Letícia S. C. da Silva1; Luciana P. S. Finamor1; Gabriel C. Andrade1; Luiz H. Lima1; Claudio Zett2; Cristina Muccioli1; Eduardo P. Sarraff1; Paula M. Marinho1,3; Julia Peruchi4; Raiza D. de L. Oliveira5; Lena Giralt6; Ivonne Charcan6; Alex Fonollosa6; Jose D. Diaz7; Janet L. Davis7; Heloisa Nascimento1,3,8 ; Rubens Belfort Jr1,3
DOI: 10.5935/0004-2749.20220071
ABSTRACT
PURPOSE: The primary purpose of this study was to assess vascular retinal findings temporally related to COVID-19 vaccination. With greater information regarding all possible future adverse events, we hope to understand the real dimension and relevance of what was presented.
METHODS: Eleven patients with visual complaints after COVID-19 vaccination were enrolled. Data on the following were included: age, sex, vaccine, time of symptom onset, systemic findings, medical history, best-corrected visual acuity, and ocular findings by slit-lamp biomicroscopy as well as multimodal retinal imaging (color fundus, red-free photography, spectral-domain optical coherence tomography, optical coherence tomography angiography, and fluorescein-angiography). Inclusion criteria were the presence of ophthalmologic signs within 30 days after the first or second dose of any COVID-19 vaccine.
RESULTS: Of 11 patients, five had arterial occlusion (45.4%), four had venous occlusion (36.4%), and two (18.2%) had nonspecific vascular alterations suggestive of retinal ischemia such as cotton-wool spots. The mean age was 57 (SD = 16; range: 27-84) years. The mean time of symptoms onset was 10 (SD = 5.4; range: 3-16) days. Nine patients were female (81.8%). Systemic risk factors were observed in 36.4% of patients. Two patients had both neurological and visual symptoms, with arterial occlusion. Overall, 36.4% patients had COVID-19 in the previous year. Seven patients (63.6%) received ChAdOx1 nCoV-19 (AZD1222) vaccine.
CONCLUSIONS: Our data suggest that retinal events temporally related to COVID-19 vaccination are possible but are very rare. The relationship of these events with post-COVID-19 vaccination warrants further attention to derive a meaningful conclusion.
Keywords: COVID-19; Coronavirus infection; Vaccine; Arterial occlusion; Venous occlusion; Susac syndrome
RESUMO
OBJETIVOS: o principal objetivo deste estudo foi descrever pacientes com achados vasculares retinianos temporalmente relacionados à vacinação contra COVID-19. Com maior notificação de possíveis eventos adversos similares, esperamos compreender a real dimensão e relevância do que foi apresentado.
MÉTODOS: Onze pacientes com queixas visuais após vacinação contra COVID-19 foram estudados. Os dados analisados foram: idade, gênero, tipo de vacinação, tempo de aparecimento de sintomas, achados sistêmicos, antecedentes pessoais, acuidade visual com melhor correção, biomicroscopia e imagem retiniana multimodal (retinografia colorida, red-free, SD-OCT, OCTA e angiofluoresceinografia). Os critérios de inclusão foram a presença de alterações oftalmológicas ocorridas dentro de 30 dias após a primeira ou segunda dose de qualquer vacina contra COVID-19.
RESULTADOS: Onze pacientes foram incluídos: 5 com oclusão arterial (45,4%), 4 com oclusão venosa (36,4%) e 2 (18,2%) com alterações não específicas vasculares sugestivas de isquemia retiniana como exsudatos algodonosos. A idade média dos pacientes foi de 57 anos (DP=16; com intervalo de 27 a 84 anos). A média de tempo de aparecimento de sintomas após a vacinação foi de 10 dias (DP=5,4; com intervalo de 3 a 16 dias). Nove dos onze pacientes eram do sexo feminino (81,8%). Fatores de risco sistêmicos foram observados em 36,4% dos pacientes. Dois pacientes tiveram sintomas neurológicos e visuais, com oclusão arterial. 36,4% dos pacientes tiveram infecção prévia por COVID-19 no último ano. Sete pacientes (63,6%) receberam a vacina ChAdOx1 nCoV-19 (AZD1222).
CONCLUSÕES: nossos dados sugerem que eventos retinianos temporalmente relacionados à vacinação contra COVID-19 são possíveis, porém raros. A relação entre estes eventos pós-vacinais exigem futura atenção antes de maiores conclusões.
Descritores: COVID-19; Infecções por coronavírus; Vacina; Oclusão arterial; Oclusão venosa; Síndrome de Susac
INTRODUCTION
Severe acute respiratory syndrome coronavirus-2 (SARS-CoV-2) has infected millions of people globally, causing the coronavirus disease 2019 (COVID-19) pandemic. This has resulted in an unprecedented effort to develop vaccines against this virus. As vaccines are now being introduced globally, we face the prospect of millions of people being vaccinated with multiple vaccine types, many of which use new platforms.
Although highly effective and well-tolerated in most patients, immunization is not without side effects. The rates of mild acute adverse events reported in vaccine registration trials typically range from 10% to 30%(1).
Few studies have reported vein and artery retinal occlusion, uveitis, acute idiopathic maculopathy, acute macular neuroretinopathy, Vogt-Koyanagi-Harada disease, and multiple evanescent white dot syndrome after administration of different vaccines, such as those for B hepatitis, yellow fever, smallpox, Influenza, Neisseria meningitidis, and Herpes Zoster(2-13).
Recently, Fowler et. al. reported a case of a 33-year-old male who presented with unilateral central serous retinopathy 3 days after mRNA BNT162b2 vaccine administration (Pfizer/BioNTech)(14). Mudie et al. reported a case of a 43-year-old female with asymptomatic COVID-19 infection who developed panuveitis 3 days after her second dose of mRNA BNT162b2 vaccine (Pfizer/BioNTech)(15). In addition, Book at al. reported bilateral paracentral scotomas in a 21-year-old woman 3 days after receiving her first ChAdOx1 nCoV-19 (AZD1222) vaccine (Oxford/AstraZeneca)(16).
This study describes a series of patients with vascular retinal findings, temporally associated with COVID-19 vaccines, including inactivated SARS-CoV-2 vaccine (CoronaVac), mRNA-1273 vaccine (Moderna), mRNA BNT162b2 (Pfizer/BioNTech), and ChAdOx1 nCoV-19 (AZD1222) vaccine (Oxford/AstraZeneca).
METHODS
In March 2021, a study group of ocular adverse events after SARS-CoV-2 vaccination was created in São Paulo, Brazil, following surveillance and exchange of information. Eleven patients with visual complaints after COVID-19 vaccine were studied. Inclusion criteria were as follows: presence of ophthalmologic signs within 30 days after the first or second dose of any COVID-19 vaccine.
Data on the following were collected: age, sex, type of vaccine received, time of symptom onset after vaccination, presence or absence of systemic findings, medical history (including previous COVID-19 infection), best-corrected visual acuity, and ocular findings by slit-lamp biomicroscopy as well as multimodal retinal imaging (color fundus, red-free photography, SD-OCT, OCTA, and fluorescein-angiography). We analyzed cases from March to August 2021 that were reported by specialists from Brazil, USA, and Spain.
The study was approved by the Health Ethics Committee, and patients agreed to participate.
RESULTS
The mean age of patients was 57 (SD = 16; range: 27-84) years. The mean time of symptom onset after vaccination was 10 (SD = 5.4, range: 3-16) days. Nine of eleven patients were female (81.8%).
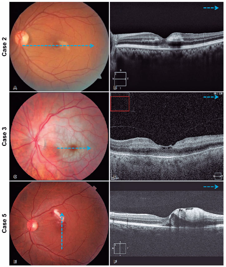
Systemic risk factors were observed in 36.4% of patients. In addition, 36.4% patients had COVID-19 infection in the previous year. Two patients had both neurological and visual symptoms with arterial occlusion, and details on one of them are presented in figure 1.
16-fig01tb.jpg)
Among the 11 described cases, five had arterial occlusion (45.4%) (Figures 1, 2, and 3), four had venous occlusion (36.4%), and two (18.2%) had nonspecific vascular alterations, suggestive of retinal ischemia such as cotton-wool spots (Figure 4). The most frequently administered vaccine was ChAdOx1 nCoV-19 (AZD1222), with 7 of 11 or 63.6% of patients receiving it. The collected data are summarized in table 1.
16-fig02tb.jpg)
16-fig03tb.jpg)
16-fig04tb.jpg)
DISCUSSION
Although it may seem intuitive that agents intended to activate the immune system may lead to the development of unintended immune activation and inflammatory adverse events in some patients, the precise mechanisms underlying such events is still unclear(17).
Acute retinal vascular occlusions are common causes of visual impairment. Retinal artery and vein occlusions are associated with increased age and cardiovascular risk factors(18). The presence of cotton-wool spots represents nerve fiber layer infarctions that result from inner retinal ischemia, secondary to the occlusion of precapillary arterioles, and can occur in several systemic diseases(19).
In this study, we found retinal vascular findings in 11 patients after COVID-19 vaccination, of which 7 (63.6%) had no previous vascular risk factors. The prevalence of retinal vein occlusions in predominantly white populations is 0.6%-1.2% (BRVO) and 0.1%-0.4% (CRVO), with an incidence of 0.12% (BRVO) and 0.03% (CRVO) per year. The estimated incidence of acute CRAO is 1-2 per 100,000 people per year or 0.001%(18).
Although rare, retinal vasculitis has also been reported as an adverse event following Influenza vaccination, mainly in elderly and female patients. This adverse event is probably associated with an increase in post-vaccine proinflammatory cytokines(7).
In the present study, two women with arterial occlusion had neurological symptoms, hearing disorders, and magnetic resonance imaging findings suggestive of Susac syndrome; one had bilateral retinal occlusion. Both had received the second dose of inactivated SARS-CoV-2 vaccine (CoronaVac) just 7 and 15 days prior to visual symptoms, and both had a history of COVID-19 infection. It is unknown if COVID-19 history increases the risk of side effects from the vaccine.
Vaccination as a trigger for immunologically related vascular inflammation has been previously described. Landa et al. described a case of an adult male who developed multiple branch retinal arteriolar occlusions and encephalopathy that occurred 10 days after smallpox vaccination. This was hypothesized to be Susac syndrome induced by vaccination(2).
This case series has some limitations. We described patients from different countries (Brazil, USA, and Spain) who received different vaccines. The mRNA-1273 (Moderna) and mRNA BNT162b2 (Pfizer/BioNTech) vaccines are based on mRNA that encodes a SARS-CoV-2 spike protein, whereas the CoronaVac (Sinovac Life Sciences, Beijing, China) comprises inactivated SARS-CoV-2 virus. In contrast, the ChAdOx1 nCoV-19 (AZD1222) vaccine (Oxford/AstraZeneca) uses a chimpanzee adenovirus-based vector. The most common vaccine among the patients was ChAdOx1 nCoV-19 (AZD1222) vaccine (Oxford/AstraZeneca), but the small sample size and availability of different vaccines among centers limited our ability to link the retinal events to a specific vaccine.
Antigenic cross-reactions, immediate hypersensitivity, and deposition of immune complexes directly related to the vaccine are hypothesized as explanations for the pathophysiology of retinal vascular occlusions after COVID-19 vaccination; however, there is no confirmed mechanism(3). Another theory implicates adjuvants that enhance the immunogenicity of vaccine antigens and may increase the risk of autoimmune side effects(20). The mRNA-1273 (Moderna) and mRNA BNT162b2 (Pfizer/BioNTech) vaccines use lipid nanoparticles, whereas the inactivated SARS-CoV-2 vaccine (CoronaVac) uses aluminum as adjuvants. The ChAdOx1 nCoV-19 (AZD1222) vaccine (Oxford/AstraZeneca), which was more common among our patients, does not comprise adjuvants.
There were two cases of retinal hemorrhages and cotton-wool spots, occurring 10 and 15 days, respectively, after the first dose of Oxford-AstraZeneca vaccine, both in women. Reportedly, retinal hemorrhages occur in children after routine vaccinations(21), and cotton-wool spots occur after smallpox vaccination(2). Natural COVID-19 infection has also been reported to be associated with retinal and vitreous abnormalities, such as cotton-wool spots, outer retina changes, and vitritis(22,23).
Although we cannot exclude the fact that the retinal events were coincidental and related to systemic risk factors in 4 of 11 (36.4%) patients, there was a very strong relationship between vaccination and retinal vascular events at a mean of 10 days after vaccination. The COVID-19 pandemic is propelling the global vaccine number to an unprecedented level. It is possible that we will have an increasing number of ocular events, which may or may not be caused or not by vaccination, and it is of great importance to describe new findings. To the best of our knowledge, no other study has described cases of such retinal manifestations following COVID-19 vaccination in the literature. Only future observation of an increase in the incidence of these events, through robust epidemiological surveys, will help better elucidate the causality of these findings with COVID-19 vaccination.
The speed of global vaccination against COVID-19 is unprecedented. Our data suggest that retinal events with a temporal association after COVID-19 vaccination are possible but very rare. We alert ophthalmologists and clinicians about the need to investigate suspected cases and carefully search for preexisting conditions that might explain the retinal vascular events, so that treatment can be arranged if needed. In addition, reporting rare events to central agencies such as the Vaccine Adverse Event Reporting System in the United States and Brazilian Health Regulatory Agency can help supply required epidemiologic evidence regarding whether these vascular events are more common after COVID-19. The immunologic basis of vaccine-related retinal vascular events deserves further exploration.
ACKNOWLEDGMENTS
This study was supported by CNPq rede virus MCT and CAPES.
REFERENCES
1. Spencer JP, Trondsen Pawlowski RH, Thomas S. Vaccine adverse events: separating myth from reality. Am Fam Physician. 2017; 95(12):786-94.
2. Landa G, Marcovich A, Leiba H, Springer A, Bukelman A, Pollack A. Multiple branch retinal arteriolar occlusions associated with smallpox vaccination. J Infect. 2006;52(1):e7-9.
3. Devin F, Roques G, Disdier P, Rodor F, Weiller PJ. Occlusion of central retinal vein after hepatitis B vaccination. Lancet. 1996; 347(9015):1626.
4. Granel B, Disdier P, Devin F, Swiader L, Riss JM, Coupier L, et al. Occlusion de la veine centrale de la rétine après vaccination contre l’hépatite virale B par vaccin recombinant. Quatre observations. Presse Med. 1997;26(2):62-5.
5. Menghini M, Raja V, Raiter J, Balaratnasingam C, Constable IJ. Acute retinal necrosis associated with Herpes Zoster vaccination. Retin Cases Brief Rep. 2021;15(2):166-8.
6. Moysidis SN, Koulisis N, Patel VR, Kashani AH, Rao NA, Humayun MS, et al. The second blind spot: small retinal vessel vasculopathy after vaccination against Neisseria meningitidis and yellow fever. Retin Cases Brief Rep. 2017;11 Suppl 1:S18-23.
7. Williams GS, Evans S, Yeo D, Al-bermani A. Retinal artery vasculitis secondary to administration of influenza vaccine. BMJ Case Rep. 2015;2015:bcr2015211971.
8. Pereima RR, Bonatti R, Crotti F, Furtado JM, Lopes MH, Yamamoto JH, et al. Ocular Adverse events following yellow fever vaccination: a case series. Ocul Immunol Inflamm. 2021 Apr;:1-5. doi: 10.1080/09273948.2021.1887279.
9. Marinho PM, Nascimento H, Romano A, Muccioli C, Belfort R Jr. Diffuse uveitis and chorioretinal changes after yellow fever vaccination: a re-emerging epidemic. Int J Retina Vitreous. 2019;5(1):30.
10. Ng CC, Jumper JM, Cunningham ET Jr. Multiple evanescent white dot syndrome following influenza immunization - A multimodal imaging study. Am J Ophthalmol Case Rep. 2020;19:100845.
11. Jorge LF, Queiroz RP, Gasparin F, Vasconcelos-Santos DV. Presumed unilateral acute idiopathic maculopathy following H1N1 vaccination. Ocul Immunol Inflamm. 2020 Mar;1-3. doi: 10.1080/09273948.2020.1734213.
12. Shah P, Zaveri JS, Haddock LJ. Acute macular neuroretinopathy following the administration of an influenza vaccination. Ophthalmic Surg Lasers Imaging Retina. 2018;49(10):e165-8.
13. Sood AB, O’Keefe G, Bui D, Jain N. Vogt-koyanagi-harada disease associated with hepatitis B vaccination. Ocul Immunol Inflamm. 2019;27(4):524-7.
14. Fowler N, Mendez Martinez NR, Pallares BV, Maldonado RS. Acute-onset central serous retinopathy after immunization with COVID-19 mRNA vaccine. Am J Ophthalmol Case Rep. 2021;23:101136.
15. Mudie LI, Zick JD, Dacey MS, Palestine AG. Panuveitis following Vaccination for COVID-19. Ocul Immunol Inflamm. 2021;29(4):741-2.
16. Book BA, Schmidt B, Foerster AM. Bilateral Acute Macular Neuroretinopathy After Vaccination Against SARS-CoV-2. JAMA Ophthalmol. 2021;139(7):e212471.
17. Cunningham ET Jr., Moorthy RS. Vaccine-Associated Posterior Uveitis, Retin Cases Brief Rep. 2020, Jan 16. https://doi.org/10.1097/ICB.0000000000000958.
18. Scott IU, Campochiaro PA, Newman NJ, Biousse V. Retinal vascular occlusions. Lancet. 2020;396(10266):1927-40.
19. Brown GC, Brown MM, Hiller T, Fischer D, Benson WE, Magargal LE. Cotton-wool spots. Retina. 1985;5(4):206-14.
20. Cerpa-Cruz S, Paredes-Casillas P, Landeros Navarro E, Bernard-Medina AG, Martínez-Bonilla G, Gutiérrez-Ureña S. Adverse events following immunization with vaccines containing adjuvants. Immunol Res. 2013;56(2-3):299-303.
21. Gardner HB. Immunizations, retinal and subdural hemorrhages: are they related? Med Hypotheses. 2005;64(3):663.
22. Marinho PM, Marcos AA, Romano AC, Nascimento H, Belfort R Jr. Retinal findings in patients with COVID-19. Lancet. 2020; 395(10237):1610.
23. Zago Filho LA, Lima LH, Melo GB, Zett C, Farah ME. Vitritis and outer retinal abnormalities in a patient with COVID-19. Ocul Immunol Inflamm. 2020;28(8):1298-300.
Submitted for publication:
October 22, 2021.
Accepted for publication:
October 28, 2021.
Disclosure of potential conflicts of interest: None of the authors have any potential conflicts of interest to disclose.