular toxoplasmosis. Ophthalmology. 2000;107(1):36-40.
20. Lucena D da R, Ribeiro JA, Lucena D da R, de Lucena AL, Jorge R. [Retinal tears in toxoplasmic retinochoroiditis: case series]. Arq Bras Oftalmol. 2009;72(6):829-31. Portuguese.
21. Bodanowitz S, Hesse L, Schroeder B. [Retinal tear in retinochoroiditis toxoplasmotica]. Klin Monbl Augenheilkd. 1996;208(2):130-1. German.
22. Lucena DR, Siqueira RC, Yugar J, Oréfice F. Vitreosquise nas uveítes posteriores: teoria OLYS (Oréfice Lucena Yugar Siqueira) de formação e formas de apresentação. Rev Bras Oftalmol. 2001;60(1):90-5.
23. Hercos BV, Muiños SJ, Casaroli-Marano RP. Utilidad de la ecografia em las uveitis por toxoplasmosis. Arch Soc Esp Oftalmol. 2004; 79(2):59-66.
24. Bottós JM, Torres VL, Kanecadan LA, Martinez AA, Moraes NS, Maia M, et al. Macular hole: 10 and 20-MHz ultrasound and spectral-domain optical coherence tomography. Arq Bras Oftalmol. 2012;75:415-9.
Submitted for publication:
July 11, 2018.
Accepted for publication:
November 22, 2018.
Approved by the following research ethics committee: Comitê de Ética em Pesquisa da Universidade Federal de São Paulo - Hospital São Paulo UNIFESP-HSP (CAAE number: 67093516.2.0000.5505).
Funding: No specific financial support was available for this study.
Disclosure of potential conflicts of interest: None of the authors have any potential conflicts of interest to disclose.
How to cite this article: