Antonio Augusto V. Cruz1; Roberto Murillo Limongi2; Eduardo Damous Feijó2; Tim Jürg Enz3
DOI: 10.5935/0004-2749.20220029
ABSTRACT
The purpose of this article was to report a case of intraconal lacrimal gland tissue and to review the literature on lacrimal gland choristoma. The magnetic resonance imaging findings of a biopsy-proven orbital case are also presented. A PubMed database search was performed using the key terms heterotopic, ectopic, aberrant, choristoma, and lacrimal gland to identify all the previously documented studies on lacrimal gland choristoma, in English, Spanish, and French. We classified the lacrimal gland choristoma cases classified according to the location of the lesions, clinical appearance, management, and outcome. The search targeting the period between 1887 and 2019 returned 79 articles, which were reviewed. We found a total of 113 cases of choristomas with normal lacrimal gland tissue. Only two of them were not associated with the eye or its adnexa while the remaining 111 lesions were found either on the ocular surface (n=46) or in the orbit (n=34). Intraocular choristomas were found in 18 patients, and the rest of the lesions were noted either on the eyelids (n=10) or in the lacrimal drainage system (n=3). Orbital and intraocular choristomas are the most harmful lesions as orbital choristomas are frequently associated with permanent diplopia while intraocular lacrimal gland choristomas have a poor visual prognosis and are a common cause of enucleation of the eye. In one of the reported cases, a corneal lacrimal gland choristoma had been experimentally induced by activating the FGF10 signaling pathway. Lacrimal gland choristomas are not uncommon. This peculiar type of lesion has been experimentally induced and may appear in a variety of locations associated with the globe and its adnexa.
Keywords: Lacrimal gland; Choristoma; Prognosis
RESUMO
Descrever um caso de tecido de glândula lacrimal orbitário intracônico e revisar a literatura sobre choristomas lacrimais. Os termos heterotópico, ectópico, aberrante, choristoma e glândula lacrimal foram usados para procurar manuscritos em inglês, espanhol e francês. Todos os artigos encontrados foram revisados. Os choristomas lacrimais relatados foram classificados segundo a localização das lesões, aparência clínica, manejo e desfecho. Imagens de ressonância magnética de um novo caso orbitário comprovado por biópsia também são apresentadas. Foram revisados setenta e nove artigos, de 1887 a 2019, descrevendo 113 casos de choristomas constituídos por tecido de glândula lacrimal normal. Apenas 2 casos (2%) não estavam associados com o olho ou seus anexos. A maioria das 111 lesões restantes foram encontradas na superfície dos olhos (n=46) e nas órbitas (n=34). Os choristomas intraoculares foram encontrados em 18 pacientes. As demais lesões foram diagnosticadas nas pálpebras (n=10) e no sistema lacrimal (n=3). Os choristomas orbitais e intraoculares foram as lesões mais deletérias. Na órbita eles são frequentemente associados com diplopia permanente. Os choristomas lacrimais intraoculares imitam neoplasias e são uma causa comum de enucleação. Os choristomas lacrimais não são incomuns. Este tipo peculiar de lesão já foi induzido experimentalmente uma única vez e pode aparecer em uma variedade de locais associados ao globo e sua anexos. Os choristomas intraoculares têm um prognóstico visual ruim.
Descritores: Glândula lacrimal; Coristoma; Prognostico
INTRODUCTION
Lacrimal gland choristomas are benign lesions formed by normal lacrimal gland tissue (LGT) present outside the lacrimal fossa. LGTs may occur in a variety of unusual places and are either heterotopic(1), aberrant(2), or ectopic(3). This type of choristomas is uncommon and extremely difficult to identify in a clinical setting as they may mimic neoplastic(4) or parasitic lesions(5). The knowledge related to these lesions is limited due to the inconsistency in the terminologies used to describe them. Also, the information pertaining to its epidemiology, topographic location, and neoplastic transformation is unorganized and scattered across the literature, adding to the challenge.
The purpose of this article was to describe a new case of intraconal LGT and perform a literature review of similar previous studies that were based on the location and clinical characteristics of the lacrimal gland choristomas.
METHODS
We searched the PubMed database using the key terms heterotopic, ectopic, aberrant, choristoma, and lacrimal gland (LG), for articles published between 1887 and 2019. All articles in English, Spanish, and French were reviewed and categorized based on the location of the lesions, their clinical appearance, management, and outcome. We also screened the references cited in the articles for additional reports, which were included in the literature analysis.
RESULTS
We found 79 articles from 1887 to 2019, describing 113 cases of LG choristomas(1-78). LGT was reported outside the limits of the eye and its adnexa in only two cases. As shown in tables 1 to 4, the remaining 111 cases were associated with either the eyeball (n=64%, 57.6%)(1-4,6-12,14,20,23,24,26,27,29,30,33,34,38,40,43,45-47,49,50, 54-56,58,61,66,69,71,74,76,79), orbit (n=34, 30.6%)(5,12,13,15-18,21,22,25,32,35-37,42,48,51,57,59,60,68,70,73,75,77,78), or less commonly, the eyelids (n=10, 9.0%)(31,39,41,52,53,65,72,73). Out of the 64 cases related to the globe,18 (28.1%) were intraocular uveal choristomas(2-4,10,12,14,20,23,30,33,34,38,40,45-47,49,69) and 46 (71.9%) were epibulbar lesions(1,7-9,11,24,26,27,29,43,50,54-56,58,61,71,74,76,79). Interestingly, 38 (82.6%) of the 46 epibulbar lesions were found in the lateral half of the globe(1,6,7,11,26,27,29,43,50,54,56,66,71,74,76,79), involving the superotemporal quadrant(1,11,26,27,29,43,66,71,74,76) in majority of the cases (n=15, 32.6%). Among the 34 orbital choristomas, 16 (50%) were diagnosed on the lateral aspect of the intra- or extraconal orbital compartment(12,13,15,16,18,22,25,32,42,48,57,60,67,73,75). Kural, in his article, described the case of a 9-year-old boy with a lacrimal fistula in the middle of the temporal fossa, which was surgically explored and an extraorbital LG was removed(28). Pe’er reported the finding of normal LGT in the nasal mucosa, in his study(19). The occurrence of ectopic LGT within the lacrimal drainage system is extremely rare with only three cases reported in the lacrimal sac so far(62,63,65).
The overall female-to-male ratio was 1:1. The age of the patients at the time of surgical management of the LG choristomas correlated with the location of the lesion. The intraocular choristomas were managed at a median age of 10.5 months, whereas the epibulbar, orbital, and eyelid lesions were addressed much later in life, at a median age of 13, 18, and 43.5 years, respectively. Orbital choristomas were especially difficult to differentiate from inflammatory and neoplastic conditions. In all the reported cases, the LG choristomas were confirmed only after biopsy and histopathological examination.
Case Presentation
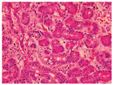
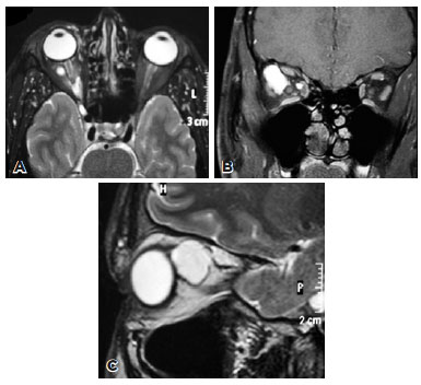
A 30-year-old male presented to the University Hospital of Ribeirão Preto for a follow-up examination after having undergone lateral orbitotomy elsewhere 2 years ago. According to him, the procedure had been performed to treat right eye proptosis, secondary to a large orbital mass. His past medical history was significant for multiple steroid injections into the right orbit for the management of a presumed orbital hemangioma during childhood. Examination of the right eye revealed no proptosis and unrestricted ocular motility. The funduscopic and visual field examinations were normal. Magnetic resonance imaging (MRI) showed multiple, large intraconal cysts in the right orbit. T1- and T2-weighted MRI revealed well-circumscribed masses around the right optic nerve with high signal intensity compared to the vitreous on T1W and T2W images (Figure 1). Histopathological evaluation of the sections of specimen obtained from the previous orbital surgery revealed ducts and acini of benign LGT (Figure 2) and absence of atypical cells, mitotic activity, and necrosis. No further intervention was planned as the patient was asymptomatic.
07-fig01.jpg)
07-fig02.jpg)
DISCUSSION
The occurrence of ectopic LGTs and intraocular lacrimal gland choristomas, as well as their progression into tumors, has been known since the 19th century. In 1891, Schirmer reported a case of conjunctival adenoma located between the insertion point of the medial rectus muscle and plica semilunaris(7). Puech is considered to be the first to have reported a choroidal adenoma in an adult female in 1887(10,14). A large number of LG choristoma cases have been published since these early reports. Although the present review is highly representative of the studies reported in the literature, it is not exhaustive. Some ancient papers could not be retrieved, and manuscripts written in European languages were not included. The analysis of the literature review described in this article is similar to that of a recent publication on the same subject(81) where it has been presented in a more condensed form.
A question is whether ectopic LGT lesions are choristomas. The term choristoma is derived from the Greek word choristos (separated)-a tumor-like growth of microscopically normal tissue presents in an abnormal location(82). The LG is located in the orbital lacrimal fossa. Accessory LGs are present in the superior and inferior conjunctival fornix (glands of Krause), along the nonmarginal border of the tarsal plates (glands of Wolfring), and in the plica semilunaris and the caruncle(83). Thus, LGT lesions should be considered choristomas only if found outside these locations. Table 2 presents the cases of intraocular lacrimal choristomas found at different locations, as reported by several authors over the years. Ectopic LGT lesions might be a result of changes in the accessory lacrimal glands as in the case reported by Boase and Bullock who found an “ectopic” lacrimal cyst involving the caruncle or the medial aspect of the conjunctiva near the plica(8,24).
The second important characteristic of an ectopic choristoma is that it is distinctly separated from the anatomical structure it is derived from. A definite cleavage between a superolateral mass of LGT and the LG should be evident for consideration of an LGT as ectopic(84). Ectopic LGTs have been noted to be most commonly located in the epibulbar conjunctiva. However, in some of the epibulbar LGT cases reported previously, it is not clear if the superolateral masses that were considered as ectopic were actually detached from the LG(11,26,27,29,43,54,61,66,71,74,76).
A critical analysis of the published cases also raises doubts about whether all the reported lesions within the orbit represent true choristomas. Green et al. described a case wherein the excised tissue was attached to the orbital lobe of the LG(12). Kao reported a case of an inferior dacryops (rare, benign lacrimal gland/duct cyst) that was similar that of the accessory LGs usually found in the inferior fornix(78). The orbital images of superotemporal lesions found in some other cases do not show a clear disunion between the LGTs labeled as ectopic and the LG(32,60).
Only two other studies(12,85) on LG choristomas have described the distribution of lesions similar to that presented in our review. Alyahya et al analyzed sections of 61 LG choristoma specimen spanning 50 years, collected from the files of the Eye Pathology Institute of Copenhagen. They compared the details on location and clinical diagnosis of the lesion specimen with their histological findings. Out of the 61 lesions, 43 (70.5%) were found on the superotemporal portion of the bulbar conjunctiva(85). Although these studies did not provide any clinical information, they clearly specified the location of the lesions.
Knowledge of the LG’s embryonic development is essential for speculating about the origin of lacrimal gland choristomas. LG formation consists of three stages(86). During stage 1, LG appears as a thickening of the superior fornix epithelium and surrounding mesenchymal condensation at O’Rahilly stages 19-20 (crown-rump length 17-20 mm, 48-51 days). Stage 2 marks an epithelial bud formation at O’Rahilly stages 21-23 (crown-rump length 23-28 mm, 52-57 days). Stage 3 of LG development occurs during the fetal period (weeks 13-16) and is characterized by gland maturity.
The embryonic development of LG is based on the general process of branching morphogenesis as it has a tubulo-acinar branching structure (lobules formed by acini and intralobular, interlobular, and excretory ducts) similar to a bunch of grapes(87,88). LG development depends on the interaction between the surface ectoderm and surrounding mesenchyme, which is facilitated by the exchange of chemical signals between groups of cells. This occurs through specific signaling pathways such as fibroblast growth factor 10 (FGF10), homeobox transcription factor Barx2, bone morphogenetic protein 7 (BPM7), and the canonical Wnt signaling family(89-91).
Mesenchymal FGF10 expression is crucial for LG induction(92-94) as it promotes epithelial gland proliferation by directly activating FGF receptor-2 IIIb in the conjunctival epithelium. Barx2, BPM7, and the canonical Wnt signaling family are responsible for the branching morphogenesis. Barx2, which is expressed in the epithelium, is necessary for branching elongation(95). BMP7 is expressed mainly in the mesenchyme, where it promotes the proliferation and aggregation of the cells, and a lack of this molecule impairs bud formation(96). The canonical Wnt cascade, on the contrary, is induced in the gland epithelium, inhibiting branching(97).
The evolving knowledge of the molecular mechanisms involved in LG morphogenesis rules out the old theory that lacrimal gland choristomas are a result of an aberrant migration of cells(2). In fact, it has already been experimentally demonstrated that activation of the FGF10 signaling pathway can induce LGT formation within the cornea(94). Thus, it can be safely concluded that lacrimal gland choristomas result from localized abnormal expression of the signaling molecules associated with LG morphogenesis. A similar conclusion was drawn by Milman et al. who analyzed the immunohistochemical characteristics of lacrimal hamartomas(98). They also noted that these lesions are derived from indigenous conjunctival precursor cells activated by mesenchymal influences.
The clinical management of lacrimal gland choristomas and their impact on vision depend on the location of the LGT. Epibulbar lesions can be easily excised without serious impairment of visual function. Choristomas in the eyelids also present as solitary masses which can be easily managed. However, orbital choristomas are very difficult to diagnose and remove and can severely impair vision. As noted in table 2, 8 out of 34 patients had persistent diplopia(12,13,15,48,59,75,77), two patients suffered vision loss(12), and one patient had to be exenterated due to malignant transformation(36).
Intraocular development of LGT poses the highest risk for vision loss. Based on the information in the literature, 9 out of 18 affected eyes were enucleated(2-4,10,12,14,20,23,49), mainly due to the difficult differential diagnosis of intraocular malignancies such as medulloepithelioma(4). The tear fluid is composed of electrolytes, metabolites, lipids, mucins, and a large number of proteins. Recent proteomic studies have identified more than 1,516 proteins in tears(99). Therefore, intraocular tear fluid production by ectopic LGT could contribute to the inflammation(34) or increase in ocular pressure, which has been verified in several studies(14,30,33,38,47,49).
REFERENCES
1. Kim J, Chi J. Heterotopic lacrimal gland as a component of ocular choristoma. Seoul J Med. 1989;30:97-103.
2. Christensen L, Anderson ED. Aberrant intraocular adenomata and epithelization of the anterior chamber. AMA Arch Opthalmol. 1952; 48(1):19-29.
3. Dallachy R. Ectopic Lacrimal Glandular Tissue within the Eyeball. Br J Ophthalmol. 1961;45(12):808-15.
4. Tauziède-Espariat A, Roche O, Dufier JL, Putterman M. Recurrent lacrimal gland choristoma of the ciliary body in an infant mimicking a medulloepithelioma. Eur J Ophthalmol. 2016;26(6):e145-8.
5. Pujari A, Ali MJ, Vemuganti GK, Naik MN. Intramuscular ectopic lacrimal gland cyst masquerading as myocysticercosis. Ophthal Plast Reconstr Surg. 2015;31(2):e45-7.
6. Dame LR. Accessory lacrimal gland on the cornea. Am J Ophthalmol. 1946;29(5):579-82.
7. François J, Rabaey M. Adenoma of the limbal conjunctiva. Br J Ophthalmol. 1951;35(4):237-41.
8. Boase AJ. Adenoma of the conjunctiva. Br J Ophthalmol. 1954; 38(6):380-2.
9. Mettier SR Jr. Aberrant lacrimal gland. AMA Arch Opthalmol. 1958;60(3):488-91.
10. Hunter WS. Aberrant intra-ocular lacrimal gland tissue. Br J Ophthalmol. 1960;44(10):619-25.
11. Gördüren S. Aberrant Lacrimal Gland Associated with Other Congenital Abnormalities. Br J Ophthalmol. 1962;46(5):277-80.
12. Green WR, Zimmerman LE. Ectopic lacrimal gland tissue. Report of eight cases with orbital involvement. Arch Ophthalmol. 1967; 78(3):318-27.
13. Baldridge M. Aberrant lacrimal gland in the orbit. Arch Ophthalmol. 1970;84(6):758-9.
14. Morgan G, Mushin A. Ectopic intraocular lacrimal gland tissue. Br J Ophthalmol. 1972;56(9):690-4.
15. Zilkha A. Ectopic lacrimal gland and exophthalmos. Case report with emphasis on value of orbital venography. Radiology. 1972; 103(2):275-6.
16. Mueller EC, Borit A. Aberrant lacrimal gland and pleomorphic adenoma within the muscle cone. Ann Ophthalmol. 1979;11(4):661-3.
17. Rush A, Leone CR Jr. Ectopic lacrimal gland cyst of the orbit. Am J Ophthalmol. 1981;92(2):198-201.
18. Appel N, Som PM. Ectopic orbital lacrimal gland tissue. J Comput Assist Tomogr. 1982;6(5):1010-2.
19. Pe’er J, Ilsar M. Ectopic lacrimal gland under the nasal mucosa. Am J Ophthalmol. 1982;94(3):418-9.
20. Conway VH, Brownstein S, Chisholm IA. Lacrimal gland choristoma of the ciliary body. Ophthalmology. 1985;92(3):449-53.
21. Nikhil KC, Kaushik C. Ectopic lacrimal gland in the eyelids (a case report). Indian J Ophthalmol. 1985;33(1):65-6.
22. Margo CE, Naugle TC Jr, Karcioglu ZA. Ectopic lacrimal gland tissue of the orbit and sclerosing dacryoadenitis. Ophthalmic Surg. 1985;16(3):178-81.
23. Ghadially FN, Chisholm IA, Lalonde JM. Ultrastructure of an intraocular lacrimal gland choristoma. J Submicrosc Cytol. 1986;18(1):189-98.
24. Bullock JD, Fleishman JA, Rosset JS. Lacrimal ductal cysts. Ophthalmology. 1986;93(10):1355-60.
25. 25. von Domarus H. A lacrimal gland cyst in the orbit. J Craniomaxillofac Surg. 1987;15(2):106-9.
26. Hered RW, Hiles DA. Epibulbar osseous choristoma and ectopic lacrimal gland underlying a dermolipoma. J Pediatr Ophthalmol Strabismus. 1987;24(5):255-8.
27. Pokorny KS, Hyman BM, Jakobiec FA, Perry HD, Caputo AR, Iwamoto T. Epibulbar choristomas containing lacrimal tissue. Clinical distinction from dermoids and histologic evidence of an origin from the palpebral lobe. Ophthalmology. 1987;94(10):1249-57.
28. Kural G, Serifoglu A, Ertüre S. A case of aberrant lacrimal gland and fistula. Br J Ophthalmol. 1989;73(5):376-7.
29. Allende FP. Neurofibromatosis difusa con enorme glándula lagrimal aberrante en posición córneo-conjuntival. Arch Oftalmol B Aires. 1954;29:119-205.
30. O’Donnell BA, Martin FJ, Kan AE, Filipic M. Intraocular lacrimal gland choristoma. Aust N Z J Ophthalmol. 1990;18(2):211-3.
31. Gordon AJ, Patrinely JR, Knupp JA, Font RL. Complex choristoma of the eyelid containing ectopic cilia and lacrimal gland. Ophthalmology. 1991;98(10):1547-50.
32. Boccato P, Blandamura S, Midena E, Carollo C. Orbital ectopic lacrimal gland tissue simulating a neoplasm. Report of a case with fine needle aspiration biopsy diagnosis. Acta Cytol. 1992;36(5):737-43.
33. Shields JA, Eagle RC Jr, Shields CL, De Potter P, Poliak JG. Natural course and histopathologic findings of lacrimal gland choristoma of the iris and ciliary body. Am J Ophthalmol. 1995;119(2):219-24.
34. Rowley SA, Karwatowski WS. Lacrimal gland choristoma of the ciliary body. Arch Ophthalmol. 1997;115(11):1482-3.
35. Sakurai H, Mitsuhashi N, Hayakawa K, Nozaki M, Kurosaki H, Kishi S, et al. Ectopic lacrimal gland of the orbit. J Nucl Med. 1997;38(9):1498-500.
36. Shields JA, Shields CL, Eagle RC Jr, Adkins J, De Potter P. Adenoid cystic carcinoma developing in the nasal orbit. Am J Ophthalmol. 1997;123(3):398-9.
37. West JA, Drewe RH, McNab AA. Atypical choristomatous cysts of the orbit. Aust N Z J Ophthalmol. 1997;25(2):117-23.
38. Klüppel M, Müller W, Sundmacher R. Lacrimal gland choristoma of the iris. Arch Ophthalmol. 1999;117(1):110-1.
39. Sim KT, Sullivan SC. Aberrant lacrimal gland within the tarsal plate presenting as hyperlacrimation. Eye (Lond). 1999;13(Pt 4):591-3.
40. Shields JA, Hogan RN, Shields CL, Eagle RC Jr, Weakley DR Jr. Intraocular lacrimal gland choristoma involving iris and ciliary body. Am J Ophthalmol. 2000;129(5):673-5.
41. Lee WR, Aitken DA, Kirkness CM. Diffuse hyperplasia of intratarsal ectopic lacrimal gland tissue. Arch Ophthalmol. 2002;120(12):1748-52.
42. Solaroğlu I, Okutan O, Kaptanoğlu E, Beşkonakli E. Unilateral proptosis arising from an ectopic lacrimal gland of the orbit. J Neurosurg. 2005;103(3 Suppl):289-91.
43. Duncan JL, Golabi M, Fredrick DR, Hoyt CS, Hwang DG, Kramer SG, et al. Complex limbal choristomas in linear nevus sebaceous syndrome. Ophthalmology. 1998;105(8):1459-65.
44. Kim BH, Henderson BA. Intraocular choristoma. Semin Ophthalmol. 2005;20(4):223-9.
45. Cho HY, Sa HS, Kang SW. Lacrimal gland choristoma of the ciliary body. Jpn J Ophthalmol. 2006;50(2):100-2.
46. Jung JY, Kim JH, Kim ST, Kim HJ, Weon YC. MR features of intraocular ectopic lacrimal tissue. AJNR Am J Neuroradiol. 2006;27(10):2196-8.
47. Kobrin EG, Shields CL, Danzig CJ, Ehya H, King RA, Shields JA. Intraocular lacrimal gland choristoma diagnosed by fine-needle aspiration biopsy. Cornea. 2007;26(6):753-5.
48. Yüceer N, Ozer E. Solitary ectopic lacrimal gland tissue of the orbit presenting with unilateral proptosis in a 5-year-old child. J Pediatr Neurosci. 2008;3(2):157-9.
49. Ranganathan D, Lenhart P, Hubbard GB, Grossniklaus H. Lacrimal gland choristoma in a preterm infant, presenting with spontaneous hyphema and increased intraocular pressure. J Perinatol. 2010;30(11):757-9.
50. Patyal S, Banarji A, Bhadauria M, Gurunadh VS. Pleomorphic adenoma of a subconjunctival ectopic lacrimal gland. Indian J Ophthalmol. 2010;58(3):245-7.
51. Lenzi R, Casani AP, Sellari-Franceschini S. Ectopic intraorbital lacrimal ductal cyst: a case report. Orbit. 2012;31(5):350-1.
52. Alsuhaibani AH. Slow-growing large pleomorphic adenoma of ectopic lacrimal gland tissue in the upper eyelid. Saudi J Ophthalmol. 2012;26(4):453-5.
53. Obi EE, Drummond SR, Kemp EG, Roberts F. Pleomorphic adenomas of the lower eyelid: a case series. Ophthal Plast Reconstr Surg. 2013;29(1):e14-7.
54. Rao VA, Kwatra V, Puri A. Cyst of ectopic (choristomatous) lacrimal gland. Indian J Ophthalmol. 1989;37(4):189-90.
55. Ferri S, Shinder R. Inferomedial dermolipoma with ectopic lacrimal gland. Ophthal Plast Reconstr Surg. 2013;29(2):e43-4.
56. Hughes WL, Ballen PH. Ectopic lacrimal gland. AMA Arch Opthalmol. 1956;55(2):271-3.
57. Bech K, Jensen OA. Mixed Tumor of the Lower Orbital Region. Arch Ophthalmol. 1965;74(2):226-8.
58. Kessing SV. Ectopic lacrimal gland tissue at the corneal limbus (gland of Manz?). Acta Ophthalmol (Copenh). 1968;46(3):398-403.
59. Braich PS, Silbert JE, Levada AJ, Schiff NR. Pseudo third cranial nerve palsy secondary to orbital ectopic lacrimal gland cyst: management with functional endoscopic sinus surgery. Ear Nose Throat J. 2014;93(2):77-9.
60. Misra S, Bhandari A, Misra N, Gogri P, Mahajan S. Pleomorphic adenoma of a deep orbital ectopic lacrimal gland. Orbit. 2016;35(5):295-7.
61. Raven ML, Larson JC, Potter HD. Ectopic lacrimal gland underlying a caruncular nevus. Ophthalmology. 2016;123(5):1136.
62. Ali MJ, Mishra DK, Naik MN. Ectopic lacrimal gland in a complex choristoma involving the lacrimal sac fossa. Saudi J Ophthalmol. 2017;31(3):162-4.
63. Wang Y, Jakobiec FA, Zakka FR, Lee NG. A Lacrimal gland choristoma of the lacrimal sac. Ophthal Plast Reconstr Surg. 2018;34(1):e3-6.
64. Singh S, James C, Curragh DS, Selva D. Lacrimal gland choristoma in lacrimal sac as a probable cause of nasolacrimal duct obstruction. Clin Exp Ophthalmol. 2019;47(5):675-7.
65. Wajda BN, Mancini R, Evers B, Nick Hogan R. A rare case of atypical pleomorphic adenoma arising from periocular ectopic lacrimal gland. Int Ophthalmol. 2019;39(7):1617-9.
66. Pfaffenbach DD, Green WR. Ectopic lacrimal gland. Int Ophthalmol Clin. 1971;11(3):149-59.
67. Suneetha N, Nirmala V, Thomas R, Battu R, Job R, Rawoof A. Isolated myositis: A rare presentation of intraorbital ectopic lacrimal gland. Indian J Ophthalmol. 1999;47:124-6.
68. Guy JR, Quisling RG. Ectopic lacrimal gland presenting as an orbital mass in childhood. AJNR Am J Neuroradiol. 1989;10(5 Suppl):S92.
69. Bruce GM. Aberrant glandular tissue in the iris. Trans Am Acad Ophthalmol Otolaryngol. 1952;56(1):47-51.
70. Mindlin A, Lamberts D, Barsky D. Mixed lacrimal gland tumor arising from ectopic lacrimal gland tissue in the orbit. J Pediatr Ophthalmol. 1977;14(1):44-7.
71. Raina UK, Chaudhuri Z. Ectopic lacrimal glandular tissue in a neonate with giant congenital melanocytic nevi and cutis verticis gyrata. J Pediatr Ophthalmol Strabismus. 2010;47 Online:e1-4.
72. Evans PA. Adenoma in an Eyelid. Br J Ophthalmol. 1964;48(4):234-5.
73. Jain BS. Pleomorphic Adenoma. Report of Two Uncommon Cases. Am J Ophthalmol. 1964;57(4):672-5.
74. Braun-Vallon S. [Strange abnormality of the lateral rectus muscle]. Bull Soc Ophtalmol Fr. 1955;4:212. French.
75. Boudet B, Bertezene. [Exophthalmos caused by lacrimal adenoma in an ectopic position (angiography of the orbit)]. Bull Soc Ophtalmol Fr. 1964;64:624-7. French.
76. Firat T, Emüler U. Two cases of aberrant lacrimal gland. Ann Ophthalmol. 1971;3(1):50-1.
77. Jacobs L, Sirkin S, Kinkel W. Ectopic lacrimal gland in the orbit identified by computerized axial transverse tomography. Ann Ophthalmol. 1977;9(5):591-3.
78. Kao SC, Yeh LK, Tsai CC, Hsu WM. Ectopic lacrimal gland cyst of the orbit. Zhonghua Yi Xue Za Zhi (Taipei). 2000;63(4):334-8.
79. Aldossary MM, Alkatan HM, Maktabi AM. Epibulbar complex and osseous choristoma: clinicopathological study with interesting associations. Ann Med Surg (Lond). 2018;36:135-41.
80. Duke-Elder S, MacFaul PA, editors. The ocular adnexa part II lacrimal, orbital and para-orbital diseases. London: Henry Kimpton; 1974. Tumors of ectopic (aberrant) lacrimal gland tissue p. 661.
81. Nagendran S, Alsamnan M, Strianese D, Malhotra R. Ectopic Lacrimal gland tissue: A systematic review. Ophthalmic Plast Reconstr Surg. 2020;36(6):540-4.
82. Mansour AM, Barber JC, Reinecke RD, Wang FM. Ocular choristomas. Surv Ophthalmol. 1989;33(5):339-58.
83. Bron AJ, Tripathi RC, Tripathi B, editors. Wolff’s Anatomy of the eye and orbit. London: Chapman & Hall Medical; 1997. The ocular appendages: eyelids, conjunctiva and lacrimal apparatus. p. 30-72.
84. Henderson J, Campbell R, Farrow G, Garrity J. Ectopic lacrimal gland. In: Henderson J, Campbell R, Farrow G, Garrity J, editors. Orbital tumors. New York: Raven Press; 1994. p. 417-8.
85. Alyahya GA, Bangsgaard R, Prause JU, Heegaard S. Occurrence of lacrimal gland tissue outside the lacrimal fossa: comparison of clinical and histopathological findings. Acta Ophthalmol Scand. 2005;83(1):100-3.
86. de la Cuadra-Blanco C, Peces-Peña MD, Mérida-Velasco JR. Morphogenesis of the human lacrimal gland. J Anat. 2003;203(5):531-6.
87. Schechter JE, Warren DW, Mircheff AK. A lacrimal gland is a lacrimal gland, but rodent’s and rabbit’s are not human. Ocul Surf. 2010;8(3):111-34.
88. Hogan BL. Morphogenesis. Cell. 1999;96(2):225-33.
89. Carlson B, editor. Human embryology and developmental biology. Philadelphia: Saunders; 2014. Molecular basis for embryonic development p. 58-74.
90. Yao Y, Zhang Y. The lacrimal gland: development, wound repair and regeneration. Biotechnol Lett. 2017;39(7):939-49.
91. Garg A, Zhang X. Lacrimal gland development: from signaling interactions to regenerative medicine. Dev Dyn. 2017;246(12):970-80.
92. Makarenkova HP, Ito M, Govindarajan V, Faber SC, Sun L, McMahon G, et al. FGF10 is an inducer and Pax6 a competence factor for lacrimal gland development. Development. 2000;127(12):2563-72.
93. Qu X, Pan Y, Carbe C, Powers A, Grobe K, Zhang X. Glycosaminoglycan-dependent restriction of FGF diffusion is necessary for lacrimal gland development. Development. 2012;139(15):2730-9.
94. Govindarajan V, Ito M, Makarenkova HP, Lang RA, Overbeek PA. Endogenous and ectopic gland induction by FGF-10. Dev Biol. 2000;225(1):188-200.
95. Tsau C, Ito M, Gromova A, Hoffman MP, Meech R, Makarenkova HP. Barx2 and Fgf10 regulate ocular glands branching morphogenesis by controlling extracellular matrix remodeling. Development. 2011;138(15):3307-17.
96. Dean C, Ito M, Makarenkova HP, Faber SC, Lang RA. Bmp7 regulates branching morphogenesis of the lacrimal gland by promoting mesenchymal proliferation and condensation. Development. 2004;131(17):4155-65.
97. Dean CH, Miller LA, Smith AN, Dufort D, Lang RA, Niswander LA. Canonical Wnt signaling negatively regulates branching morphogenesis of the lung and lacrimal gland. Dev Biol. 2005;286(1):270-86.
98. Milman T, Jakobiec FA, Lally SE, Shields JA, Shields CL, Eagle RC Jr. Lacrimal Gland Hamartoma (Formerly Termed Dacryoadenoma). Am J Ophthalmol. 2020;217:189-97.
99. Aass C, Norheim I, Eriksen EF, Thorsby PM, Pepaj M. Single unit filter-aided method for fast proteomic analysis of tear fluid. Anal Biochem. 2015;480:1-5.
Submitted for publication:
May 6, 2020.
Accepted for publication:
October 12, 2020.
Funding: This study received no specific financial support
Disclosure of potential conflicts of interest: None of the authors have any potential conflicts of interest to disclose