Kemal Tekin; Cemile Ucgul Atilgan
DOI: 10.5935/0004-2749.2024-0292
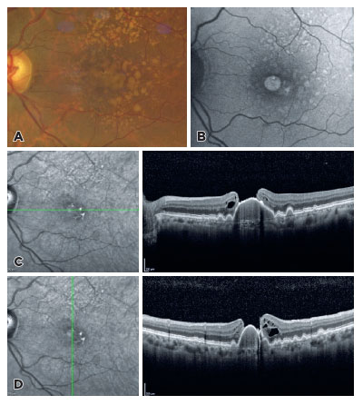
A fundus image of a 70-year-old woman who has been followed up for age-related macular degeneration showed widespread soft drusen, aggregation of confluent drusen, and central macular hole with pigment epithelial detachment (A). The macular hole and drusen were hyperautofluorescence in fundus autofluorescence (B). Horizontal and vertical optical coherence tomography scans passing through the fovea showed subretinal pigment epithelium deposits, a large drusenoid pigment epithelial detachment combined with full-thickness macular hole(1) with a detached posterior hyaloid (C,D).

REFERENCE
1. Panthier C, Querques G, Zerbib J, Souied EH. Spontaneous combined full-thickness retinal and pigment epithelium macular hole in age-related macular degeneration. Ophthalmic Surg Lasers Imaging Retina. 2013;44(2):208–10.
Submitted for publication:
October 8, 2024.
Accepted for publication:
November 19, 2024.
Informed consent was obtained from the patient included in this study.
Funding: This study received no specific financial support.
Disclosure of potential conflicts of interest: The authors declare no potential conflicts of interest.