Arq. Bras. Oftalmol. 2019; 82 (5): 10.5935/0004-2749.20190079
Total: 1262
Jun Yu; Jie Cen; Peiquan Zhao; Xiaoli Kang
DOI: 10.5935/0004-2749.20190079
ABSTRACT
Purpose: To evaluate three superior oblique surgical weakening procedures for correcting A-pattern strabismus: tenectomy, superior oblique hang-back recession, and that involving the use of superior oblique suture spacers.
Methods: The inclusion criteria were A-pattern strabismus ≥10Δ and horizontal deviation ≥10Δ, with no other ocular abnormality and a follow-up period of ≥6 months. The 24 patients (mean age, 16.3 ± 8.1 years; mean postoperative follow-up, 9.63 ± 3.11 months) were randomly divided into three groups of 8 patients each. Sigmascan® Pro 5.0 software was used to measure the degree of torsion pre- and postoperatively.
Results: Preoperatively, the mean angles of A-pattern deviation were 19.33Δ° ± 3.53Δ° (tenectomy group), 15.71Δ° ± 1.11Δ° (hang-back recession group), and 14.62Δ° ± 1.18Δ° (suture spacers group); these values did not differ significantly. At the final follow-up examination, the mean angles of A-pattern deviation were 4.67Δ° ± 0.67Δ° (tenectomy group), 6.29Δ° ± 1.48Δ° (hang-back recession group), and 4.38Δ° ± 1.03Δ° (suture spacers group), with no statistically significant difference in the correction in A-pattern strabismus among the three groups. Preoperatively, the mean torsional angles were +5.4° ± 3.9° (tenectomy group), + 5.6° ± 4.9° (hang-back recession group), and +6.0° ± 3.3° (suture spacers group); these values did not differ significantly. At the final follow-up examination, the mean torsional angles were + 0.3° ± 5.6° (tenectomy group), +0.5° ± 4.6° (hang-back recession group), and +0.2° ± 5.2° (suture spacers group), with no statistically significant difference in the intorsion correction among the three groups.
Conclusion: All three superior oblique weakening procedures were effective for correcting A-pattern strabismus and fundus intorsion.
Keywords: Strabismus/surgery; Oculomotor muscles/physiopathology; Ophthalmologic surgical procedures/methods
RESUMO
Objetivo: Avaliar três procedimentos de debilitamento dos músculos oblíquos superiores para a correção de estrabismo com padrão em A: tenectomia, sutura em rédea (hang-backrecession) e o uso de espaçadores de sutura oblíqua superior.
Métodos: Os critérios de inclusão foram estrabismo padrão em A >10Δ e desvio horizontal >10Δ, sem outras anormalidades oculares e tempo de acompanhamento >6 meses. Os 24 pacientes (média de idade de 16,3 ± 8,1 anos; média de seguimento pós-operatório de 9,63 ± 3,11 meses) foram divididos aleatoriamente em três grupos de 8 pacientes cada. O programa Sigmascan® Pro 5.0 foi utilizado para medir o grau de torção no pré e pós-operatório.
Resultados: No pré-operatório, a média e o desvio padrão dos ângulos de padrão em A foram de 19,33Δ° ± 3,53Δ° (grupo da tenectomia), 15,71Δ° ± 1,11Δ° (grupo da sutura em rédea), 14,62Δ° ± 1,18Δ° (grupo de espaçadores de sutura); esses valores não diferiram significativamente. No exame pós-operatório, a média e o desvio padrão dos ângulos de desvio do padrão em A foram de 4,67Δ° ± 0,67Δ° (grupo da tenectomia), 6,29Δ° ± 1,48Δ° (grupo da sutura em rédea), 4,38Δ° ± 1,03Δ° (grupo de espaçadores de sutura), sem diferença estatisticamente significativa na correção do estrabismo padrão em A entre os três grupos. No pré-operatório, os ângulos médios de torção foram de +5,4° ± 3,9° (grupo de tenectomia), +5,6° ± 4,9° (grupo da sutura em rédea), e +6,0° ± 3,3° (grupo de espaçadores de sutura), esses valores não diferiram significativamente. No pós-operatório, os ângulos médios de torção foram de +0,3° ± 5,6° (grupo da tenectomia), +0,5° ± 4,6° (grupo da sutura em rédea), e + 0,2° ± 5,2° (grupo de espaçadores de sutura), sem diferença estatisticamente significativa na correção da intorção entre os três grupos.
Conclusão: Os três procedimentos de debili-tamento dos músculos oblíquos superiores foram efetivos para a correção do estrabismo com padrão em A e da intorção ocular observada na fundoscopia.
Descritores: Estrabismo/cirurgia; Músculos oculomotores/fisiopatologia; Procedimentos cirúrgicos oftalmológicos/métodos
INTRODUCTION
There is evidence that superior oblique overaction (SOOA) can induce A-pattern strabismus, which can affect an individual's reading position and impact his or her quality of life(1-3). A-pattern strabismus can be corrected by surgery to weaken the superior oblique (SO) muscles. However, this is a challenging surgical procedure, requiring a thorough knowledge of anatomy, extensive experience, and appropriate preoperative decisions, and its outcome can be unpredictable. SO surgery can sometimes result in vertical and torsional deviation, particularly in the downgaze, which can be resistant to therapy(1-3).
The SO muscles can be weakened in various ways, including by split tendon elongation, tenectomy, posterior tenotomy, using silicone tendon expanders or tendon suture spacers, and hang-back recession of the muscles(1,3,9). SO tenectomy is considered to be effective for large A-pattern deviations, but its postoperative outcomes are inconsistent(1,4). Expanders and hang-back recession have been shown to be useful for larger A-pattern deviations, but they can result in undesirable changes in torsion(4-6).
The aim of this study was to evaluate three procedures to weaken the SO muscles for the treatment of A-pattern strabismus resulting from SOOA: tenectomy, hang-back recession, and lengthening using suture spacers.
METHODS
This was a prospective study. All the patients who underwent combined surgery for horizontal deviation (esotropia or exotropia) and A-pattern strabismus at our institution between January 2012 and September 2016 were included. The other inclusion criteria were as follows: no previous SO muscle surgery; A-pattern strabismus >10Δ with bilateral SO overaction and intorsion; no other ocular abnormality; and follow-up for at least 6 months. In total, 24 patients were included in the study, including 10 male and 14 female patients with a mean age of 16 ± 8 years at the time of surgery (range, 4-36 years). The mean duration of postoperative follow-up was 9.6 ± 3.1 months (range, 6-13 months). The patients were randomly divided into three groups of eight, with each group undergoing a different procedure: tenectomy, hang-back recession, or lengthening using suture spacers. Recession or resection of the rectus muscles was performed to treat patients for esotropia and exotropia, respectively. The study was approved by Shanghai Jiao Tong University (#XHEC-D-2017-017) and the patients or their parents gave their written informed consent before participating.
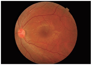
Each patient underwent a full ophthalmologic examination, including the following tests: visual acuity testing; refraction testing; measurement of distance deviations (5 m and 0.33 m) in all diagnostic positions of gaze, using the alternate prism cover test; measurement of the A-pattern deviation as the difference in alignment between 25° upgaze and 25° downgaze; and objective measurement of the ocular torsion angle with a fundus camera (CR-2, Canon, Japan). Sigmascan® Pro 5.0 software was used to measure the torsion angle preoperatively and postoperatively. The software calculated the angle between two lines: a horizontal baseline across the center of the optic disc and a line from the central fovea to the geometric center of the optic disc. The resulting angles were considered positive (“ + ”) if there was intorsion relative to the baseline and negative (“-”) if there was extorsion (Figure 1). The pattern deviations and intorsion assessments were recorded at each patient's preoperative assessment and at the final postoperative follow-up visit.
14-fig01.jpg)
Surgical techniques
The surgical procedures were performed by a skilled ophthalmologist experienced at locating the SO muscles in the upper temporal quadrant. To perform the tenectomy, she generally locates the attachment of the SO muscle in the upper temporal quadrant (the classic temporal approach), finds the tendon, extends it, and cuts it. For the hang-back recession, the tendon of the SO muscle is exposed in the upper temporal quadrant and two double-armed 5-0 Mersileng sutures (Ethicon, Inc., Somerville, NJ) are placed through the SO muscle's 7-mm nasal insertion. The muscle is cut and then fixed in the sclera, allowing the tendon to hang back 7 mm. For the suture spacers procedure, the tendon of the SO is exposed in the upper temporal quadrant, then two double-armed 5-0 Mersileng sutures 6 mm long are inserted and locked to the anterior and posterior parts of the tendon insertion. The SO muscle is then cut (Figure 2).
14-fig02.jpg)
Statistical analysis
Differences between the three groups in the pre-surgery and post-surgery A-patterns and other variables were analyzed with one-way ANOVA followed by Tukey's test. A p value <0.05 was considered to denote statistical significance.
RESULTS
Of the 24 patients included in the study, eight (33%) had A-pattern esotropia and 16 (67%) had A-pattern exotropia. No patients had undergone previous horizontal or vertical strabismus surgery.
The patients' horizontal strabismus was corrected by routine horizontal muscle surgery. The mean preoperative deviation was +20Δ to +25Δ; postoperatively, it was + 8Δ to-8Δ.
At the preoperative examination, the mean angles of the A-pattern deviation were 19.33° ± 3.53° in the tenectomy group, 15.71° ± 1.11° in the hang-back recession group, and 14.62° ± 1.18° in the suture spacers group; these values did not differ significantly. At the final follow-up examination, the mean angles of the A-pattern deviation were 4.67° ± 0.67° in the tenectomy group, 6.29° ± 1.48° in the hang-back recession group, and 4.38° ± 1.03° in the suture spacers group. The A-pattern strabismus was corrected for most of the patients in all three groups. The total surgical success rate, defined by an A-pattern of 8Δ or less, was 83%. No statistically significant difference in the correction in the A-pattern strabismus was observed among the three groups (p=1.12, p=1.65, the suture spacers group compared with the tenectomy group, the hang-back recession group).
At the preoperative examination, the mean torsional angles were +5.4° ± 3.9° (range, 0.0° to +12.1°) in the tenectomy group, +5.6° ± 4.9° (0.4° to +13.3°) in the hang-back recession group, and +6.0° ± 3.3° (0.0° to + 11.3°) in the suture spacers group; these values did not differ significantly (p=1.51, p=1.21, the suture spacers group compared with the tenectomy group, the hang-back recession group). At the final follow-up examination, the mean torsional angles were +0.3° ± 5.6° (-0.2° to +6.3°) in the tenectomy group, +0.5° ± 4.6° (-1.3° to +3.4°) in the hang-back recession group, and +0.2° ± 5.2° (0.5° to +5.4°) in the suture spacers group. The fundus torsion was corrected for most of the patients in all three groups. No statistically significant difference in the intorsion correction was observed among the three groups (p=1.62, p=0.85, the suture spacers group compared with the tenectomy group, the hang-back recession group). Details of these results are presented in tables 1-3.
DISCUSSION
Many techniques have been used for weakening the SO muscles, including tenotomy, tenectomy, Z-tendon lengthening, and the use of silicone expanders or suture spacers. Simple SO muscle recession or cutting can change the insertion characteristics of the SO tendon, potentially resulting in postoperative complications(9-11). Wright first reported elongation of the SO tendon in 1989(6). This technique maintains the normal physiological action of the SO muscles by preserving the original form and insertion of the tendon. However, silicone extrusion and the foreign body sensation, as well as postoperative inflammation or rejection, have been reported with this technique(9). The use of suture spacers provides a way to lengthen the SO muscle without inserting “hardware”.
In this study, we found that SO tenectomy, hang-back recession, and elongation using suture spacers were all effective for correcting A-pattern strabismus associated with SOOA. There were no significant differences in the results of the three treatments. However, Compared with tenectomy and hang-back recession, the use of suture spacers may offer advantages for SOOA because of the etiology the condition and anatomy, maximizing the amount of SO muscle that can be conserved. The use of suture spacers provides an effective and straightforward second surgical option if the first surgery is unsatisfactory. We therefore consider the use of SO suture spacers to be better than the other surgical procedures for correcting SOOA and A-pattern strabismus.
A previous study reported that objective intorsion decreased by 7.94°-9.11° after tenotomy or tenectomy, by 6° after using a silicon expander, and by 11.3° after translational recession(9). Intorsion can destroy stereopsis, so improving torsion can be helpful for patients rebuilding binocular vision. In the present study, objective intorsion generally decreased by 5°-6° in all three groups. This indicated the variable anatomy of the SO muscle, including the location and width of tendon insertion and the location of the trochlear, which could change the vertical and torsional vectors of SO muscle function.
There were a few limitations to this study. First, it could not determine whether a greater amount of expansion (>5 mm) was better for large A-pattern strabismus, because the largest A-pattern deviation in this study (24Δ) could be corrected by a 6-mm slit. Second, the study included relatively few surgery cases and the follow-up period was short. Thus, the data may be
insufficient for providing evidence for differentiating between the three SO muscle surgical procedures. Further research is necessary.
REFERENCES
1. Li Y, Zhao K, Ma H. Clinical observation of the graduated “hang-back” recession of superior oblique in a-pattern strabismus with superior oblique overaction. Zhonghua Yan Ke Za Zhi. 2016;52:579-83.
2. Brodsky M, Donahue S. Primary oblique muscle overaction: the brain throws a wild pitch. Arch Ophthalmol. 2001;119(9):1307-14.
3. Sekeroğlu HT, Sanac AS, Arslan U, Sener EC. Superior oblique surgery: when and how? Clin Ophthalmol. 2013;7:1571-4.
4. Ranka M, Liu G, Nam J, Lustig M, Schwartz S, Hall L, et al. Bilateral posterior tenectomy of the superior oblique muscle for the treatment of A-pattern strabismus. J AAPOS. 2014;18(5):437-40.
5. Wright K. Superior oblique silicone expander for Brown syndrome and superior oblique overaction. J Pediatr Ophthalmol Strabismus. 1991;28(2):101-7.
6. Wright KW, Min BM, Park C. Comparison of superior oblique tendon expander to superior oblique tenotomy for the management of superior oblique overaction and Brown syndrome. J Pediatr Ophthalmol Strabismus. 1992;29(2):92-7.
7. Sharma P, Khokhar S. Thanikachalam. Evaluation of superior oblique weakening procedures. J Pediatr Ophthalmol Strabismus. 1999;36(4):189-95.
8. Talebnejad M, Mosallaei M, Azarpira N, Nowroozzadeh M, Zareifar A. Superior oblique tendon expansion with Achilles tendon allograft for treating Brown syndrome. J AAPOS. 2011;15(3):234-7.
9. Awadein A, Gawdat G. Comparison of superior oblique suture spacers and superior oblique silicone band expanders. J AAPOS. 2012;16(2):131-5.
10. Moghadam A, Sharifi M, Heydari S. The results of Brown syndrome surgery with superior oblique split tendon lengthening. Strabismus. 2014;22(1):7-12.
11. Greenberg M, Pollard Z. Treatment of inferior oblique paresis with superior oblique silicone tendon expander. J AAPOS. 2005;9(4): 341-5.
Submitted for publication:
April 9, 2018.
Accepted for publication:
December 29, 2018.
Approved by the following research ethics committee: Shanghai Jiao Tong University (# XHEC-D-2017-017).
Funding: This study was supported by Key Program of Shanghai Municipal Commission of Health and Family Planning (20140037) and Xinhua Hospital Foundation (NO 17YJZ10).
Disclosure of potential conflicts of interest: None of the authors have any potential conflicts of interest to disclose.
How to cite this article: