Arq. Bras. Oftalmol. 2019; 82 (6): 10.5935/0004-2749.20190100
Total: 1375
Bruno Fortaleza de Aquino Ferreira1; André Carvalho Kreuz1; Patricia Martini Diniz1; João Vitor Santos Sampaio Rocha2; Sérgio Luis Gianotti Pimentel1
DOI: 10.5935/0004-2749.20190100
ABSTRACT
A 26-year-old woman presented at 28 weeks gestation with hypertensive choroidopathy associated with pre-eclampsia. Fundus photography, fundus autofluorescence, spectral-domain optical coherence tomography (SD-OCT), fluorescein angiography, and indocyanine green angiography were performed in both eyes in the immediate postoperative period. SD-OCT images were obtained before delivery and during a 3-month follow-up. Fundus autofluorescence exhibited patchy hyper- and hypoautofluorescent lesions; fluorescein and indocyanine green angiography revealed areas of choroidal ischemia; and SD-OCT showed disorganization of the outer retinal layers and disruption of the ellipsoid zone. After her blood pressure was stabilized, progressive recovery of the outer retinal layer was monitored on SD-OCT.
Keywords: Choroid diseases; Pre-eclampsia; Optical imaging; Tomography, optical coherence; Fluorescein angiography; Retinal photoreceptor cell outer segment; Blood-retinal barrier; Pregnancy; Case report
RESUMO
Uma mulher de 26 anos de idade, com 28 semanas de gestação apresentando coroidopatia hipertensiva associada à pré-eclâmpsia. Retinografia, autofluorescência, tomografia de coerência óptica de domínio espectral, angiofluoresceínografia e angiografia com indocianina verde foram realizadas em ambos os olhos no período pós-operatório imediato do parto. Imagens da tomografia de coerência óptica de domínio espectral foram obtidas antes do parto e durante o seguimento de 3 meses. A autofluorescência apresentou lesões heterogêneas hiper e hipoautofluorescentes, a angiofluoresceínografia e angiografia com indocianina verde revelaram áreas de isquemia de coroide, e a tomografia de coerência óptica de domínio espectral apresentou desorganização das camadas externas da retina e interrupção da zona elipsóide. Após a estabilização da pressão sanguínea, a recuperação progressiva da camada externa da retina foi monitorada pela tomografia de coerência óptica de domínio espectral.
Descritores: Doenças da coróide; Pré-eclâmpsia; Imagem óptica; Tomografia de coerência óptica; Angiofluoresceínografia; Segmento externo das células fotorreceptoras da retina; Barreira hematorretiniana; Gravidez; Relato de caso
INTRODUCTION
Pre-eclampsia is a systemic disorder affecting approximately 2%-8% of pregnancies(1), in which maternal death can affect up to 10%-15%(2). Ocular complications, such as retinopathy (19.4%) and choroidopathy (<1%), can also result due to the presence of systemic hypertension (SH)(3).
Hypertensive choroidopathy (HC) is a rare vascular complication of SH often associated with pre-eclampsia that may lead to permanent vision loss if the underlying condition is not treated immediately(4). In such cases, several imaging methods are used to study retinal and choroidal changes including fluorescein and indocyanine green angiography, autofluorescence (AF), and spectral-domain optical coherence tomography (SD-OCT)(5).
In our case report, we present a multimodal evaluation, including SD-OCT follow-up, of HC secondary to severe pre-eclampsia and discuss our findings and respective resolution. To the best of our knowledge, this is the first case of HC to exhibit progressive recovery of the outer retinal layers on SD-OCT.
CASE REPORT
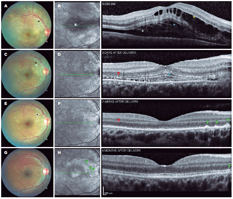
A 26-year-old woman presented at 28 weeks gestation with acute bilateral visual loss. She developed severe pre-eclampsia during her previous pregnancy. She did not have a history of drug abuse. She had been treated with methyldopa since SH was observed during a routine evaluation. Best-corrected visual acuity was 20/800 in her right eye and hand motion vision in her left eye. The anterior segment was normal. Fundus examination revealed serous retinal detachment, focal lesions with yellowish halo (Elschnig spots) and focal arteriolar narrowing in both eyes, and cotton wool spots in the right eye. Intraretinal cysts and subretinal fluid compromising the outer retinal layers were seen on SD-OCT. Laboratory testing revealed increased creatinine and lactate dehydrogenase levels, urine protein level, and protein-to-creatinine ratio. All additional tests were within normal levels, and she denied having any headaches or abdominal pain, which excluded HELLP syndrome. Her blood pressure (BP) was 200/165 mmHg, and HC secondary to severe pre-eclampsia was suspected. Thus, she was immediately referred for emergency obstetric evaluation and delivery was accomplished. After 72 hours, multimodal imaging evaluation (Figures 1 and 2) was performed, revealing persistent outer retinal layer damage on SD-OCT scans, with disruption of the ellipsoid zone. Intravenous hydralazine was administered whenever BP levels were >160/110 mmHg, until the postoperative day 14, when BP levels stabilized. Progressive recovery of the outer retinal layers occurred after 3 months, and her visual acuity reached 20/20 in both eyes.
09-fig01.jpg)
09-fig02.jpg)
DISCUSSION
First described by Morse et al. (6) in 1968, HC typically occurs secondary to malignant hypertensive events such as pre-eclampsia, particularly when diastolic BP >120 mmHg (6). Acute SH can lead to extensive occlusion of the choroidal vascular bed and ischemia, causing focal necrosis of the choriocapillaris/retinal pigment epithelium (RPE) and outer blood-retinal barrier dysfunction(7). This results in retinal edema and subretinal fluid, which can be reabsorbed after the choroidal vasculature improves. Afterward, a patchy RPE depigmentation appears (Elschnig spots), sometimes as a Leopard spot pattern(8).
In such cases, performing multimodal imaging (Figures 1 and 2) examinations in such cases is important to identify and monitor retinal and choroidal damage. Within 72 hours after delivery, our patient presented with attenuation of Elschnig spots on fundus photography (Visucam, Zeiss, Oberkochen, Germany) and hyper-and hypoautofluorescent lesions on AF (Spectralis, Heidelberg Engineering, Heidelberg, Germany). Fluorescein angiography (FA) (Spectralis) exhibited areas of choroidal ischemia with poor arteriolar filling in the early phase and late-phase leakage in areas of damaged RPE in both eyes; mild optic disc leakage was also observed in the right eye. Indocyanine green angiography (ICGA) (Spectralis) demonstrated delayed choroidal filling and areas of persistent choroidal ischemia corresponding to those seen on FA. Damage to the outer retinal layer remained on SD-OCT scans, with disruption of the ellipsoid zone, a known hallmark of photoreceptor dysfunction. This finding was confirmed using an adaptive optics scanning laser ophthalmoscope (AOSLO), which revealed cone depletion in the affected retina (9).
In our case, focal arteriolar narrowing, Elschnig spots, and cotton wool spots gradually disappeared over the long-term follow-up (Figures 3 and 4). In addition, progressive recovery of the outer retinal layers, including the ellipsoid zone, was observed after 3 months, with visual acuity in both eyes reaching 20/20. No signs of hypertensive choroidopathy or related complications were detected over the subsequent 9 months, except for areas of focal thickening of the RPE/Bruch membrane on SD-OCT (Figures 3H and 4H). These focal RPE changes, corresponding to Elschnig spots on AF, remained after 1-year follow-up and did not significantly affect visual function.
Loss of vision may be the first and only indication of CH associated with severe pre-eclampsia, manifesting as bilateral serous retinal detachment and resolving within a month after BP stabilization. Promptly treating and re-establishing retinal structure are mandatory to recover visual function; however, this is not evaluated properly using FA and ICGA imaging modalities(10). In our case, areas of choroidal ischemia seen on both FA and ICGA disappeared after delivery and BP stabilization, with follow-up SD-OCT showing recovery of the outer retina. Visual function was not significantly affected by the remaining focal RPE changes corresponding to Elschnig spots on AF. Progressive regeneration of the outer retinal layers may not be easily observed on other imaging modalities, such as AOSLO, because suitable baseline images are difficult to obtain when the retinal layer is disrupted(9). Moreover, SD-OCT may reveal additional findings of intra- and extraretinal fluid in cases of HC (5).
REFERENCES
1. Hutcheon JA, Lisonkova S, Joseph KS. Epidemiology of pre-eclampsia and the other hypertensive disorders of pregnancy. Best Pract Res Clin Obstet Gynaecol. 2011;25(4):391-403.
2. American College of Obstetricians and Gynecologists. Hypertension in pregnancy. Report of the American college of obstetricians and gynecologists’ task force on hypertension in pregnancy. Obstet Gynecol. 2013;122(5):1122-31.
3. Oluleye ST, Olusanya BA, Adeoye AM. Retinal vascular changes in hypertensive patients in Ibadan, Sub-Saharan Africa. Int J Gen Med. 2016; 9:285-90.
4. Dewilde E, Huygens M, Cools G, Van Calster J. Hypertensive choroidopathy in pre-eclampsia: two consecutive cases. Ophthalmic Surg Lasers Imaging Retina. 2014;45(4):343-6.
5. Hirano Y, Yasukawa T, Ogura Y. Bilateral serous retinal detachments associated with accelerated hypertensive choroidopathy. Int J Hypertens. 2010; 2010:964513.
6. Morse PH. Elschnig’s spots and hypertensive choroidopathy. Am J Ophthalmol. 1968;66(5):844-52.
7. Verougstraete C. [ Macular edema in arterial hypertension]. Bull Soc Belge Ophtalmol. 1991; 240:23-33. French.
8. Nakamura T, Miyauchi O, Mizota A, Adachi-Usami E. Bilateral leopard spot fundus of hypertensive choroidopathy and its visual function. Ophthalmologica. 2002;216(3):228-9.
9. Horton JC, Parker AB, Botelho JV, Duncan JL. Spontaneous regeneration of human photoreceptor outer segments. Sci Rep. 2015; 5:12364.
10. Terasaki H. [Relationship between vitrectomy and the morphology and function of the retina]. Nippon Ganka Gakkai Zasshi. 2003; 107(12):836-64; discussion 65. Japanese.
Submitted for publication:
December 13, 2018.
Accepted for publication:
March 10, 2019.
Funding: No specific financial support was available for this study
Disclosure of potential conflicts of interest: None of the authors have any potential conflicts of interest to disclose
How to cite this article: